
















以下是引用pujunzhi在2008-7-10 13:06:00的发言:[br]透明间隔腔
以下是引用pujunzhi在2008-7-10 13:06:00的发言:[br]透明间隔腔
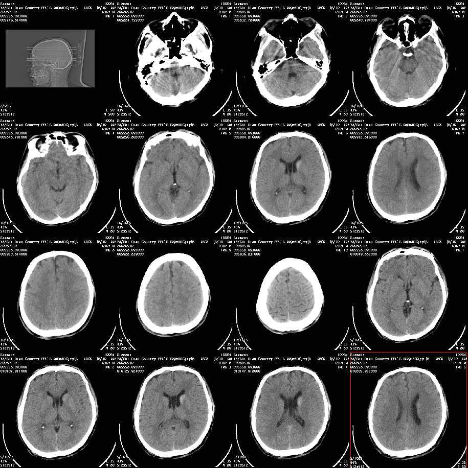
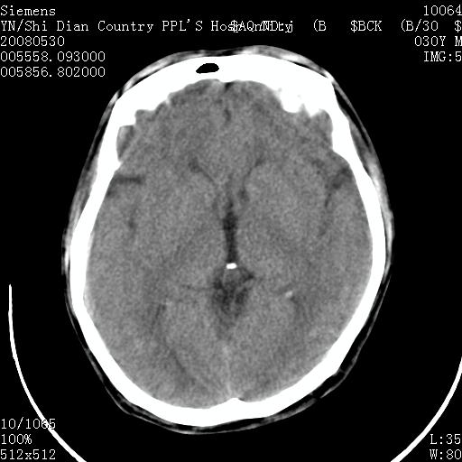
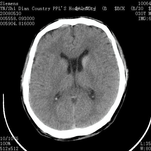
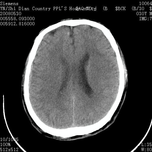
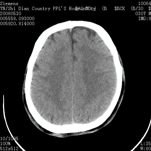
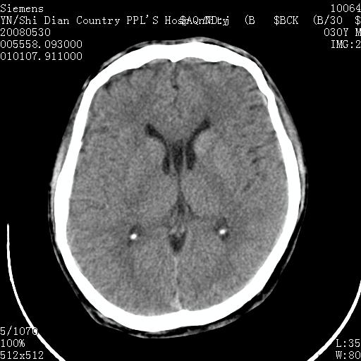
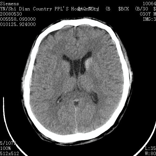
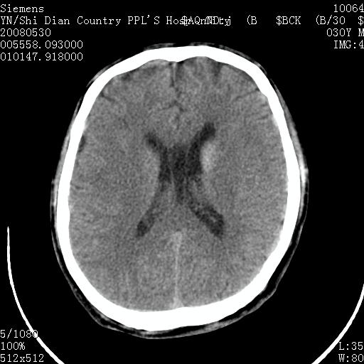
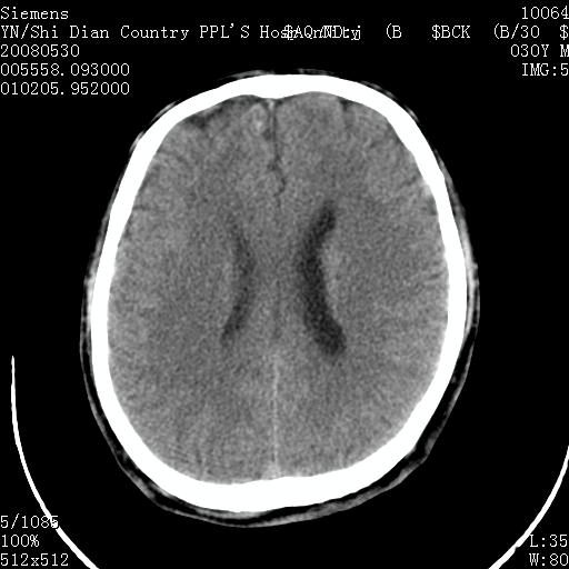
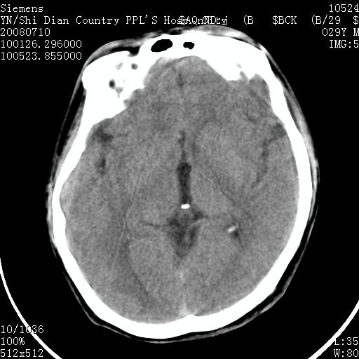
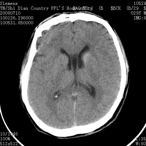
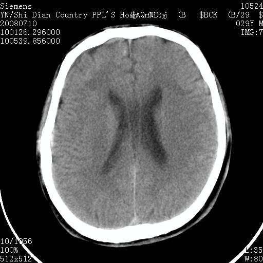
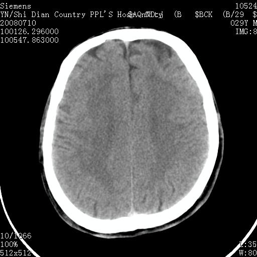
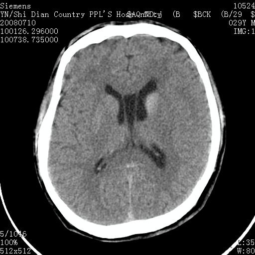
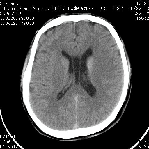
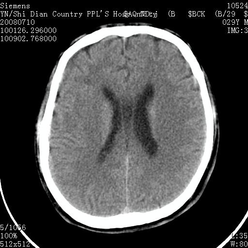
以下是引用随光逐影在2008-7-10 15:19:00的发言:[br]1)考虑左侧尾状核钙化。2)透间隔间腔与vergae腔并存。
以下是引用dyqct在2008-7-10 15:30:00的发言:[br][quote]以下是引用随光逐影在2008-7-10 15:19:00的发言:[br]1)考虑左侧尾状核钙化。2)透间隔间腔与vergae腔并存。
以下是引用卜一在2008-7-10 16:43:00的发言:[br]1)考虑左侧尾状核钙化。2)透间隔间腔形成。支持!
以下是引用随光逐影在2008-7-10 15:19:00的发言:[br]1)考虑左侧尾状核钙化。2)透间隔间腔与vergae腔并存。
以下是引用随光逐影在2008-7-10 15:19:00的发言:[br]1)考虑左侧尾状核钙化。2)透间隔间腔与vergae腔并存。
| 欢迎光临 医影在线 (http://bbs.radida.com/bbs/) | Powered by Discuz! X3.2 |