





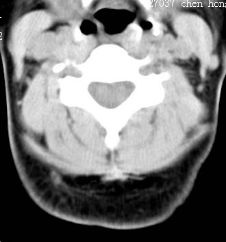
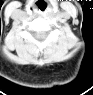
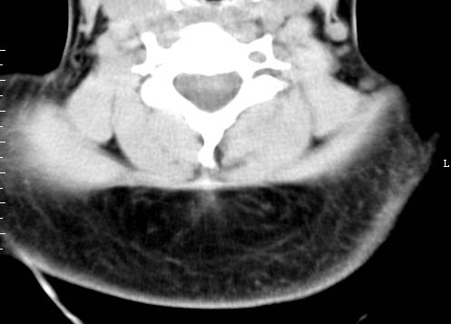
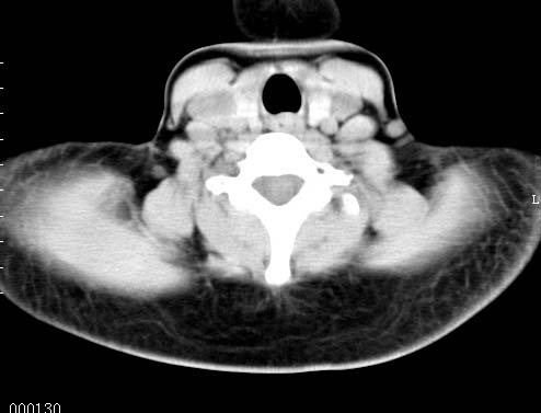
以下是引用sos.la在2008-6-24 5:29:00的发言:[br]可疑项部皮下脂肪肉瘤.穿刺活检.
以下是引用pujunzhi在2008-6-24 7:29:00的发言:[br]后颈部脂肪瘤
以下是引用随光逐影在2008-6-24 7:46:00的发言:[br]考虑项部皮下脂肪瘤或脂肪沉积。
以下是引用随光逐影在2008-6-24 7:46:00的发言:[br]考虑项部皮下脂肪瘤或脂肪沉积。
以下是引用随光逐影在2008-6-24 7:46:00的发言:[br]考虑项部皮下脂肪瘤或脂肪沉积。
| 欢迎光临 医影在线 (http://bbs.radida.com/bbs/) | Powered by Discuz! X3.2 |