















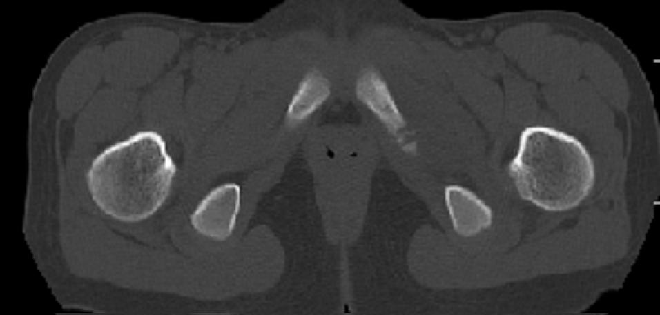
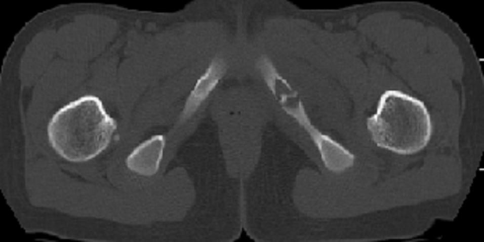
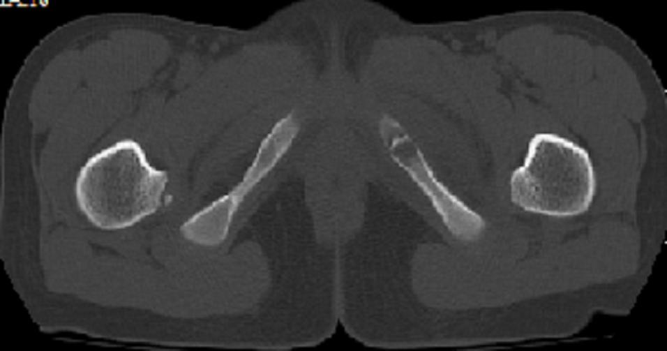
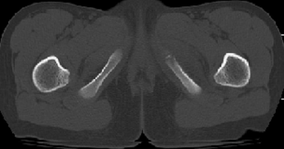
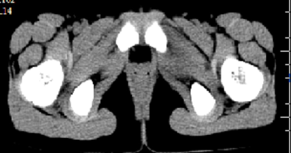
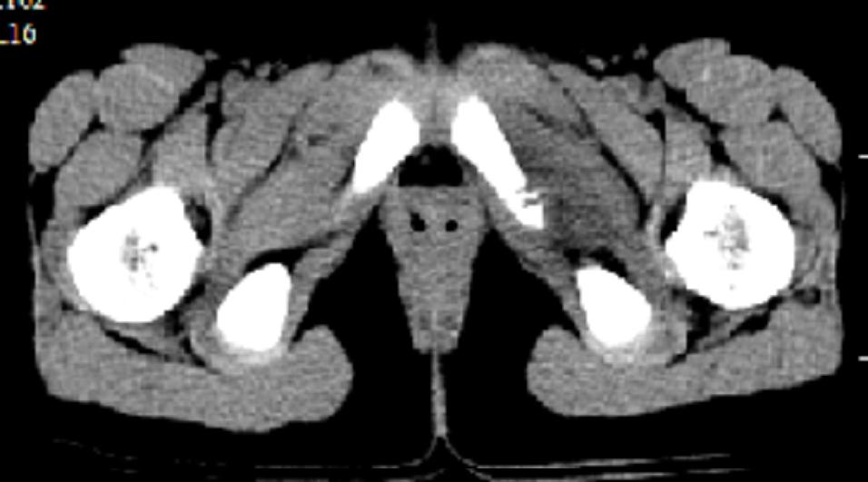
以下是引用zxd95在2008-7-2 10:06:00的发言:[br]左耻骨下支局部骨质破坏,内见小条状小骨片,周围肌间隙模糊,左闭孔内外肌肿胀。[br]儿童患者,首先考虑结核性,以骨质破坏为主(其内小条状小骨片解释为死骨)。[br]鉴别:[br]1、化脓性病变以增生为主;[br]2、肿瘤性病变:良性肿瘤不会有周围软组织的肿胀、模糊;恶性肿瘤病变骨皮质破坏、中断;[br]3、肿瘤样病变:一般也无周围软组织的改变。[br]建议查肺部及结核相关实验室检查。
以下是引用zxd95在2008-7-2 10:06:00的发言:[br]左耻骨下支局部骨质破坏,内见小条状小骨片,周围肌间隙模糊,左闭孔内外肌肿胀。[br]儿童患者,首先考虑结核性,以骨质破坏为主(其内小条状小骨片解释为死骨)。[br]鉴别:[br]1、化脓性病变以增生为主;[br]2、肿瘤性病变:良性肿瘤不会有周围软组织的肿胀、模糊;恶性肿瘤病变骨皮质破坏、中断;[br]3、肿瘤样病变:一般也无周围软组织的改变。[br]建议查肺部及结核相关实验室检查。
以下是引用zjzjr在2008-7-2 10:50:00的发言:[br][quote]以下是引用zxd95在2008-7-2 10:06:00的发言:[br]左耻骨下支局部骨质破坏,内见小条状小骨片,周围肌间隙模糊,左闭孔内外肌肿胀。[br]儿童患者,首先考虑结核性,以骨质破坏为主(其内小条状小骨片解释为死骨)。[br]鉴别:[br]1、化脓性病变以增生为主;[br]2、肿瘤性病变:良性肿瘤不会有周围软组织的肿胀、模糊;恶性肿瘤病变骨皮质破坏、中断;[br]3、肿瘤样病变:一般也无周围软组织的改变。[br]建议查肺部及结核相关实验室检查。
以下是引用zxd95在2008-7-2 10:06:00的发言:[br]左耻骨下支局部骨质破坏,内见小条状小骨片,周围肌间隙模糊,左闭孔内外肌肿胀。[br]儿童患者,首先考虑结核性,以骨质破坏为主(其内小条状小骨片解释为死骨)。[br]鉴别:[br]1、化脓性病变以增生为主;[br]2、肿瘤性病变:良性肿瘤不会有周围软组织的肿胀、模糊;恶性肿瘤病变骨皮质破坏、中断;[br]3、肿瘤样病变:一般也无周围软组织的改变。[br]建议查肺部及结核相关实验室检查。
以下是引用zxd95在2008-7-2 10:06:00的发言:[br]左耻骨下支局部骨质破坏,内见小条状小骨片,周围肌间隙模糊,左闭孔内外肌肿胀。[br]儿童患者,首先考虑结核性,以骨质破坏为主(其内小条状小骨片解释为死骨)。[br]鉴别:[br]1、化脓性病变以增生为主;[br]2、肿瘤性病变:良性肿瘤不会有周围软组织的肿胀、模糊;恶性肿瘤病变骨皮质破坏、中断;[br]3、肿瘤样病变:一般也无周围软组织的改变。[br]建议查肺部及结核相关实验室检查。
以下是引用前行在2008-7-2 12:09:00的发言:[br]骨结核可能,建议活检查。
以下是引用dyqct在2008-7-2 15:38:00的发言:[br]左坐骨与耻骨交界处膨胀性溶骨性病变,周围软组织略肿胀,边界不清。[br]发生在这个年龄组该部位最常见的一种发育变异,可以出现此种改变。另外感染不除外,建议定期复查。
| 欢迎光临 医影在线 (http://bbs.radida.com/bbs/) | Powered by Discuz! X3.2 |