医影在线
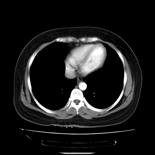
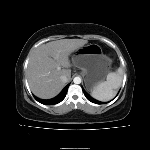
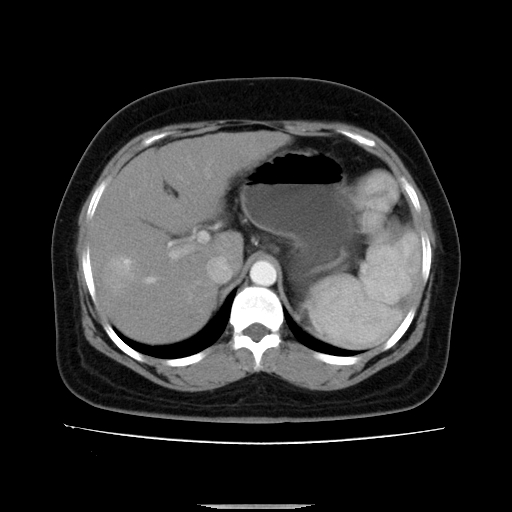
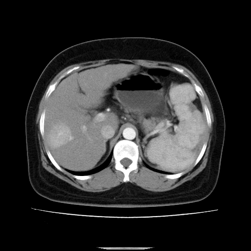
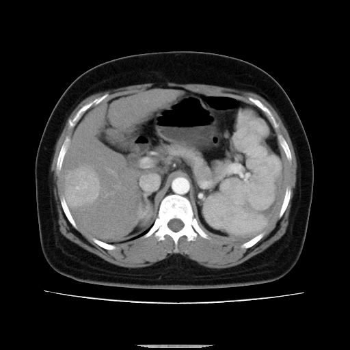
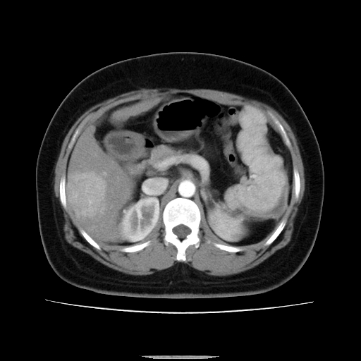
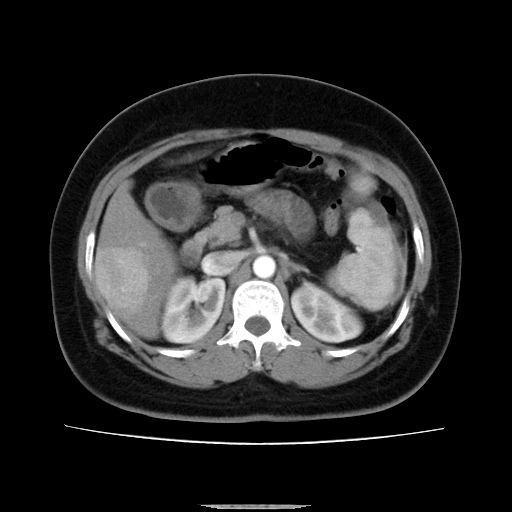
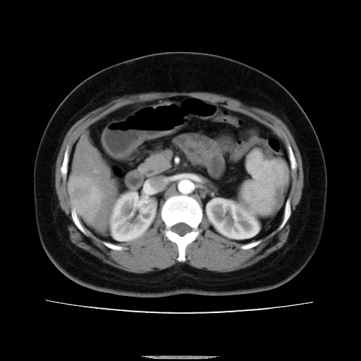
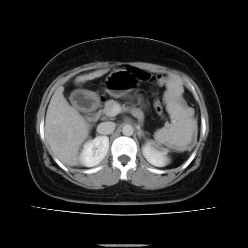
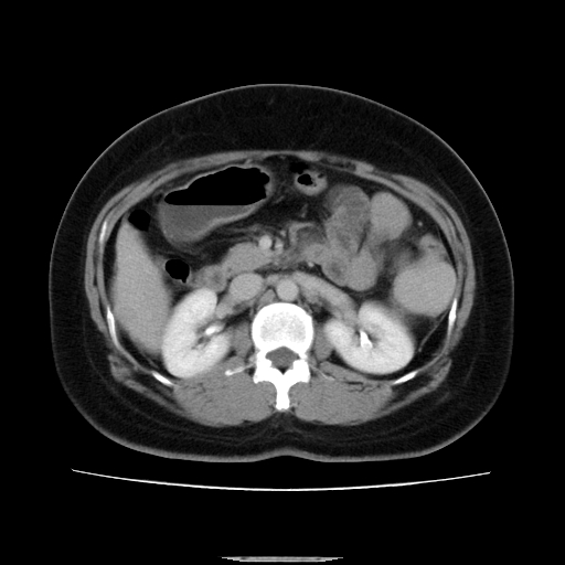
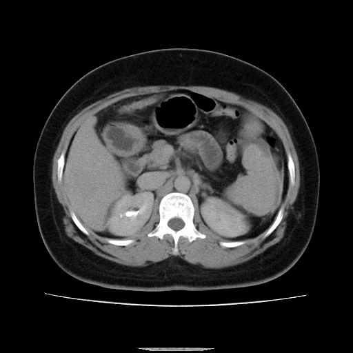
标题: CT14225:女性46岁。当地B超示肝内占位,来我院作CT检查。请 [打印本页]
作者: xulianj 时间: 2008-6-25 05:07
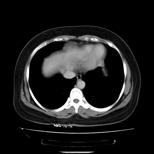
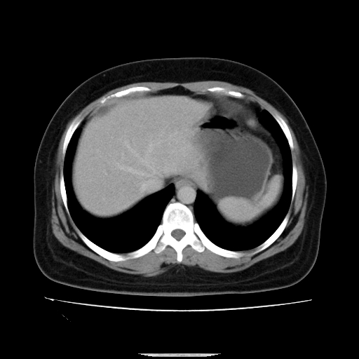
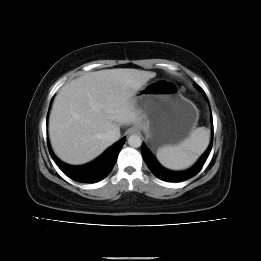
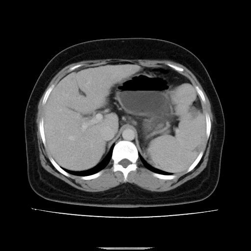
标题: CT14225:女性46岁。当地B超示肝内占位,来我院作CT检查。请

































































[本贴已被 jiajie 于 2008-6-24 21:22:02 修改过]
作者: zjzjr 时间: 2008-6-25 05:39
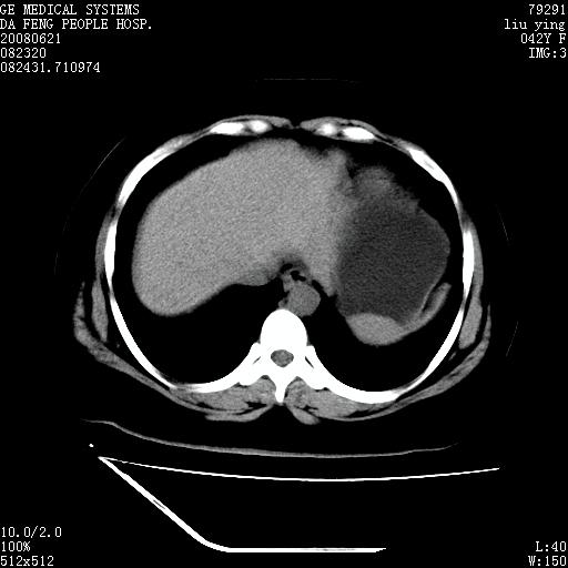
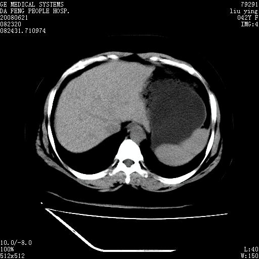
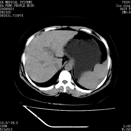
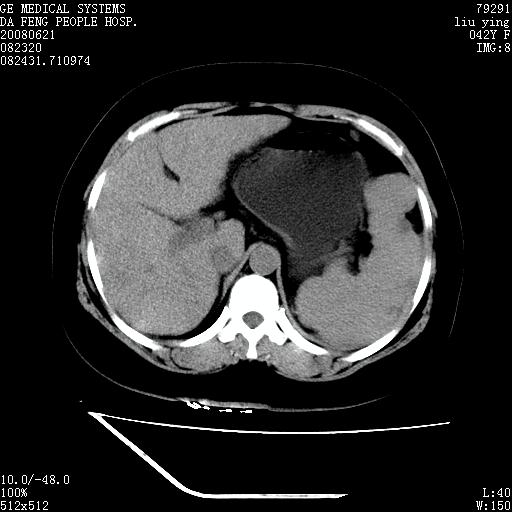
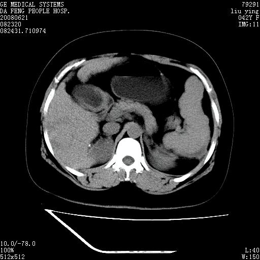
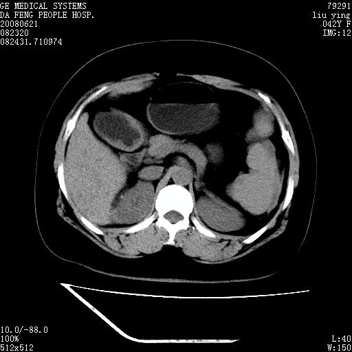
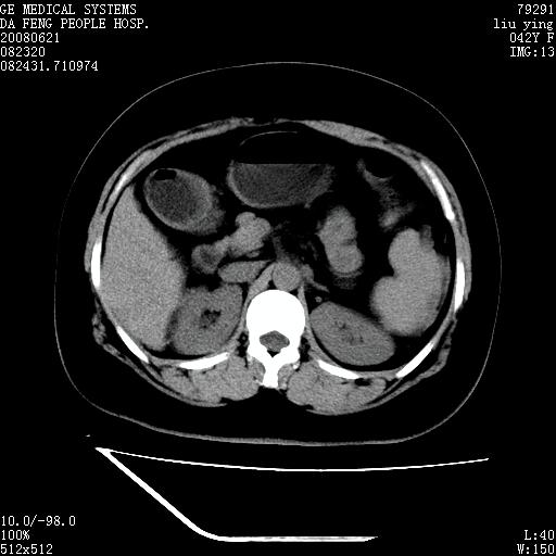
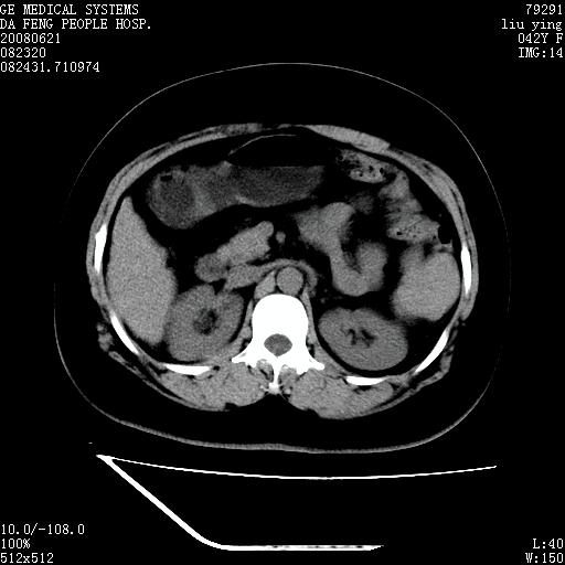
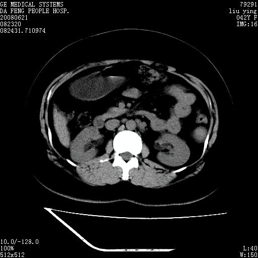
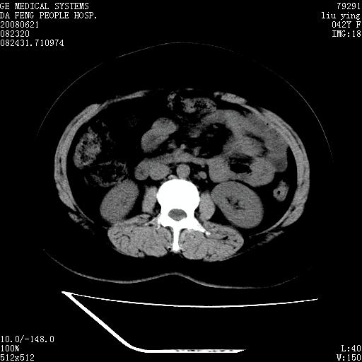
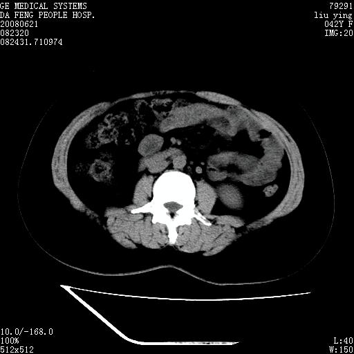
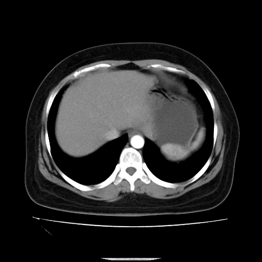
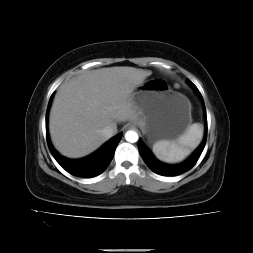
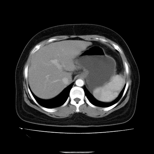
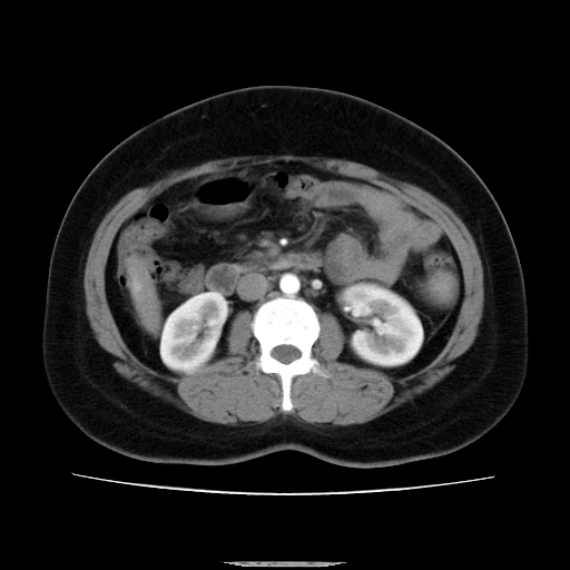
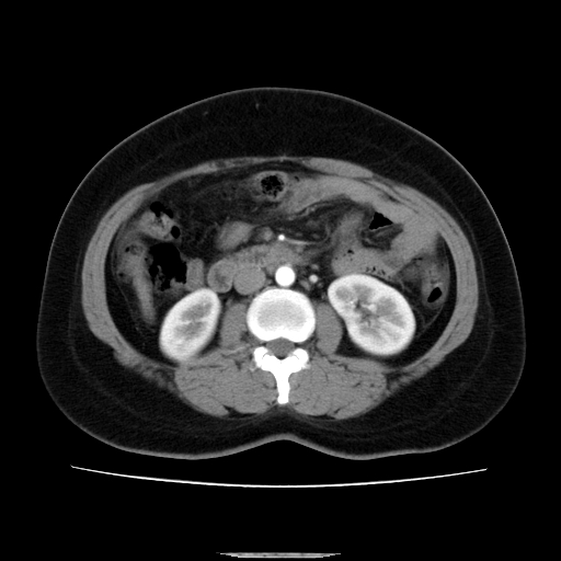
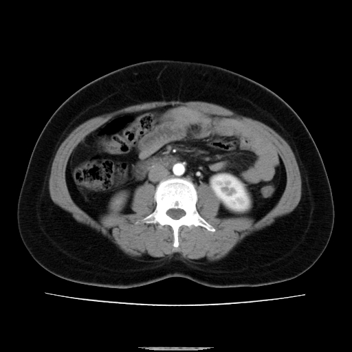
速升速降,支持肝癌.脾体积增大,形态欠规整,请询问病史是否做过脾动脉栓塞.
作者: 358450m 时间: 2008-6-25 05:43
速升速降,支持肝癌.脾体积增大,形态欠规整,请询问病史是否做过脾动脉栓塞.
作者: wqs571018 时间: 2008-6-25 06:08
速升速降,支持肝癌可能。
作者: cyr88888 时间: 2008-6-25 06:11
肝癌
作者: 深泽交通 时间: 2008-6-25 06:15
右叶肝癌灶;慢性胆囊炎,不除外占位;;副脾可能性
作者: 寻芳者 时间: 2008-6-25 06:19
快进快出,符合肝癌表现-----------
作者: wzr 时间: 2008-6-25 06:25
快进快出,符合肝癌表现-----------
作者: zsl6918 时间: 2008-6-25 06:30
肝内结节强化特点符合原发性肝癌表现,脾脏改变考虑为增大及先天发育所致。
作者: geyoq 时间: 2008-6-25 06:30
快进快出符合肝癌
作者: xxhwh 时间: 2008-6-25 06:37
肝内结节强化特点符合原发性肝癌表现,脾脏改变考虑为增大及先天发育所致
作者: 宇宙CT 时间: 2008-6-25 07:19
肝内结节强化特点符合原发性肝癌表现,脾脏改变考虑为增大及先天发育所致
作者: dr.yang 时间: 2008-6-25 07:37
支持肝癌。
肝硬化,脾亢。
作者: weijing 时间: 2008-6-25 08:04
标题: 回复:ct14225:女性46岁。当地b超示肝内占位,来我院作ct检
以下是引用dr.yang在2008-6-24 23:37:00的发言:[br]支持肝癌。[br]肝硬化,脾亢。
作者: pujunzhi 时间: 2008-6-25 08:14
支持:肝内结节强化特点符合原发性肝癌表现,脾脏改变考虑为增大及先天发育所致。
作者: yangyudong333 时间: 2008-6-25 14:16
动脉期病原灶明显强化高于肝密度且中央有无强化区,静脉期强化程度下降明显,延迟低于肝密度,考虑肝腺瘤可能性大,
作者: zhw974247 时间: 2008-6-25 14:41
快进快出,符合肝癌表现。
作者: huqi8888 时间: 2008-6-25 15:48
支持肝癌。
作者: psh 时间: 2008-6-25 15:52
支持。
作者: gaoshengjiang 时间: 2008-6-25 16:39
支持肝癌、胆囊炎诊断。
作者: shuhuang2007 时间: 2008-6-25 16:50
符合肝癌表现,脾脏大(肝硬化?)
作者: dyqct 时间: 2008-6-25 17:03
标题: 回复:ct14225:女性46岁。当地b超示肝内占位,来我院作ct检
以下是引用zsl6918在2008-6-24 22:30:00的发言:[br]肝内结节强化特点符合原发性肝癌表现,脾脏改变考虑为增大及先天发育所致。
支持!
作者: 晓杰 时间: 2008-6-25 17:10
肝内结节强化特点:快进快出符合原发性肝癌表现
作者: 叶子123 时间: 2008-6-25 17:23
标题: 回复:ct14225:女性46岁。当地b超示肝内占位,来我院作ct检
以下是引用pujunzhi在2008-6-25 0:14:00的发言:[br]支持:肝内结节强化特点符合原发性肝癌表现,脾脏改变考虑为增大及先天发育所致。
支持
作者: ct123h 时间: 2008-6-25 17:44
非常典型,肝ca,脾脏先天性发育异常,脾大
作者: ydx_74 时间: 2008-6-25 18:34
典型。lz在哪儿?大风县?没有听说过啊!
作者: lisihao 时间: 2008-6-25 18:37
此患者虽然符合快进的特点,却不符合快出的特点,因为门脉期几乎是等密度,不符合肝癌的增强表现,所以我考虑肝局灶性结节增生可能性大
作者: LIAOQIANG 时间: 2008-6-25 18:49
肝内结节强化特点符合原发性肝癌表现。脾大。
作者: lisihao 时间: 2008-6-25 19:07
标题: 重复了
大家看看这个http://www.radida.com/news_view.asp?id=2470&view_id=2470&forum_id=0
[本贴已被 lisihao 于 2008-6-25 11:10:32 修改过]
作者: jinguoji 时间: 2008-6-25 23:38
快进快出,符合肝癌表现。脾脏改变考虑为增大及先天发育所致。
作者: 光影★小胖 时间: 2008-6-25 23:47
标题: 回复:ct14225:女性46岁。当地b超示肝内占位,来我院作ct检
以下是引用zsl6918在2008-6-24 22:30:00的发言:[br]肝内结节强化特点符合原发性肝癌表现,脾脏改变考虑为增大及先天发育所致。
支持!
| 欢迎光临 医影在线 (http://bbs.radida.com/bbs/) |
Powered by Discuz! X3.2 |