医影在线

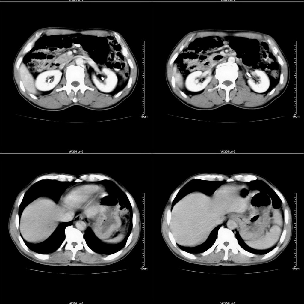
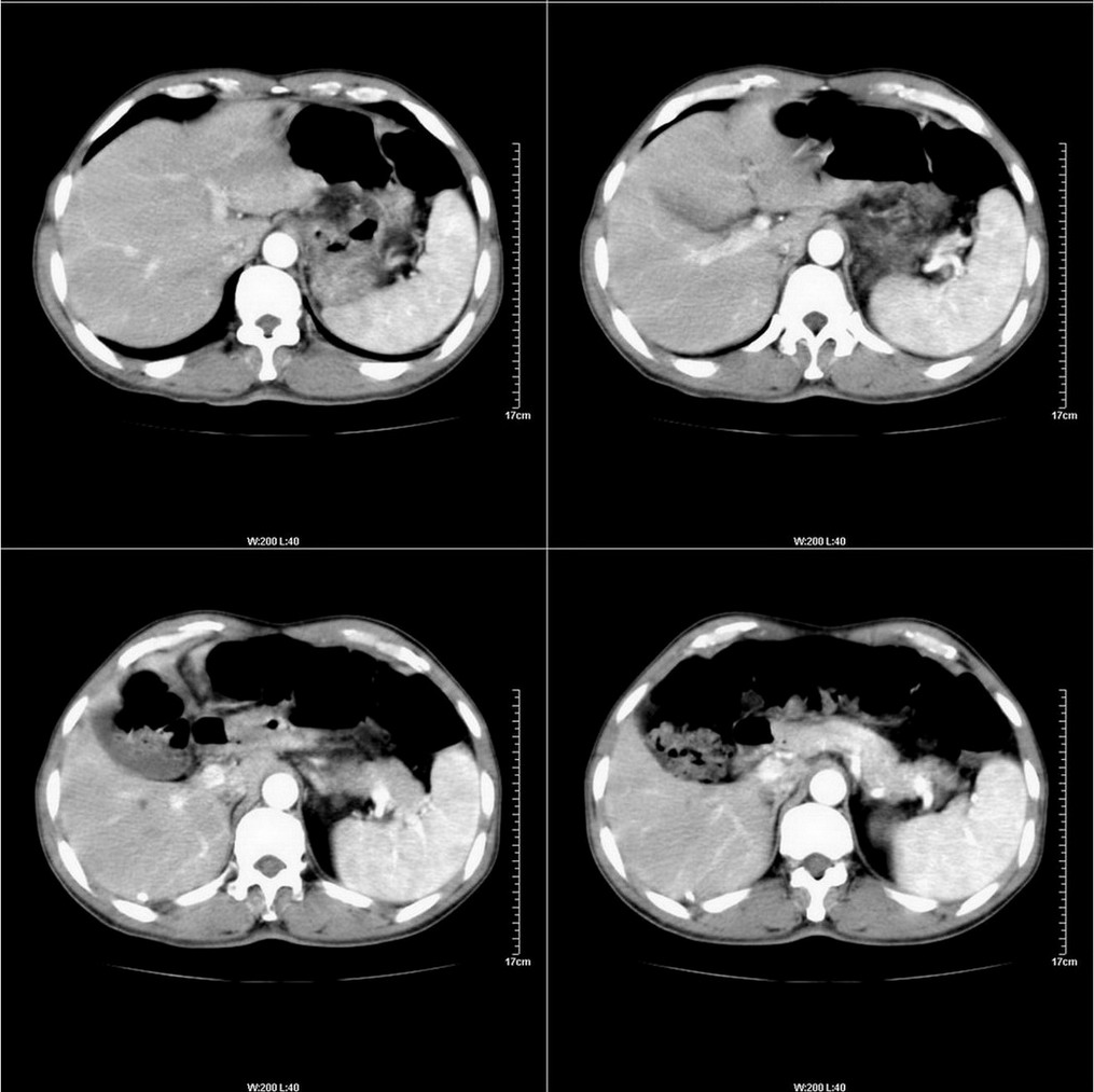
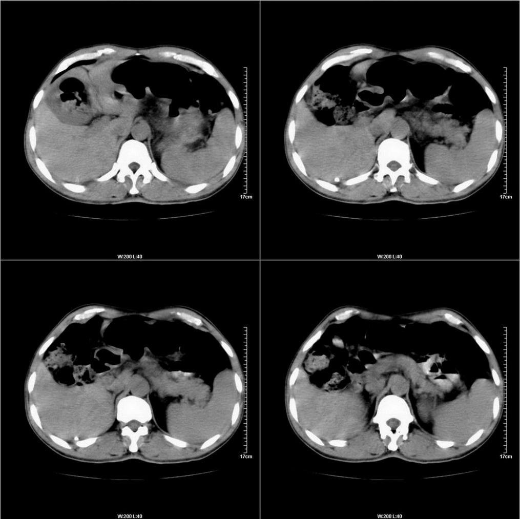
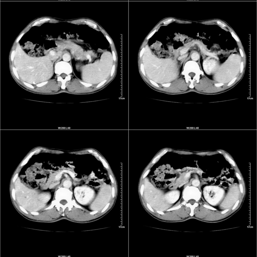
标题: CT14220:男性,59岁。腹部疼痛不适半年余。 [打印本页]

作者: fanshl    时间: 2008-6-25 00:56
标题: CT14220:男性,59岁。腹部疼痛不适半年余。














[本贴已被 翁志蓬 于 2008-6-24 17:08:43 修改过]

作者: qc80012345    时间: 2008-6-25 01:56
胆囊?详细病史。
作者: 前行    时间: 2008-6-25 02:00
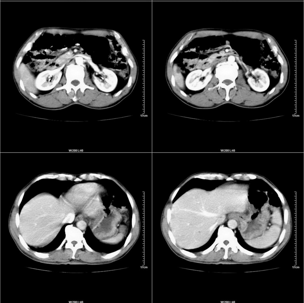
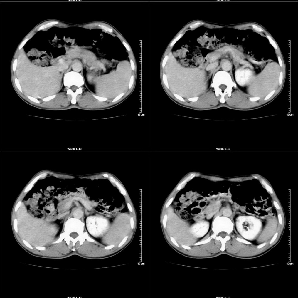
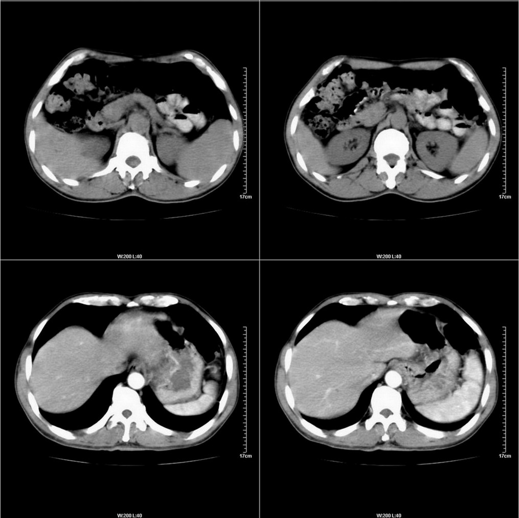
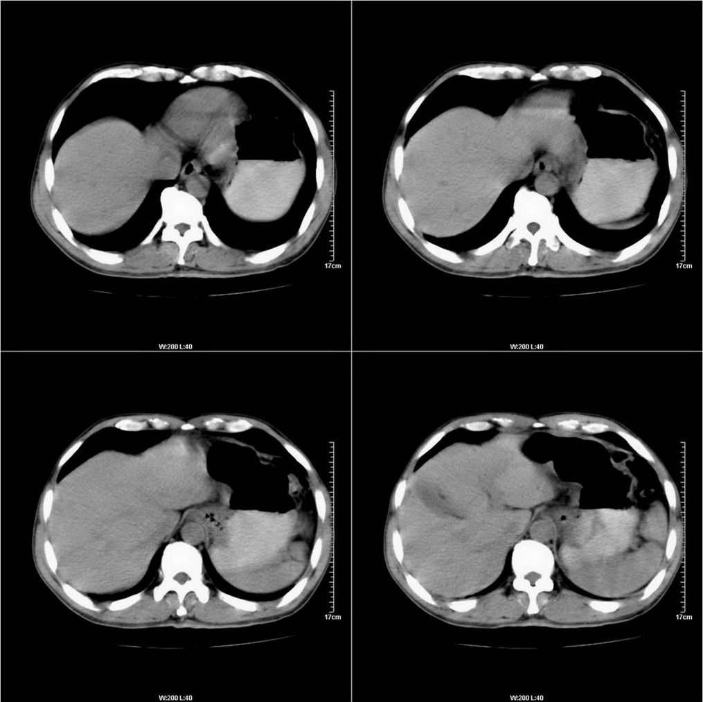
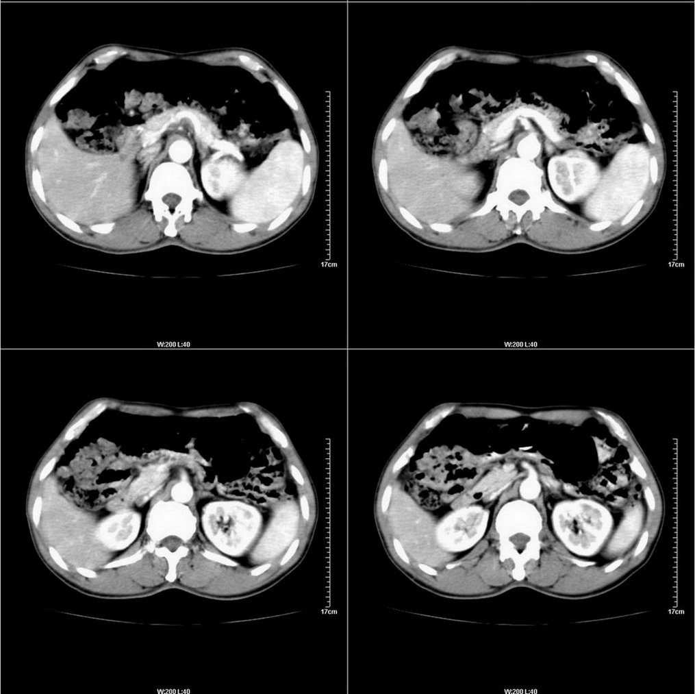
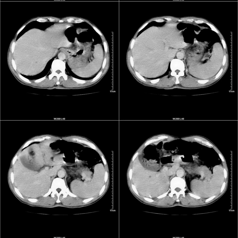
肝内钙化结节,余未见明显异常。
作者: 358450m    时间: 2008-6-25 02:06
胆囊?详细病史。
作者: 深泽交通    时间: 2008-6-25 02:10
胃壁弥漫增后,考虑胃炎溃疡
作者: wymnet    时间: 2008-6-25 02:12
胆囊?详细病史。
作者: 杀毒软件    时间: 2008-6-25 02:36
查查胃
作者: 同    时间: 2008-6-25 04:44
考虑 胆囊病变.
作者: xulianj    时间: 2008-6-25 05:46
上腹部实质性脏器未见明确异常
作者: zjzjr    时间: 2008-6-25 05:53
查查胃
作者: jinguoji    时间: 2008-6-25 07:04
标题: 回复:ct14220:男性,59岁。腹部疼痛不适半年余。
以下是引用zjzjr在2008-6-24 21:53:00的发言:[br]查查胃

作者: zsl6918    时间: 2008-6-25 07:17
建议结合胃镜或钡餐检查,考虑胃底贲门癌可能性大。
作者: 宇宙CT    时间: 2008-6-25 07:32
上腹部实质性脏器未见明确异常
作者: yangyudong333    时间: 2008-6-25 14:25
上腹部实质性脏器未见明确异常
作者: zhw974247    时间: 2008-6-25 14:39
肝右叶5段小囊肿。
作者: huqi8888    时间: 2008-6-25 15:54
肝实质未见明显异常;查查胃。
作者: shuhuang2007    时间: 2008-6-25 17:08
肝右叶占位(囊肿?小肝癌?).
作者: dyqct    时间: 2008-6-25 17:10
考虑:1、肝右叶下部小囊肿;
      2、胃可能为准备充盈不良所致,必要时请胃镜进一步检查。
作者: 晓杰    时间: 2008-6-25 17:22
上腹部未见明显异常改变
作者: 叶子123    时间: 2008-6-25 17:46
看着胆囊周围不舒服。




欢迎光临 医影在线 (http://bbs.radida.com/bbs/) Powered by Discuz! X3.2