医影在线

标题: CT14544:患者5楼坠下15分钟后CT扫描,2小时后死亡,请战友指 [打印本页]

作者: aiqinhai    时间: 2008-7-11 20:34
标题: CT14544:患者5楼坠下15分钟后CT扫描,2小时后死亡,请战友指






















[本贴已被 jiajie 于 2008-7-11 15:26:04 修改过]

作者: 前行    时间: 2008-7-11 21:15
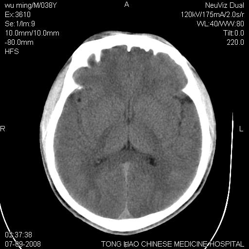
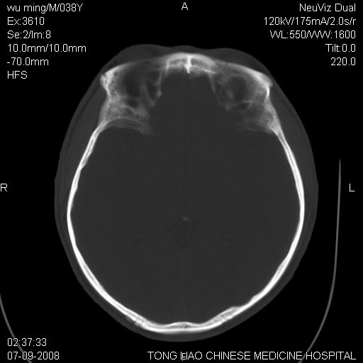
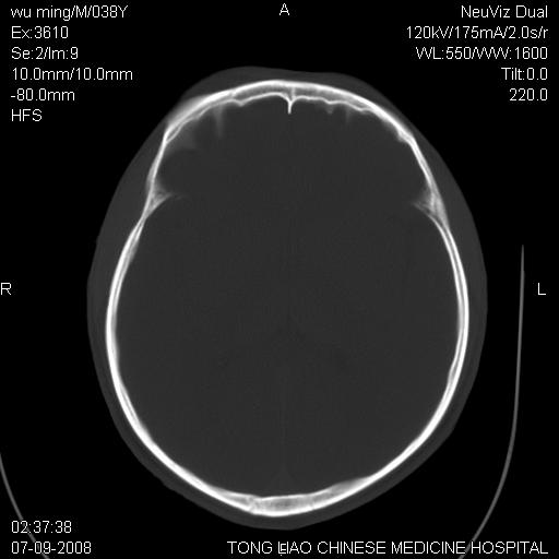
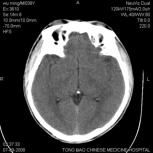
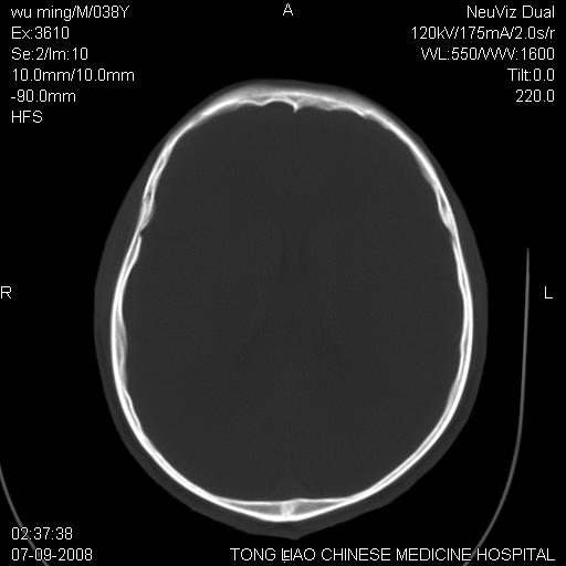
颅底多发骨折。
作者: aiqinhai    时间: 2008-7-11 21:26
可以详细指出吗??谢谢
作者: 358450m    时间: 2008-7-11 21:49
标题: 回复:患者5楼坠下15分钟后ct扫描,2小时后死亡,请战友指
以下是引用前行在2008-7-11 13:15:00的发言:[br]颅底多发骨折。

作者: 同    时间: 2008-7-11 22:37
颅底多发骨折.
作者: 晓杰    时间: 2008-7-11 22:58
颅底多发骨折.上颌骨多发骨折
作者: hnqyyjh    时间: 2008-7-11 23:00
右侧眼眶,上颌骨,鼻骨、上颌窦等很多
作者: zhuming943066    时间: 2008-7-11 23:01
骨折
作者: 卜一    时间: 2008-7-11 23:25
标题: 回复:患者5楼坠下15分钟后ct扫描,2小时后死亡,请战友指
颅底多发骨折!支持!





作者: dyqct    时间: 2008-7-11 23:41
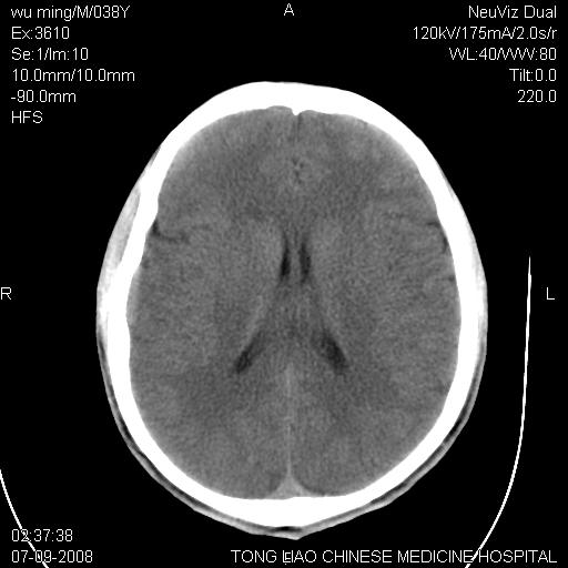
考虑:面骨、颅底骨多发骨折,颅内高压(脑肿胀)。
作者: ydx_74    时间: 2008-7-12 00:07
面骨、颅底骨多发骨折,右侧硬膜下小血肿,弥漫轴索损伤,死亡原因可能是多种因素致。
作者: 随光逐影    时间: 2008-7-12 00:13
1)颅底骨及颌面骨多发性骨折。2)副鼻窦及双侧鼻腔积血。
作者: 深泽交通    时间: 2008-7-12 00:30
标题: 回复:ct14544:患者5楼坠下15分钟后ct扫描,2小时后死亡,请
以下是引用dyqct在2008-7-11 15:41:00的发言:[br]考虑:面骨、颅底骨多发骨折,颅内高压(脑肿胀)。

不除外轴索损伤
作者: tao772    时间: 2008-7-12 00:36
颅底骨折,窦腔内积血。考虑死亡原因为脑水肿压迫脑干或因大量失血死亡。
作者: zsl6918    时间: 2008-7-12 07:06
多发性颅骨骨折
作者: qc80012345    时间: 2008-7-12 19:37
颅底多发骨折。
作者: yangyudong333    时间: 2008-7-13 01:42
考虑:面骨、颅底骨多发骨折,颅内高压(脑肿胀)。
作者: 杀毒软件    时间: 2008-7-13 02:34
考虑:面骨、颅底骨多发骨折
作者: qingjing    时间: 2008-7-13 04:25
前颅窝颅底骨折,死的原因应该从头部来看不用说就是重度颅脑损伤。
作者: lyb999    时间: 2008-7-13 04:35
颅底、上颌骨,双侧颧骨多发骨折。死因或许与此无关,是否有腹部脏器损伤有关
作者: 拾荒者    时间: 2008-7-13 07:04
考虑:面骨、颅底骨多发骨折。从五楼摔下还伤着头了,不死才怪;估计有弥漫性轴索损伤。
作者: jinguoji    时间: 2008-7-15 05:44
标题: 回复:ct14544:患者5楼坠下15分钟后ct扫描,2小时后死亡,请
以下是引用dyqct在2008-7-11 15:41:00的发言:[br]考虑:面骨、颅底骨多发骨折,颅内高压(脑肿胀)。

作者: shijingcheng200    时间: 2008-7-21 04:47
骨折




欢迎光临 医影在线 (http://bbs.radida.com/bbs/) Powered by Discuz! X3.2