医影在线
标题: PED0869:男,10岁,肺内多发结节+胸水 [打印本页]
作者: tmf800 时间: 2008-6-30 18:22
标题: PED0869:男,10岁,肺内多发结节+胸水
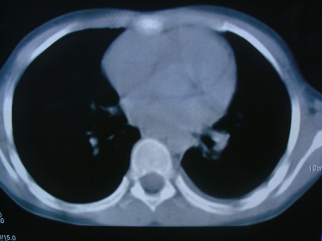
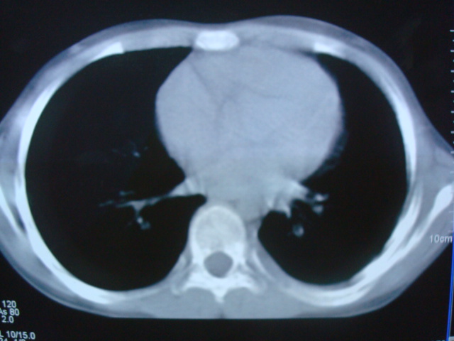
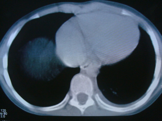
男,10岁,左胸痛,发热轻,血象高。后到省级权威医院治疗,病情明显好转,结果几天后公布。老机器,图像质量差,见谅。

























[本贴已被 tmf800 于 2008-6-30 10:27:42 修改过]
[本贴已被 jiajie 于 2008-6-30 10:29:16 修改过]
作者: yangyudong333 时间: 2008-6-30 20:22
考虑血源性肺脓肿或韦氏肉芽肿
作者: syfszcw 时间: 2008-6-30 21:59
考虑血源性肺脓肿
作者: jiangjing 时间: 2008-7-1 01:16
考虑血源性肺脓肿
作者: 杀毒软件 时间: 2008-7-1 01:58
抗炎后复查
作者: qc80012345 时间: 2008-7-1 02:14
血源性肺脓肿可能。
作者: dyqct 时间: 2008-7-1 04:31
考虑血源性肺脓肿.支持!
作者: 同 时间: 2008-7-1 05:28
考虑血源性肺脓肿.
作者: ydx_74 时间: 2008-7-1 05:29
不典型啊。抗炎治疗后复查。
作者: 随光逐影 时间: 2008-7-1 07:53
考虑化脓性肺炎。
作者: 深泽交通 时间: 2008-7-1 19:20
标题: 回复:ped0869:男,10岁,肺内多发结节+胸水
以下是引用yangyudong333在2008-6-30 12:22:00的发言:[br]考虑血源性肺脓肿或韦氏肉芽肿
作者: ct123h 时间: 2008-7-2 01:27
这图像真不清楚
作者: 358450m 时间: 2008-7-4 09:32
标题: 回复:ped0869:男,10岁,肺内多发结节+胸水
以下是引用jiangjing在2008-6-30 17:16:00的发言:[br]考虑血源性肺脓肿
| 欢迎光临 医影在线 (http://bbs.radida.com/bbs/) |
Powered by Discuz! X3.2 |