







以下是引用黑影在2008-7-1 18:03:00的发言:[br]值得注意,值得我们学习。
以下是引用qc80012345在2008-7-1 19:04:00的发言:[br]错误和挫折教训了我们,使我们更加聪明起来。
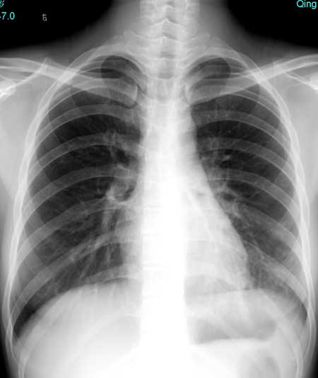
以下是引用pujunzhi在2008-7-1 20:03:00的发言:[br]支持楼主意见!两肺继发性肺结核伴多发空洞形成。
以下是引用杀毒软件在2008-7-1 17:56:00的发言:[br]变化挺快的,谢楼主提醒
| 欢迎光临 医影在线 (http://bbs.radida.com/bbs/) | Powered by Discuz! X3.2 |