




























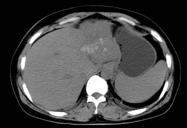
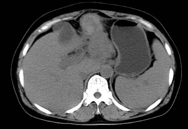
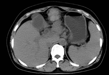
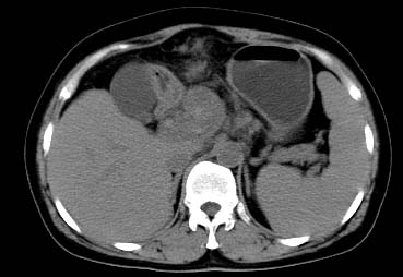
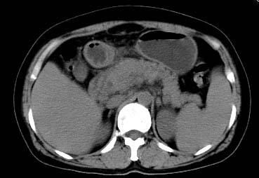
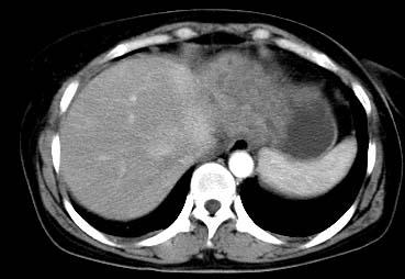
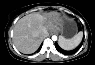
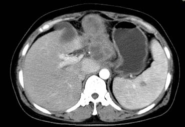
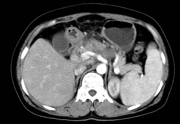
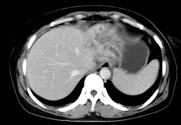
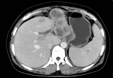
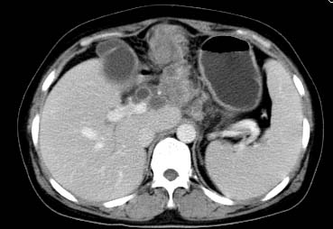
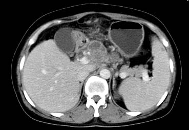
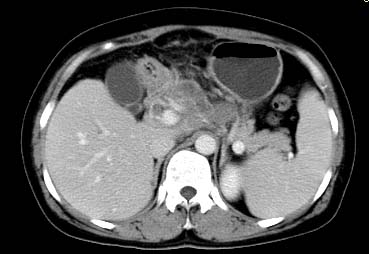
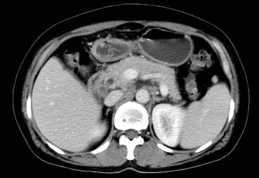
以下是引用西北一只狼在2008-6-30 20:58:00的发言:[br]肝左叶胆管细胞ca并肝门淋巴结转移、胰腺、胃小弯浸润
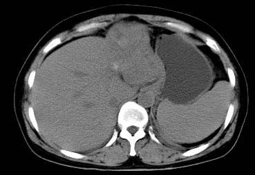
以下是引用西北一只狼在2008-6-30 20:58:00的发言:[br]肝左叶胆管细胞ca并肝门淋巴结转移、胰腺、胃小弯浸润
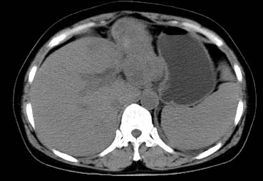
以下是引用西北一只狼在2008-6-30 20:58:00的发言:[br]肝左叶胆管细胞ca并肝门淋巴结转移、胰腺、胃小弯浸润
以下是引用dyqct在2008-7-1 10:10:00的发言:[br][quote]以下是引用西北一只狼在2008-6-30 20:58:00的发言:[br]肝左叶胆管细胞ca并肝门淋巴结转移、胰腺、胃小弯浸润
以下是引用dyqct在2008-7-1 10:10:00的发言:[br][quote]以下是引用西北一只狼在2008-6-30 20:58:00的发言:[br]肝左叶胆管细胞ca并肝门淋巴结转移、胰腺、胃小弯浸润
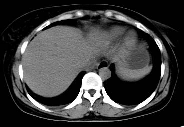
以下是引用ydx_74在2008-6-30 21:54:00的发言:[br]左叶胆管细胞ca并肝门淋巴结转移、胰腺、胃小弯浸润
以下是引用西北一只狼在2008-6-30 20:58:00的发言:[br]肝左叶胆管细胞ca并肝门淋巴结转移、胰腺、胃小弯浸润
| 欢迎光临 医影在线 (http://bbs.radida.com/bbs/) | Powered by Discuz! X3.2 |