










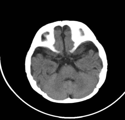
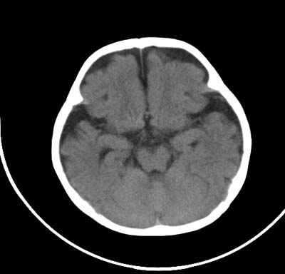
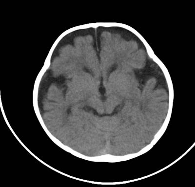
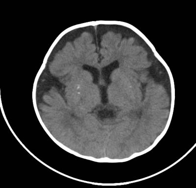
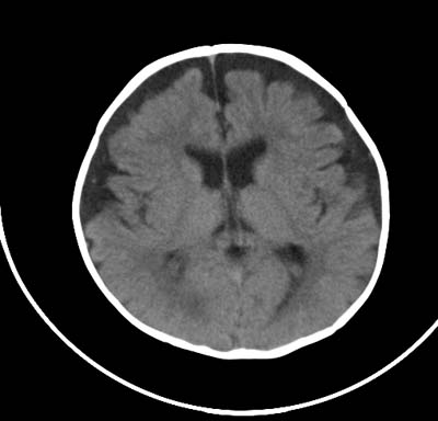
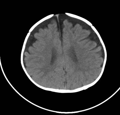
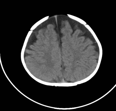
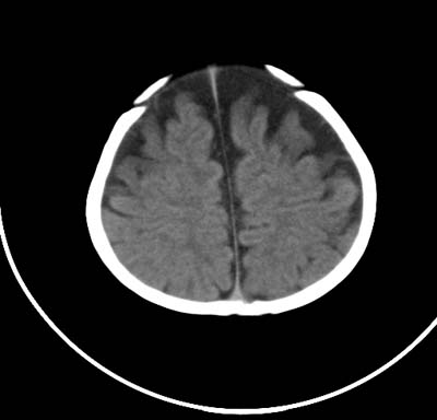
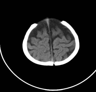
以下是引用影象小泰斗在2008-6-30 15:57:00的发言:[br]双侧额、颞部蛛网膜下腔增宽,纵裂加深, 支持外部性脑积水![br] 双侧基底节点状钙化!
以下是引用jiangjing在2008-6-30 17:19:00的发言:[br]双侧额、颞部蛛网膜下腔增宽,纵裂加深, 支持外部性脑积水![br] 双侧基底节点状钙化![宫内感染形成可能]
以下是引用影象小泰斗在2008-6-30 15:57:00的发言:[br]双侧额、颞部蛛网膜下腔增宽,纵裂加深, 支持外部性脑积水![br] 双侧基底节点状钙化!
| 欢迎光临 医影在线 (http://bbs.radida.com/bbs/) | Powered by Discuz! X3.2 |