






































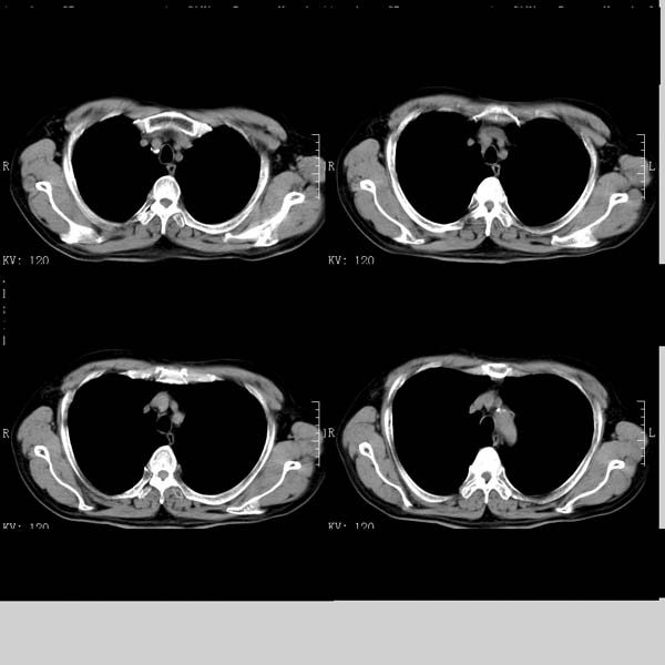
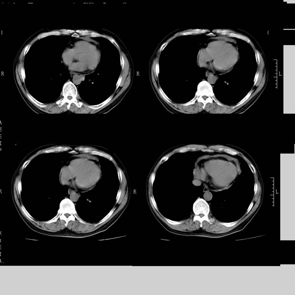
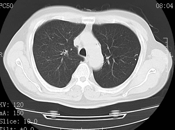
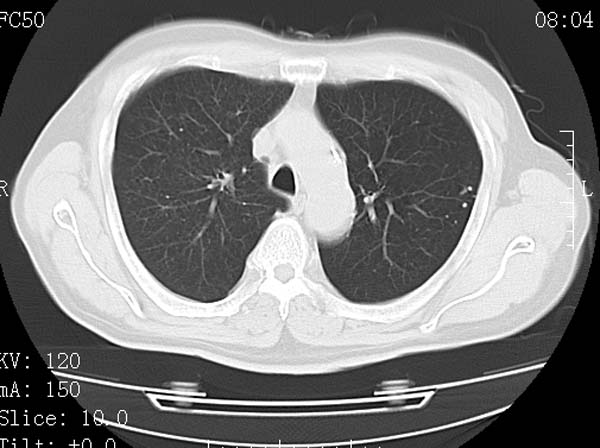
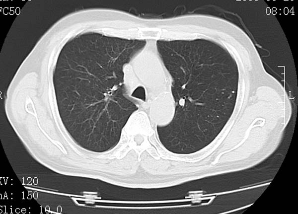
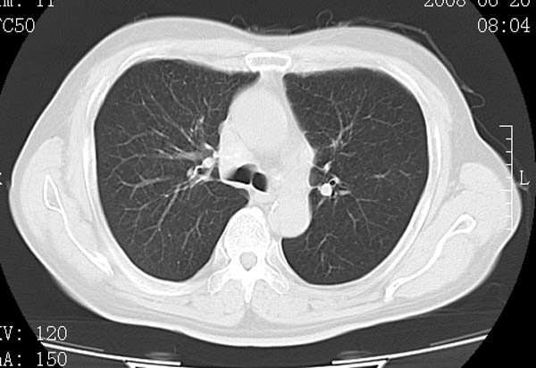
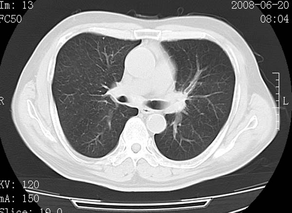
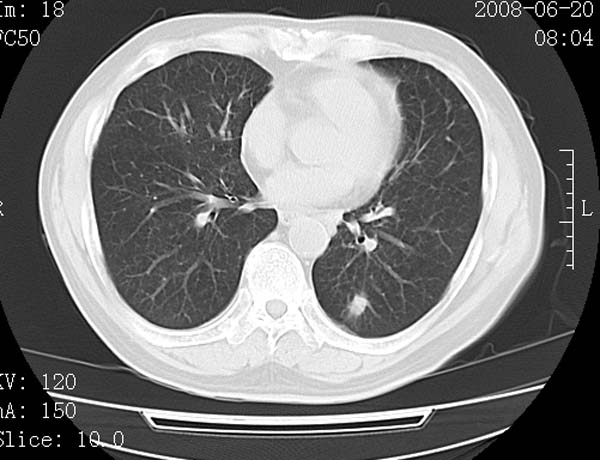
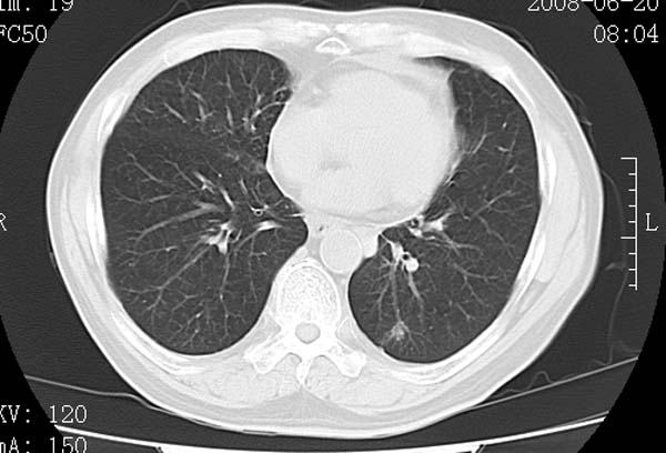
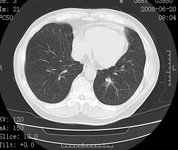
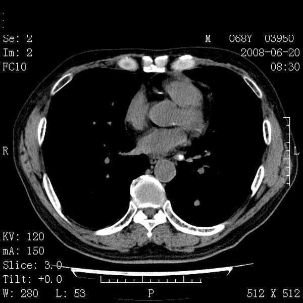
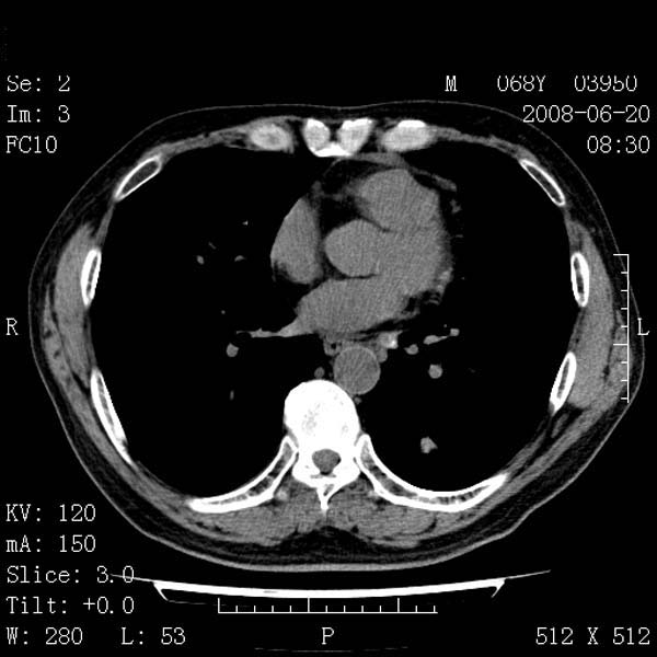
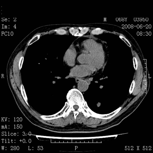
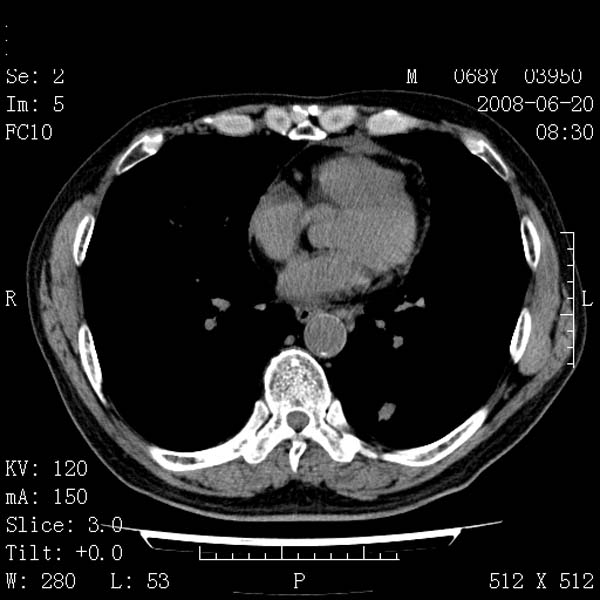
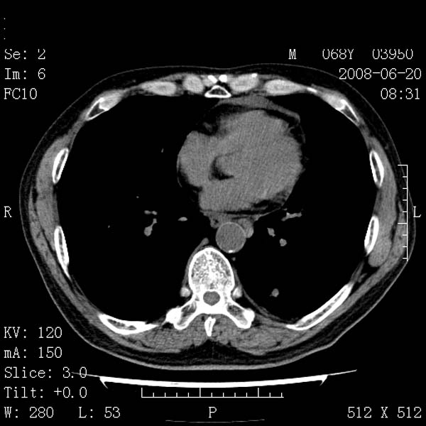
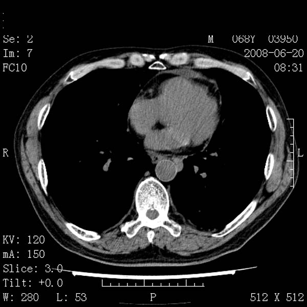
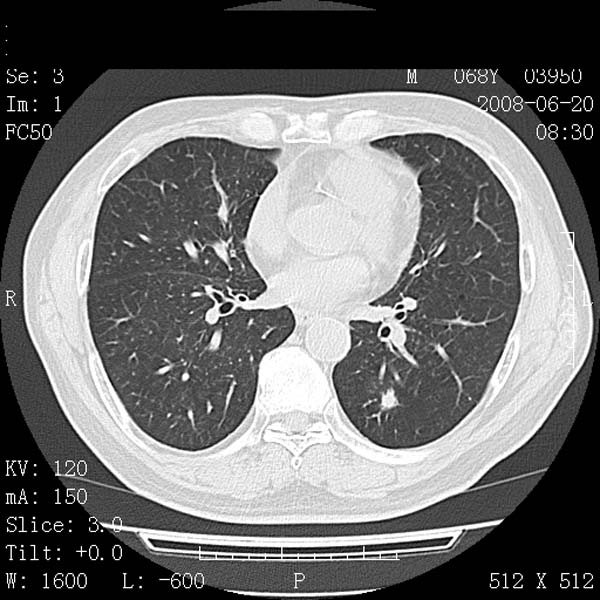
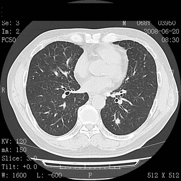
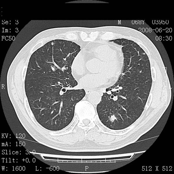
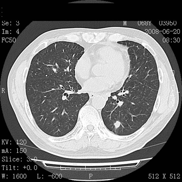
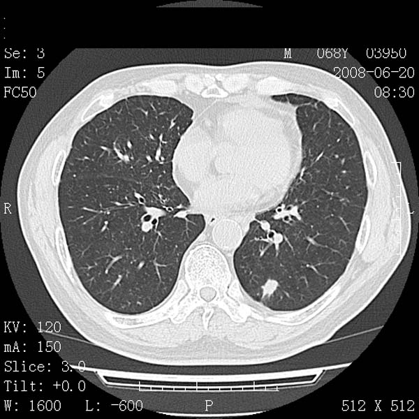
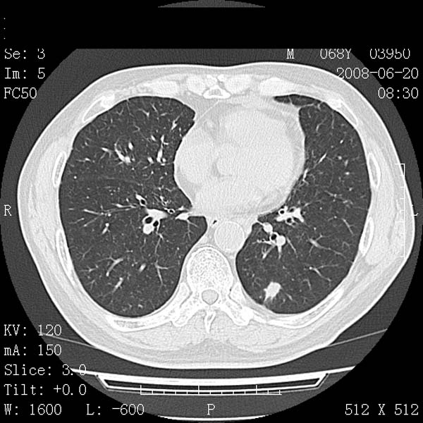
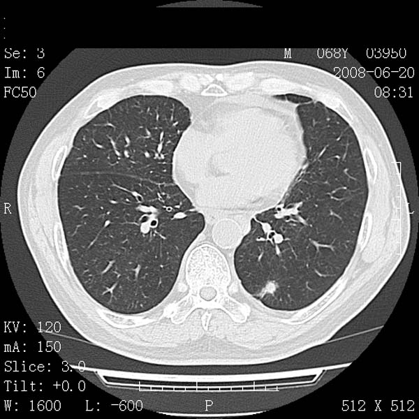
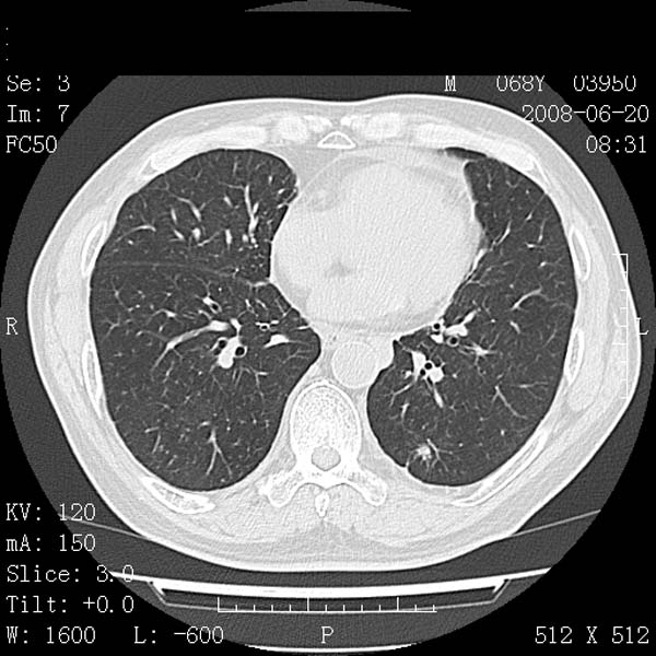
以下是引用守望可可西里在2008-6-24 1:11:00的发言:[br][br] 考虑为周围型肺癌:[br] 1.分叶结节,形态极不规则,蟹足样伸展的恶性浸润特征比较明确。[br] 2.磨玻璃影中由多个更高密度小结节聚集呈梅花瓣样。[br] 3.局部胸膜凹陷征比较明确。[br][br] 另:纵隔胸膜明显增厚、粘连。
以下是引用守望可可西里在2008-6-24 1:11:00的发言:[br][br] 考虑为周围型肺癌:[br] 1.分叶结节,形态极不规则,蟹足样伸展的恶性浸润特征比较明确。[br] 2.磨玻璃影中由多个更高密度小结节聚集呈梅花瓣样。[br] 3.局部胸膜凹陷征比较明确。[br][br] 另:纵隔胸膜明显增厚、粘连。
以下是引用358450m在2008-6-24 7:50:00的发言:[br][quote]以下是引用守望可可西里在2008-6-24 1:11:00的发言:[br][br] 考虑为周围型肺癌:[br] 1.分叶结节,形态极不规则,蟹足样伸展的恶性浸润特征比较明确。[br] 2.磨玻璃影中由多个更高密度小结节聚集呈梅花瓣样。[br] 3.局部胸膜凹陷征比较明确。[br][br] 另:纵隔胸膜明显增厚、粘连。
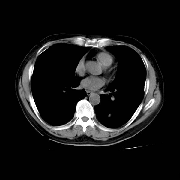
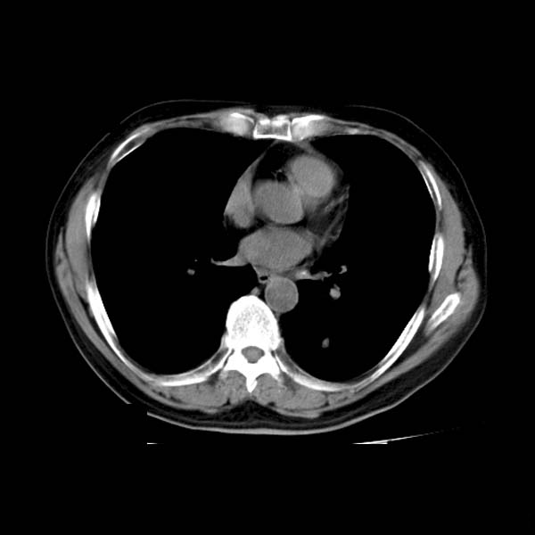
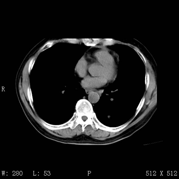
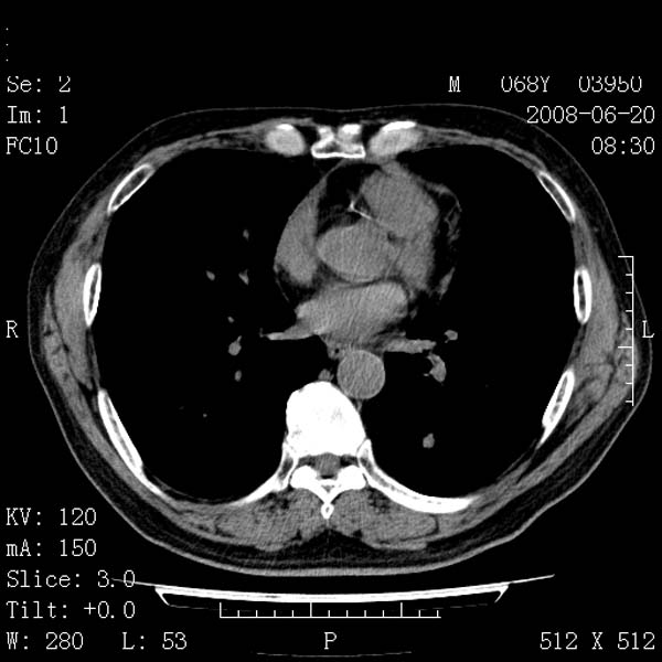
以下是引用zjzjr在2008-6-24 11:19:00的发言:[br]支持左下肺周围型肺癌伴右肺转移,纵隔淋巴结转移,心包积液.
以下是引用zhangling在2008-6-24 14:56:00的发言:[br]我们科室意见报告为[br][br]1考虑左下肺周围型肺癌[br]2右肺小结节考虑转移瘤,纵隔淋巴结转移[br]3心包积液. [br] 各位老师分析的相当好 谢意[br]
| 欢迎光临 医影在线 (http://bbs.radida.com/bbs/) | Powered by Discuz! X3.2 |