医影在线
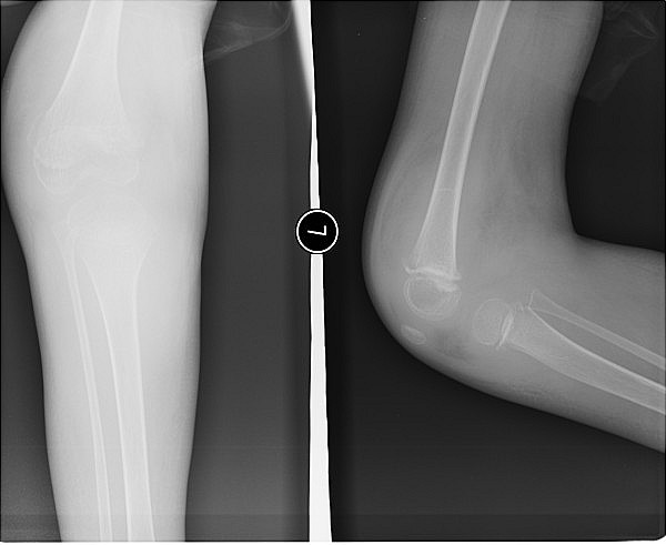
标题: PED0878:男.6岁,脑瘫患者.双下肢肿胀,以右膝关节显著. [打印本页]
作者: hexue 时间: 2008-7-4 23:07
标题: PED0878:男.6岁,脑瘫患者.双下肢肿胀,以右膝关节显著.

[本贴已被 jiajie 于 2008-7-4 16:05:52 修改过]
作者: 358450m 时间: 2008-7-5 00:01
正常
作者: 小沈 时间: 2008-7-5 00:03
没看出啥
作者: aa13877358820 时间: 2008-7-5 02:32
标题: 脑瘫患儿
夏科氏关节即神经性关节病?
[本贴已被 aa13877358820 于 2008-7-5 12:40:11 修改过]
作者: livingod 时间: 2008-7-5 18:15
夏科氏关节。
作者: 杀毒软件 时间: 2008-7-6 02:03
支持神经性关节病---但不一定是夏科氏关节
作者: 同 时间: 2008-7-6 04:26
标题: 回复:ped0878:男.6岁,脑瘫患者.双下肢肿胀,以右膝关节显著.
以下是引用杀毒软件在2008-7-5 18:03:00的发言:[br]支持神经性关节病---但不一定是夏科氏关节
作者: dyqct 时间: 2008-7-6 04:27
标题: 回复:ped0878:男.6岁,脑瘫患者.双下肢肿胀,以右膝关节显著.
以下是引用杀毒软件在2008-7-5 18:03:00的发言:[br]支持神经性关节病---但不一定是夏科氏关节
主要是关节积液、骨质疏松。
作者: 云翔 时间: 2008-7-6 04:44
关节软组织肿胀,考虑关节积液,
作者: lcfu_13 时间: 2008-7-6 08:46
关节肿胀,骨质疏松,结合临床考虑夏科关节早期改变
作者: zjzjr 时间: 2008-7-6 17:45
支持神经营养性骨关节病.
作者: LIAOQIANG 时间: 2008-7-6 23:23
关节肿胀,骨质疏松。考虑神经性关节病。
作者: wjyd 时间: 2008-7-7 01:39
关节周围软组织肿胀,密度增高,胫骨骺有半脱位,结合病史,考虑-神经关节性病
作者: 老顽AOD 时间: 2008-7-7 04:46
主要是关节积液
作者: jinguoji 时间: 2008-7-8 22:41
支持神经性关节病.
| 欢迎光临 医影在线 (http://bbs.radida.com/bbs/) |
Powered by Discuz! X3.2 |