医影在线

标题: CT14194B:补充延迟期图片 [打印本页]

作者: wx9050    时间: 2008-6-24 09:01
标题: CT14194B:补充延迟期图片
ct14194:http://www.radida.com/bbs/forum.php?mod=viewthread&tid=41034







[本贴已被 jiajie 于 2008-6-24 7:34:09 修改过]

作者: 358450m    时间: 2008-6-24 15:55
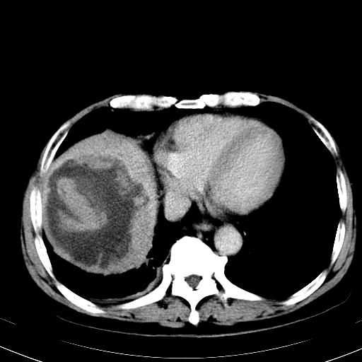
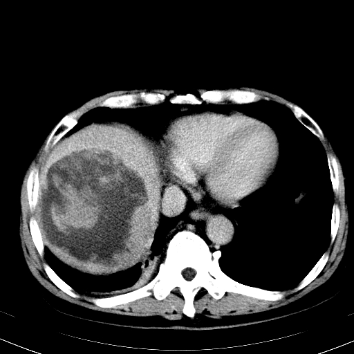
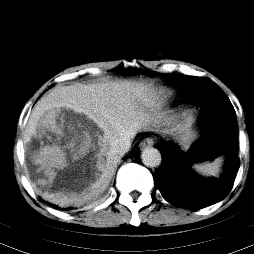
肝癌
作者: 卜一    时间: 2008-6-24 16:55
延时期内强化结节明显增多,还是考虑:血管瘤伴坏死 出血!
作者: liuliu100    时间: 2008-6-24 18:10
肝癌很典型。
作者: dyqct    时间: 2008-6-24 18:29
支持肝癌,查一下afp吧!
作者: whzht    时间: 2008-6-24 19:09
延时期内强化结节明显增多,还是考虑:血管瘤伴坏死 出血!
作者: zjzjr    时间: 2008-6-24 19:13
间叶源性肿瘤,血管肉瘤.
作者: zsl6918    时间: 2008-6-24 22:34
延迟期的表现不像血管瘤了,但也不支持原发性肝癌。
作者: 不学无术    时间: 2008-6-24 22:35
延时期内强化结节明显增多,还是考虑:血管瘤伴坏死 出血!
作者: 杀毒软件    时间: 2008-6-25 01:56
标题: 回复:ct14194b:补充延迟期图片
以下是引用zjzjr在2008-6-24 11:13:00的发言:[br]间叶源性肿瘤,血管肉瘤.

作者: qc80012345    时间: 2008-6-25 02:30
支持肝癌诊断。
作者: 光影相伴    时间: 2008-6-25 02:37
考虑:肝癌。建议行mri检查。
作者: xulianj    时间: 2008-6-25 05:24
支持肝癌诊断。
作者: jinguoji    时间: 2008-6-25 06:29
支持肝癌。




欢迎光临 医影在线 (http://bbs.radida.com/bbs/) Powered by Discuz! X3.2