医影在线

标题: PED0874:M,14Y。透明隔缺如。 [打印本页]

作者: 随光逐影    时间: 2008-7-2 07:37
标题: PED0874:M,14Y。透明隔缺如。
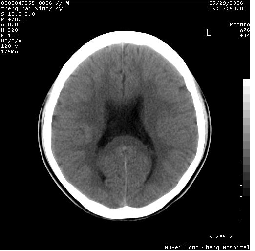
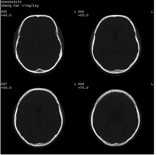
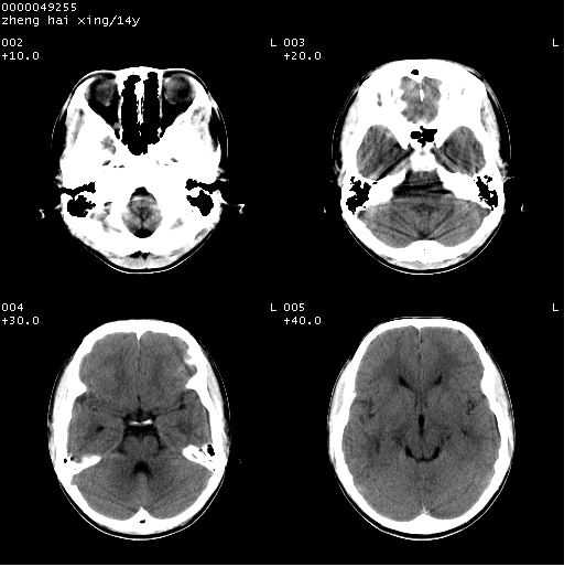
患儿 男,14岁。头部外伤1小时。pe:发育正常,营养良好,生命体征稳定,未见明显阳性体征。

临床诊断:ⅰ级脑外伤。

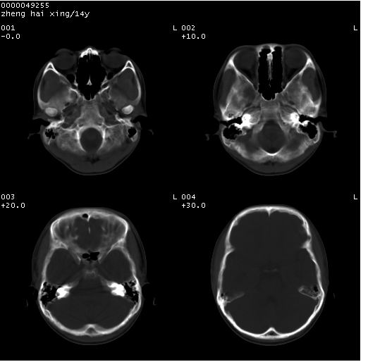
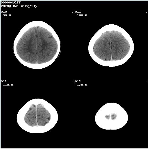
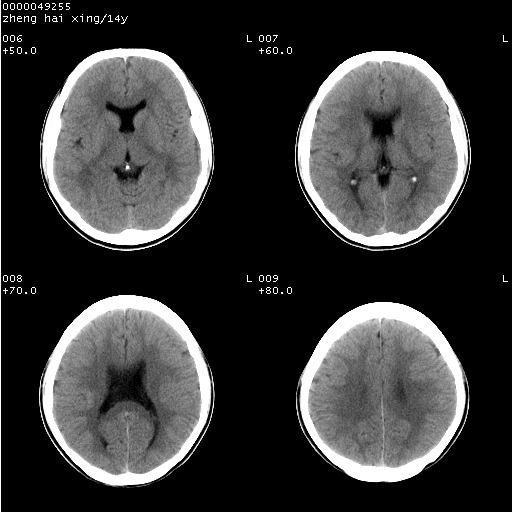
颅脑ct轴位平扫(层厚、层距均为10mm),图像如下:











(患儿平素健康,双眼视力正常,无神经系统及内分泌系统症状及体征)

[本贴已被 翁志蓬 于 2008-7-2 0:20:48 修改过]

作者: 光影★小胖    时间: 2008-7-2 19:12
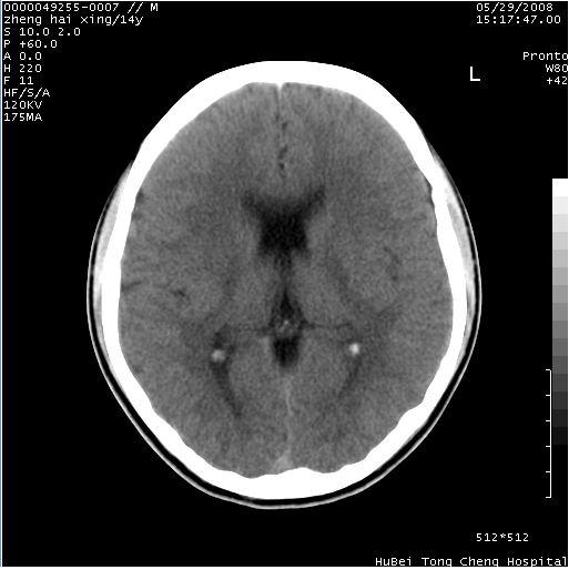
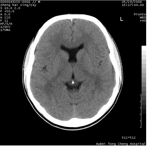
双侧侧脑室之间无透明隔,双侧额角前方变扁,交角变钝。支持透明隔缺如!
透明隔缺如可为先天性缺如,亦可继发于因脑积水,脑室内压力增高,使其变薄,以至不能显示。一般无临床意义,但可并发于其他畸形或作为隔—视综合征的组成部分。
(隔—视发育不良综合征包括:1)原发性视神经发育不良,2)透明隔缺如,3)垂体功能不全,特别是生长激素不足或缺乏)
作者: linshaobo    时间: 2008-7-2 20:27
调一下窗寛窗位,或者透明隔太薄,容积效应而显示不好。
作者: dyqct    时间: 2008-7-2 23:34
支持楼主意见。
作者: 杀毒软件    时间: 2008-7-3 02:45
支持楼主意见
作者: huhao426    时间: 2008-7-3 04:24
建议做mri检查
作者: 生命如此    时间: 2008-7-3 08:44
透明隔缺如
作者: yangyudong333    时间: 2008-7-3 14:17
支持楼主意见
作者: jiangjing    时间: 2008-7-3 22:08
支持楼主意见
作者: 王2008    时间: 2008-7-4 00:50
支持楼主意见。
作者: qc80012345    时间: 2008-7-4 01:54
支持透明隔缺如!
作者: 358450m    时间: 2008-7-4 09:11
标题: 回复:ped0874:m,14y。透明隔缺如。
以下是引用生命如此脆弱在2008-7-3 0:44:00的发言:[br]透明隔缺如

作者: 同    时间: 2008-7-6 04:31
透明隔缺如.
作者: lcfu_13    时间: 2008-7-6 09:25
支持
作者: zjzjr    时间: 2008-7-6 17:50
支持楼主意见。
作者: 黑白光影    时间: 2008-7-6 21:23
支持楼主意见。




欢迎光临 医影在线 (http://bbs.radida.com/bbs/) Powered by Discuz! X3.2