医影在线
标题: x4495:强直性脊椎炎 [打印本页]
作者: 江广1996 时间: 2008-7-5 02:12
标题: x4495:强直性脊椎炎
在本站看过多例强直性脊椎炎的典型病例,本人十多年的工作中也遇过许多这样的病人,对于这种病的诊断不准备在此讨论,现将我院近期较有代表性的两例图片上传,请朋友提出宝贵意见。
病例一:强直性脊椎炎早期病例.
男性患者,21岁,轻微腰背痛.双侧骶髂关节下缘破坏,腰椎曲度变直,骨质疏松,腰2-5椎体为方形,但尚未出现典型的竹节样改变。在北京阜外医院全面检查,诊断为强直性脊椎炎.


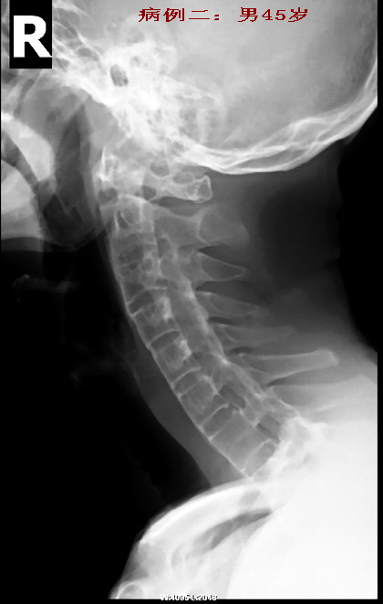
病例二:强直性脊椎炎晚期病例。
男性45岁,患者已有明显的颈部强直症状。从骶髂关节上行至颈椎均呈典型改变(腰椎侧位片已遗失.没有也无所谓)。



[本贴已被 zhangzhongshou 于 2008-7-4 18:17:34 修改过]
作者: ZHANGZHONGSHOU 时间: 2008-7-5 02:24
支持强直性脊椎炎的诊断。
作者: dyqct 时间: 2008-7-5 02:30
典型!一个早期,后一个晚期改变.
作者: 358450m 时间: 2008-7-5 02:42
标题: 回复:x4495:强直性脊椎炎
以下是引用dyqct在2008-7-4 18:30:00的发言:[br]典型!一个早期,后一个晚期改变.
作者: 王仕学 时间: 2008-7-5 02:57
支持强直性脊椎炎的诊断。
作者: zhengfaming 时间: 2008-7-5 03:24
谢过楼主了
作者: wansheng 时间: 2008-7-5 03:47
好病例,感谢楼主!
作者: 随光逐影 时间: 2008-7-5 03:49
学习了,谢楼主!
作者: zhangyulei207 时间: 2008-7-5 04:11
学习了,谢谢楼主
作者: lishibao 时间: 2008-7-5 04:20
典型,好病例。
支持!
作者: 秋叶落无声 时间: 2008-7-5 04:35
典型!可以作教学片,收藏了,谢谢!
作者: 杏林古木 时间: 2008-7-5 04:54
典型!早晚都是。
作者: gjj6818 时间: 2008-7-5 05:04
典型
作者: jinguoji 时间: 2008-7-5 05:38
标题: 回复:x4495:强直性脊椎炎
以下是引用dyqct在2008-7-4 18:30:00的发言:[br]典型!一个早期,后一个晚期改变.
作者: 生命如此 时间: 2008-7-5 05:45
典型!一个早期,后一个晚期改变
作者: 浅识浅见 时间: 2008-7-5 05:47
第2例相对较典型,但还需结合临床分析。第1例则不典型,或者说不是,其椎体并非呈方形,而是正常表现,亦没有明显骨质疏松表现。且椎小关节结构及骨质边缘亦很清楚、锐利。双侧骶髂关节下缘虽有虫蚀样破坏,但有明显硬化改变,且上中部未见明显异常。早期强直性脊柱炎也是从骶髂关节下部开始,呈虫蚀样破坏,往往伴有骨质疏松,所以边缘毛糙、模糊,一般没有明显硬化征象。而且早期累及椎小关节,亦呈类似改变。所以我不赞同早期强直性脊柱炎诊断。可考虑慢性炎症所致。建议追踪复查。
作者: 黑白光影 时间: 2008-7-5 05:50
学习了,谢楼主!
作者: PANPAN 时间: 2008-7-5 06:12
标题: 回复:x4495:强直性脊椎炎
以下是引用dyqct在2008-7-4 18:30:00的发言:[br]典型!一个早期,后一个晚期改变.
作者: ydx_74 时间: 2008-7-5 06:19
竹节状。典型
作者: hnyzdjb 时间: 2008-7-5 06:23
好病例、支持!
作者: 影像迷 时间: 2008-7-5 06:24
学习了,谢谢楼主 .
作者: 宇宙CT 时间: 2008-7-5 06:42
典型!一个早期,后一个晚期改变.
作者: yangyudong333 时间: 2008-7-5 14:21
好病例,感谢楼主!
作者: yuhongjun 时间: 2008-7-5 14:33
复习了 ,很经典,感谢了。
强直性脊柱炎(anky losing spondy litis,简称as)是一种血清反应阴性,常见的骨关节疾病,多见于青年男性,16~32岁发病较多,多数患者呈隐匿发病,病变早期呈转移性、上行性腰背疼痛,以下腰痛最多见,伴有困倦乏力,消瘦气短、贫血状,少数可伴有低烧,以及晨僵,夜间翻身困难,起床费力或活动受限,一种姿势保持长久症状明显,此时常被忽视为腰肌劳损等其他疾病,常常不能引起人们的重视,本病发展缓慢,可迁延10~20年,发展到后期,病情发展往往较快,很短时间内形成驼背畸形,关节强直,x线片中发现脊柱已形成竹节样改变,并出现全身症状及内脏受累,有少数病人卧床瘫痪,甚至死亡。
作者: livingod 时间: 2008-7-5 18:57
支持一下!
作者: LIAOQIANG 时间: 2008-7-6 00:28
典型!一个早期,一个晚期改变。
作者: hexue 时间: 2008-7-6 00:39
谢谢楼主,学习了
作者: wangjie 时间: 2008-7-6 00:50
典型,支持。
作者: 谨言慎行 时间: 2008-7-6 00:53
谢谢,很好的学习资料
作者: 杀毒软件 时间: 2008-7-6 01:44
典型
作者: qsbaomingcheng 时间: 2008-7-6 05:45
典型!一个早期,后一个晚期改变.
作者: wxq2008 时间: 2008-7-6 18:26
好病例
作者: 寒雪傲梅 时间: 2008-7-6 18:58
典型,支持!
作者: shuqiang1 时间: 2008-7-6 21:28
感谢!学习!!!!!
作者: wangqingdh 时间: 2008-7-7 00:52
学习了 谢楼主!
作者: lrj 时间: 2008-7-7 02:18
早期一病例学习了
作者: taky 时间: 2008-7-7 02:54
典型!一个早期,后一个晚期改变.
作者: 王2008 时间: 2008-7-7 03:33
学习了,谢楼主!
作者: wy232326 时间: 2008-7-7 04:05
支持强直性脊椎炎的诊断。学习了
作者: 老顽AOD 时间: 2008-7-7 04:36
典型!一个早期,一个晚期.谢谢了!
作者: shiqingfa 时间: 2008-7-7 05:56
支持强直性脊椎炎的诊断
作者: 江广1996 时间: 2008-7-8 22:25
标题: 回复:x4495:强直性脊椎炎
第一例是经过确诊的,注意一下双侧髋关节间隙一致性变窄,这也是强直性髋关节炎的表现.
作者: lds 时间: 2008-7-9 18:53
学习了,谢谢楼主
作者: 吴文利 时间: 2008-7-10 05:55
好
作者: shibing 时间: 2013-11-17 16:52
强直性脊椎炎
作者: pujunzhi 时间: 2013-11-20 07:38
强直性脊椎炎!
谢谢楼主!
| 欢迎光临 医影在线 (http://bbs.radida.com/bbs/) |
Powered by Discuz! X3.2 |