

以下是引用jinguoji在2008-6-30 14:57:00的发言:[br]支持右股骨颈坏死伴髋关节脱位。
以下是引用jinguoji在2008-6-30 14:57:00的发言:[br]支持右股骨颈坏死伴髋关节脱位。
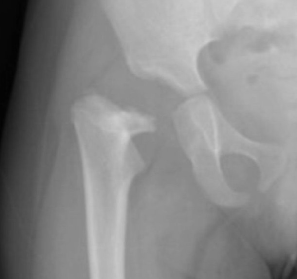
以下是引用jiangjing在2008-6-30 17:13:00的发言:[br]股骨头骨骺缺血性坏死,伴脱位
以下是引用wjyd在2008-7-2 14:41:00的发言:[br]股骨头坏死移位伴髋关节脱位
| 欢迎光临 医影在线 (http://bbs.radida.com/bbs/) | Powered by Discuz! X3.2 |