










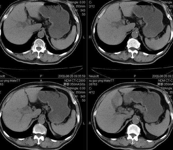
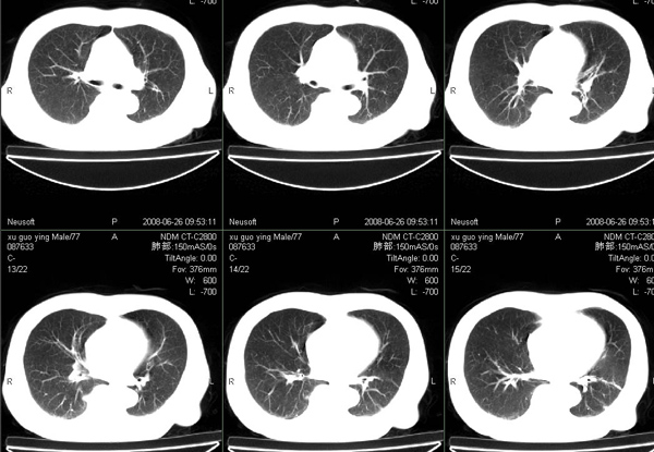
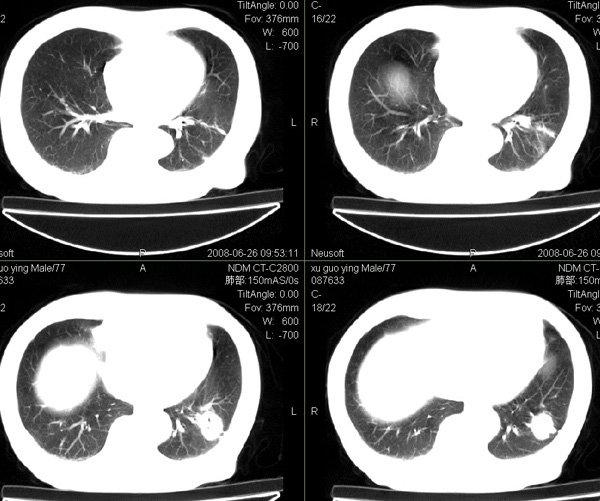
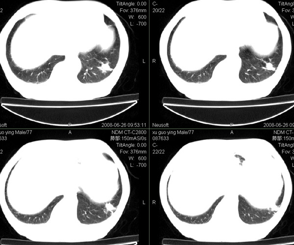
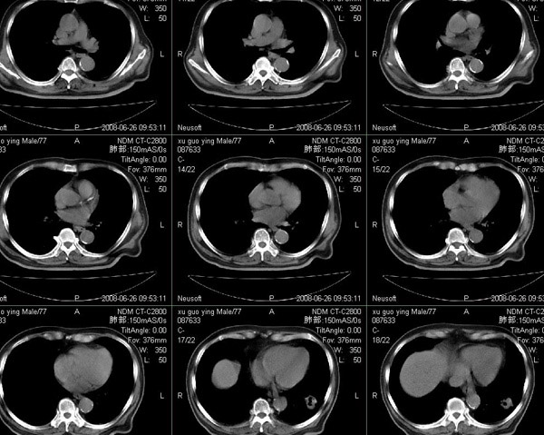
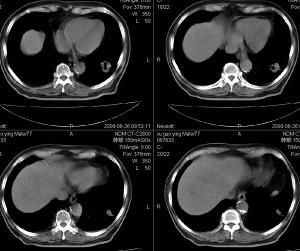
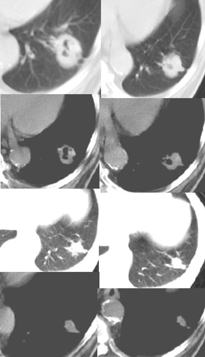
以下是引用狙击手在2008-6-26 20:16:00的发言:[br]上腹部除了胆囊大一点,其余未见明显异常,肺尖部见纤维条索样影,左肺下叶见空洞样占位,壁较厚,临近胸膜见牵拉,周围未见卫星灶,考虑:1:左下肺周围性肺癌;2:肺尖部陈旧性结合灶。
以下是引用liuqiang在2008-6-26 21:11:00的发言:[br]上腹部除了胆囊大一点,其余未见明显异常,肺尖部见纤维条索样影,左肺下叶见空洞样占位,壁较厚,临近胸膜见牵拉,周围未见卫星灶,考虑:1:左下肺周围性肺癌;2:肺尖部陈旧性j结核灶。

以下是引用狙击手在2008-6-26 20:16:00的发言:[br]上腹部除了胆囊大一点,其余未见明显异常,肺尖部见纤维条索样影,左肺下叶见空洞样占位,壁较厚,临近胸膜见牵拉,周围未见卫星灶,考虑:1:左下肺周围性肺癌;2:肺尖部陈旧性结合灶。
| 欢迎光临 医影在线 (http://bbs.radida.com/bbs/) | Powered by Discuz! X3.2 |