医影在线
标题: X4477:F,37Y。主诉时有胸闷,双上下肢及眼睑浮肿。心脏听 [打印本页]
作者: clj20 时间: 2008-7-1 17:49
标题: X4477:F,37Y。主诉时有胸闷,双上下肢及眼睑浮肿。心脏听

[本贴已被 zhangzhongshou 于 2008-7-1 12:35:31 修改过]
作者: 宇宙CT 时间: 2008-7-1 19:00
心肺膈未见异常
作者: lishibao 时间: 2008-7-1 19:47
双肺及心膈影未见明显异常。
作者: yangyudong333 时间: 2008-7-1 20:11
双肺及心膈影未见明显异常。
作者: 阿敏 时间: 2008-7-1 20:15
慢性支气管炎,肺部慢性间质性改变,心外形不大。
作者: jiajie 时间: 2008-7-1 20:38
心胸比率较小,考虑小心脏综合症?
作者: 影象小泰斗 时间: 2008-7-1 22:01
未见异常!
作者: dyqct 时间: 2008-7-1 23:05
胸部平片未见明显异常。
作者: zhouqiaozhong 时间: 2008-7-2 00:40
心肺膈未见异常。
作者: zxczxc 时间: 2008-7-2 00:59
心肺未见明显异常。
作者: 寒雪傲梅 时间: 2008-7-2 01:10
心肺膈未见明显异常
作者: clj20 时间: 2008-7-2 01:20
标题: 请提供小心脏综合症诊断标准有关资料。
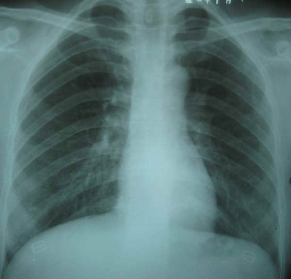
1、此病例心胸比率为0.37,心影横径临界9.0cm。
2、小心脏综合征(small heart syndrome)报道诊断标准。(1)x线胸片显示小心脏,心胸比率<0.40,心脏横径均<9.0 cm。
3、请大家继续发表意见。提供小心脏综合症诊断标准资料。
[本贴已被 clj20 于 2008-7-1 18:50:03 修改过]
作者: 保华 时间: 2008-7-2 01:24
未见明显异常
作者: 张利 时间: 2008-7-2 01:31
心肺膈未见明显异常。顺便说一声:\"侠之大者\"好漂亮哦!
作者: 杀毒软件 时间: 2008-7-2 01:31
垂直型心----心胸比率小也多考虑没事
作者: weiyuefang 时间: 2008-7-2 01:59
未见异常
作者: 海笑 时间: 2008-7-2 02:34
未见明显异常
作者: dsl555 时间: 2008-7-2 03:01
心肺未见明显异常。
作者: dsl555 时间: 2008-7-2 03:02
心肺未见明显异常。
作者: ml2007 时间: 2008-7-2 03:56
无异常
作者: shiqingfa 时间: 2008-7-2 04:14
胸部平片未见明显异常
作者: 九月120 时间: 2008-7-2 04:53
心肺未见异常。
作者: jiangyanpiao 时间: 2008-7-2 05:05
未见异常!
作者: 谨言慎行 时间: 2008-7-2 05:07
心肺膈未见异常
作者: 黄山云海 时间: 2008-7-2 05:26
心 肺 未 见 异 常
作者: kbzyycm 时间: 2008-7-2 05:30
肺及心膈影未见明显异常。
作者: PANPAN 时间: 2008-7-2 05:47
标题: 回复:x4477:f,37y。主诉时有胸闷,双上下肢及眼睑浮肿。
以下是引用dyqct在2008-7-1 15:05:00的发言:[br]胸部平片未见明显异常。
作者: yangwq 时间: 2008-7-2 06:37
查查肾
作者: xiazhuzhu 时间: 2008-7-2 07:29
标题: 回复:x4477:f,37y。主诉时有胸闷,双上下肢及眼睑浮肿。
以下是引用lishibao在2008-7-1 11:47:00的发言:[br]双肺及心膈影未见明显异常。
作者: ydx_74 时间: 2008-7-2 07:47
心肺未见明显异常。
作者: wangjj555 时间: 2008-7-2 16:37
心肺膈未见异常。
作者: jinguoji 时间: 2008-7-2 17:07
胸部平片未见明显异常。
作者: 骄阳 时间: 2008-7-2 19:35
请提供小心脏综合症诊断标准资料。谢谢.
作者: 358450m 时间: 2008-7-2 20:33
标题: 回复:x4477:f,37y。主诉时有胸闷,双上下肢及眼睑浮肿。
以下是引用宇宙ct在2008-7-1 11:00:00的发言:[br]心肺膈未见异常
作者: dengkai 时间: 2008-7-2 21:33
心肺未见明显异常。肝肾功能?
作者: hexue 时间: 2008-7-3 01:16
未见明显异常
作者: 王仕学 时间: 2008-7-3 01:17
胸部平片未见明显异常。
作者: gjj6818 时间: 2008-7-3 03:15
心肺膈未见异常
作者: 虚实村 时间: 2008-7-3 05:28
真是学无止境啊,今天头一次听说这个小心综合征.感谢张甲杰老师和楼主说出来.不过,本片我坚持正常胸片.
作者: 直线加速器 时间: 2008-7-3 06:50
双肺及心隔影未见明显异常
作者: 康振朝 时间: 2008-7-3 06:55
小心脏综合症是指x线片上心影小于正常,心胸比率儿童<0.40,成人<0.42,心脏横径<9-12cm.临床上轻度运动后出现机体供血不足而产生的一系列症状,如心悸、无力、胸前区疼痛、直立时易头晕、恶心、心动过速的一种特殊神经衰弱的症候群,而非心脏器质性病变.但心脏小,患者无任何循环系统症状和体征均不属此症.本例症状不符,应考虑滴状心。水肿的原因,除心脏外,还有肾脏、肝脏病变等其他原因,建议进一步检查。
作者: 153916826hua 时间: 2008-11-25 07:37
心肺未见明显异常
作者: 一剑飘红 时间: 2008-11-28 22:10
新肺膈未见异常
作者: yuhongjun 时间: 2008-11-28 22:21
心肺未见明显异常。
作者: ljj88 时间: 2008-11-29 04:00
心肺膈未见异常
作者: shibing 时间: 2014-4-18 07:43
心肺膈未见异常
| 欢迎光临 医影在线 (http://bbs.radida.com/bbs/) |
Powered by Discuz! X3.2 |