医影在线
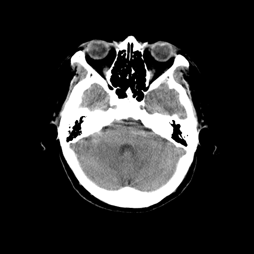
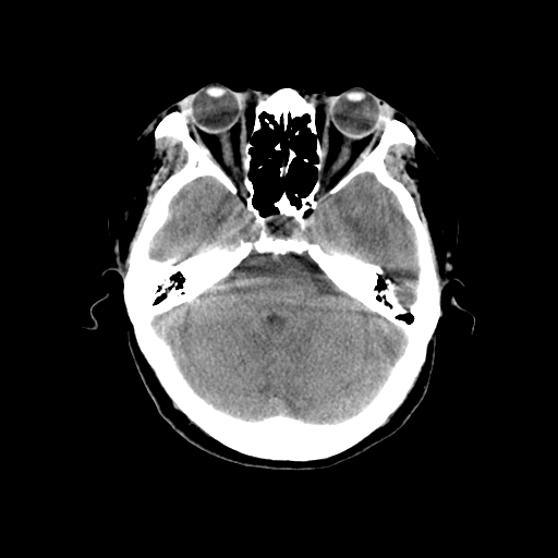
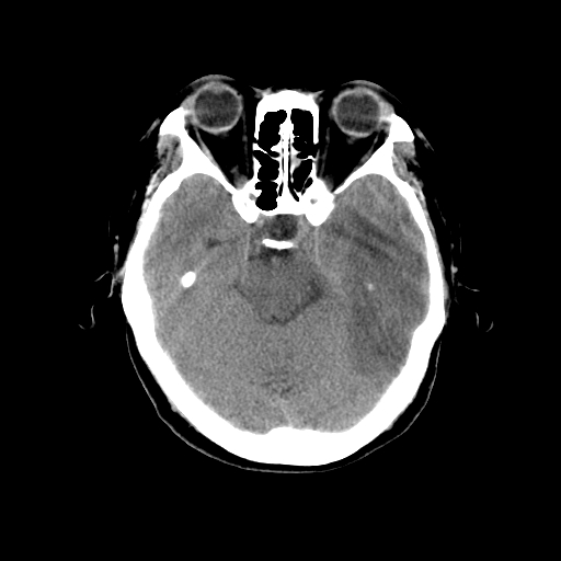
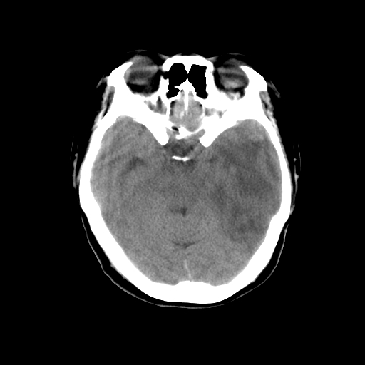
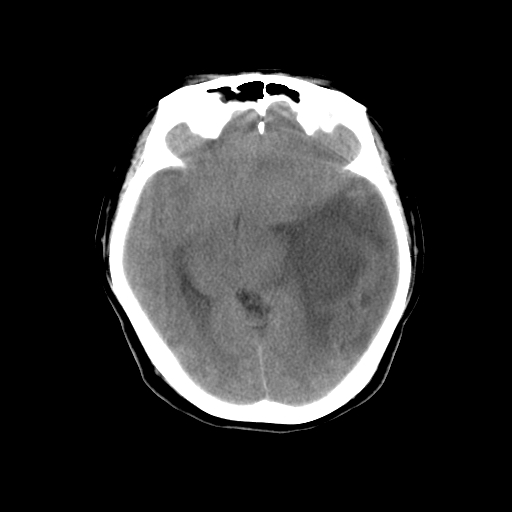
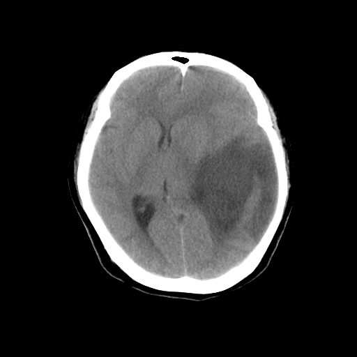
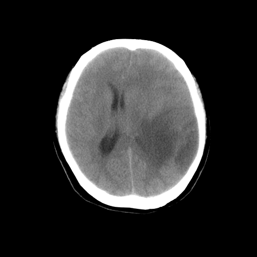
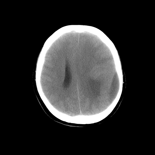
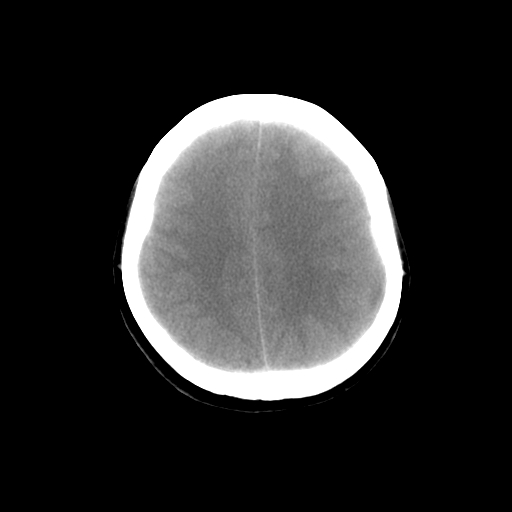
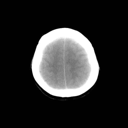
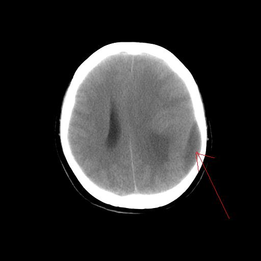
标题: CT14513:女性41岁,头部不适二月余,其它病史不详。请分析 [打印本页]
作者: xulianj 时间: 2008-7-10 05:31
标题: CT14513:女性41岁,头部不适二月余,其它病史不详。请分析












[本贴已被 jiajie 于 2008-7-9 21:46:25 修改过]

[本贴已被 xulianj 于 2008-7-9 22:06:01 修改过]
作者: ZHANGZHONGSHOU 时间: 2008-7-10 05:35
考虑ii-iii级星形细胞瘤可能性大。
作者: 影象小泰斗 时间: 2008-7-10 05:41
支持星形细胞瘤!
作者: 光影相伴 时间: 2008-7-10 05:43
1.考虑:左侧颞顶叶星形细胞瘤。2.大脑镰下疝。
作者: 子十 时间: 2008-7-10 05:50
标题: 回复:ct14513:女性41岁,头部不适二月余,其它病史不详。
以下是引用影象小泰斗在2008-7-9 21:41:00的发言:[br]支持星形细胞瘤!
作者: 卜一 时间: 2008-7-10 05:50
支持考虑:左侧颞顶叶星形细胞瘤。
作者: wzr 时间: 2008-7-10 05:51
支持胶质瘤
作者: 2016 时间: 2008-7-10 05:57
支持星形细胞瘤
作者: yangwq 时间: 2008-7-10 05:58
胶质瘤可能性大
作者: 宝天曼 时间: 2008-7-10 06:21
支持星形细胞瘤!
作者: 358450m 时间: 2008-7-10 06:21
标题: 回复:ct14513:女性41岁,头部不适二月余,其它病史不详。
以下是引用zhangzhongshou在2008-7-9 21:35:00的发言:[br]考虑ii-iii级星形细胞瘤可能性大。
作者: xrw 时间: 2008-7-10 06:31
左颞叶脑胶质瘤可能性大.
作者: panyishengct 时间: 2008-7-10 06:32
星形细胞瘤
作者: 石门之剑 时间: 2008-7-10 07:00
支持星形细胞瘤。
作者: 许亚光 时间: 2008-7-10 07:01
颅内占位性病变,交质瘤
作者: jsgdoctor 时间: 2008-7-10 07:48
胶质瘤
作者: 守望可可 时间: 2008-7-10 10:42
标题: 回复:ct14513:女性41岁,头部不适二月余,其它病史不详。
以下是引用zhangzhongshou在2008-7-9 21:35:00的发言:[br]考虑ii-iii级星形细胞瘤可能性大。
支持!但楼主所提示处颅骨明显受压变薄,是否有合并蛛网膜囊肿或局部硬膜下水瘤的可能?脑穿通畸形暂不予以考虑:明显占位表现;病侧脑室无扩张;病灶不是较明确的脑脊液密度;边界不清晰。还是mri检查吧,提供的有价值信息更多一些,至少可以排除或肯定蛛网膜囊肿或局部硬膜下水瘤的存在。
作者: zjb 时间: 2008-7-10 13:50
支持星形细胞瘤
作者: lxq2000 时间: 2008-7-10 13:59
左侧颞顶叶星形细胞瘤。
作者: zjzjr 时间: 2008-7-10 16:16
左侧颞顶叶星形细胞瘤,建议增强
作者: dyqct 时间: 2008-7-10 16:33
标题: 回复:ct14513:女性41岁,头部不适二月余,其它病史不详。
以下是引用光影相伴在2008-7-9 21:43:00的发言:[br]1.考虑:左侧颞顶叶星形细胞瘤。2.大脑镰下疝。
支持!
作者: wangjj555 时间: 2008-7-10 16:36
支持星形细胞瘤!
作者: wxq2008 时间: 2008-7-10 17:48
胶质瘤可能性大支持2-3级星形细胞瘤
作者: WYD2008 时间: 2008-7-10 18:00
需要临床及进一步检查资料.
作者: zsl6918 时间: 2008-7-10 18:10
首先考虑星形细胞瘤
作者: doulei 时间: 2008-7-10 18:11
星形细胞瘤
作者: jiangjing 时间: 2008-7-10 19:52
持考虑:左侧颞顶叶星形细胞瘤.局限性慢性硬膜下血肿
作者: 形影不离 时间: 2008-7-10 20:05
标题: 回复:ct14513:女性41岁,头部不适二月余,其它病史不详。
以下是引用光影相伴在2008-7-9 21:43:00的发言:[br]1.考虑:左侧颞顶叶星形细胞瘤。2.大脑镰下疝。
作者: pujunzhi 时间: 2008-7-10 21:25
以下是引用影象小泰斗在2008-7-9 21:41:00的发言:
支持星形细胞瘤!
作者: 37度 时间: 2008-7-10 22:53
标题: 回复:ct14513:女性41岁,头部不适二月余,其它病史不详。
以下是引用光影相伴在2008-7-9 21:43:00的发言:[br]1.考虑:左侧颞顶叶星形细胞瘤。2.大脑镰下疝。
作者: zhuming943066 时间: 2008-7-10 23:43
标题: 回复:ct14513:女性41岁,头部不适二月余,其它病史不详。
以下是引用zjzjr在2008-7-10 8:16:00的发言:[br]左侧颞顶叶星形细胞瘤,建议增强
作者: 王2008 时间: 2008-7-10 23:46
以下是引用zjzjr在2008-7-10 8:16:00的发言:
左侧颞顶叶星形细胞瘤,建议增强
作者: 红樱枪 时间: 2008-7-10 23:55
支持星形细胞瘤
作者: 随光逐影 时间: 2008-7-11 00:13
1)考虑左侧颞顶叶胶质瘤。2)左侧颞顶部慢性硬膜下血肿?3)大脑镰下疝。
作者: 拾荒者 时间: 2008-7-11 07:19
标题: 回复:ct14513:女性41岁,头部不适二月余,其它病史不详。
以下是引用随光逐影在2008-7-10 16:13:00的发言:[br]1)考虑左侧颞顶叶胶质瘤。2)左侧颞顶部慢性硬膜下血肿?3)大脑镰下疝。
支持!
作者: yangyudong333 时间: 2008-7-11 14:26
支持考虑:左侧颞顶叶星形细胞瘤。
作者: jinguoji 时间: 2008-7-15 07:28
支持星形细胞瘤。
| 欢迎光临 医影在线 (http://bbs.radida.com/bbs/) |
Powered by Discuz! X3.2 |