医影在线

标题: CT14212:女性,60岁。直肠癌术后两年。 [打印本页]

作者: fanshl    时间: 2008-6-24 08:45
标题: CT14212:女性,60岁。直肠癌术后两年。














[本贴已被 jiajie 于 2008-6-24 7:32:18 修改过]

作者: liuyue    时间: 2008-6-24 09:41
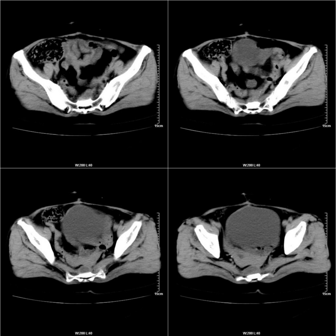
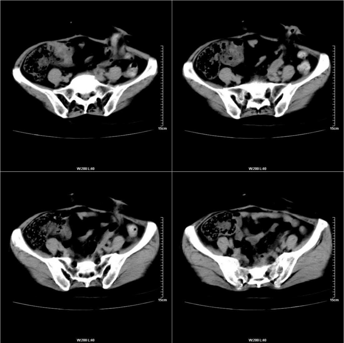
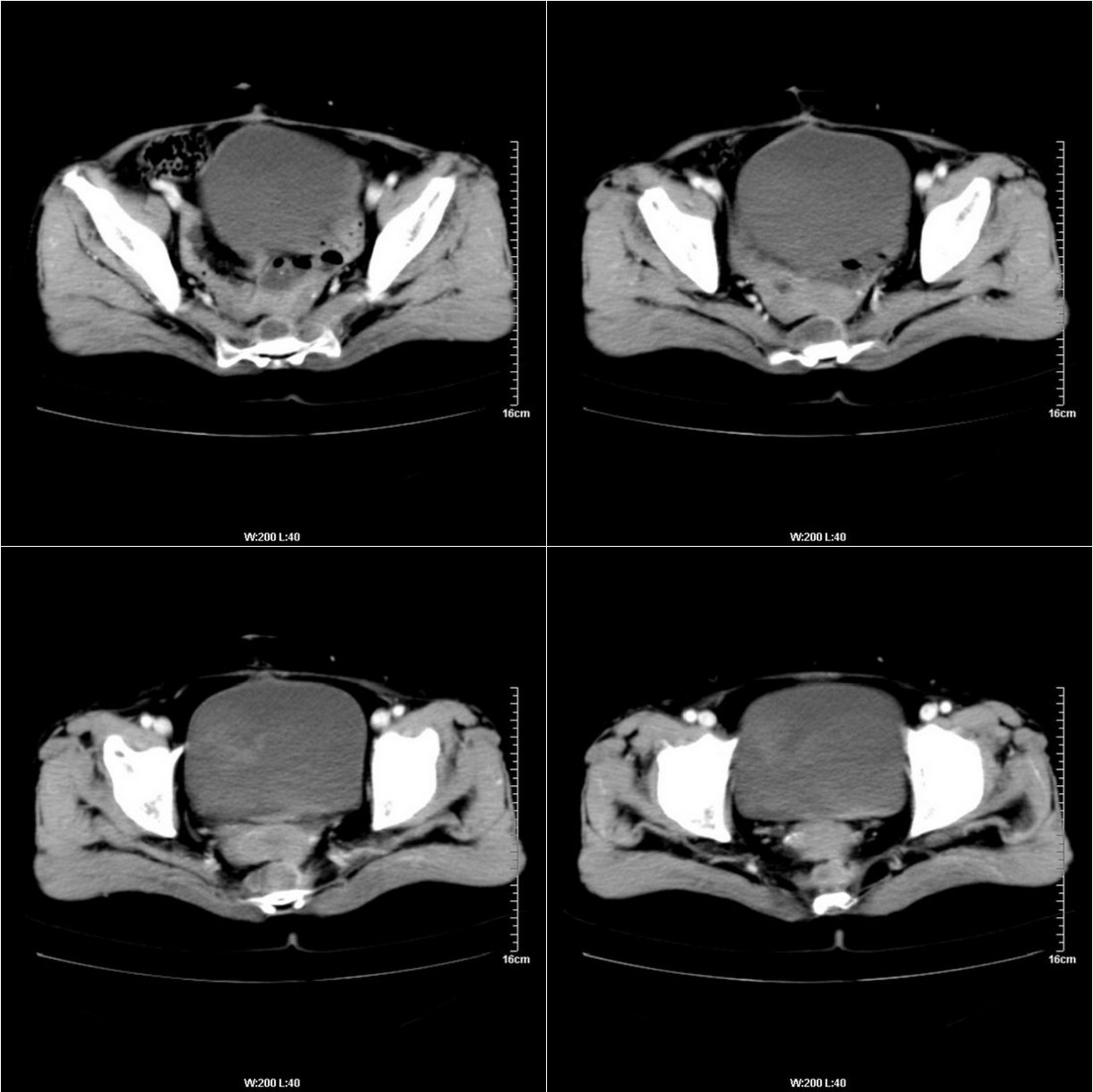
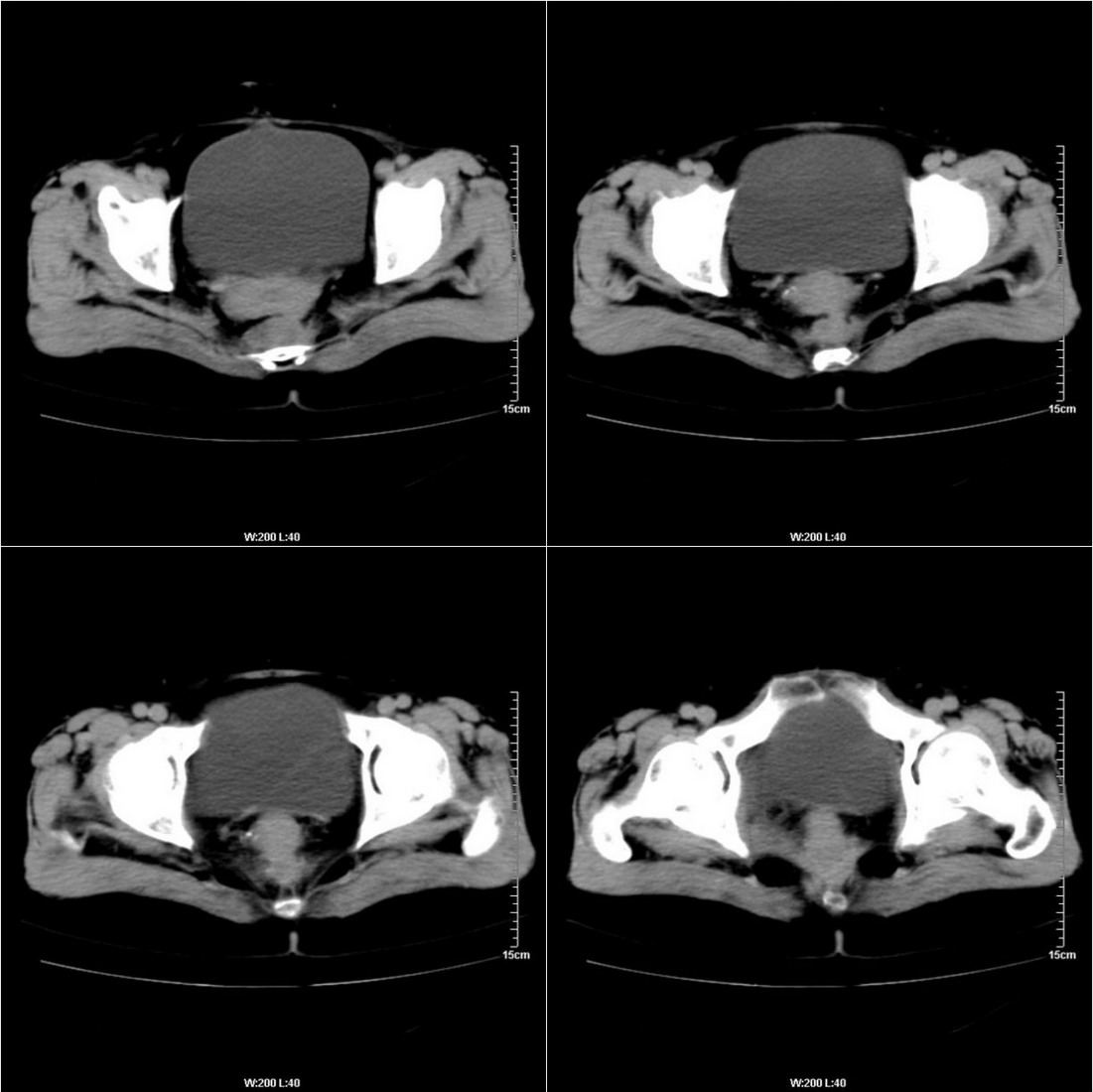
骶骨前侧囊状低密度影,考虑:术后改变.余未见明显异常.
作者: 守望可可    时间: 2008-6-24 09:44
  不知道病人的直肠癌手术方式如何,直肠已经全部切除,乙状结肠造瘘于左下腹,肛门应该也没有保留吧?如此,应该是复发了:
  病变于肛尾韧带、右侧坐骨肛门窝内并顺右侧肛提肌向右侧闭孔内肌蔓延,骶前软组织内也形成了肿块,麻烦啊!
作者: 守望可可    时间: 2008-6-24 09:51
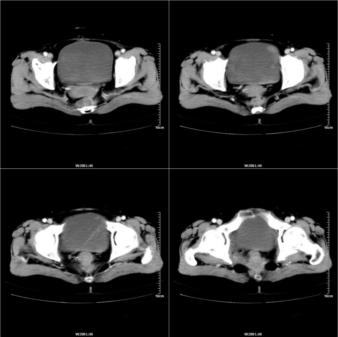
  这个病例还出现了一个有意思的事情:膀胱内在增强的不同时期均有不同形状、位置的高密度出现,并不局限于输尿管开口附近。
  是因为尿液中造影剂随输尿管的收缩而排入膀胱内,产生的团片状高密度并进一步弥散而形成的假象吗?渴望哪位老师予以关注并解答,先在此表示感谢了!
作者: SOS.LA    时间: 2008-6-24 13:03
典型直肠癌术后骶骨前转移复发.
作者: 同    时间: 2008-6-24 14:13
考虑 直肠癌术后复发.
作者: pujunzhi    时间: 2008-6-24 15:26
考虑 直肠癌术后复发.
作者: 358450m    时间: 2008-6-24 15:52
典型直肠癌术后骶骨前转移复发.
作者: 卜一    时间: 2008-6-24 17:00
直肠癌术后复发!
作者: zy_zj    时间: 2008-6-24 17:31
学习了,但我认为是否复发,因为咱们不知道术式,应该有术后的片子,过多长时间复查,比较前片更有说服力
作者: huqi8888    时间: 2008-6-24 17:43
直肠癌术后复发。
作者: 深泽交通    时间: 2008-6-24 18:03
膀胱壁见索条状软组织密度影伴强化,可考虑炎性肉芽肿样增生改变,常见于放疗后或慢性感染;直肠及周围软组织见肿块,轻度强化,考虑直肠癌术后复发,并侵犯周围组织
作者: 子十    时间: 2008-6-24 18:10
标题: 回复:ct14212:女性,60岁。直肠癌术后两年。
以下是引用huqi8888在2008-6-24 9:43:00的发言:[br]直肠癌术后复发。

作者: dyqct    时间: 2008-6-24 18:34
考虑 直肠癌术后复发.
作者: 不学无术    时间: 2008-6-24 19:07
考虑直肠癌术后复发.  支持
作者: zjzjr    时间: 2008-6-24 19:15
直肠癌术后复发!
作者: wx9050    时间: 2008-6-24 19:44
转移,?脓肿?
作者: zsl6918    时间: 2008-6-24 22:20
考虑术后复发
作者: 宇宙CT    时间: 2008-6-25 00:01
考虑 直肠癌术后复发
作者: 随光逐影    时间: 2008-6-25 00:55
考虑直肠癌术后复发并侵犯周围组织。
作者: jiangjing    时间: 2008-6-25 00:58
不知道病人的直肠癌手术方式如何,直肠已经全部切除,乙状结肠造瘘于左下腹,肛门应该也没有保留吧?如此,应该是复发了:
  病变于肛尾韧带、右侧坐骨肛门窝内并顺右侧肛提肌向右侧闭孔内肌蔓延,骶前软组织内也形成了肿块,麻烦啊!
作者: 杀毒软件    时间: 2008-6-25 02:02
考虑直肠癌术后复发并侵犯周围组织
作者: 光影相伴    时间: 2008-6-25 02:04
考虑 直肠癌术后复发。
支持!
作者: qiuleiyu    时间: 2008-6-25 04:03
直肠癌术后人工肛门,骶前及术区结节及囊状影,强化不明显,考虑术后瘢痕及粘连包裹可能大,转移不除外。
作者: xulianj    时间: 2008-6-25 05:35
直肠癌术后骶骨前转移或复发
作者: huangyinshan    时间: 2008-6-25 05:38
典型直肠癌术后骶骨前转移复发
作者: jinguoji    时间: 2008-6-25 06:22
考虑直肠癌术后复发。




欢迎光临 医影在线 (http://bbs.radida.com/bbs/) Powered by Discuz! X3.2