





























以下是引用子十在2008-7-11 21:12:00的发言:[br]考虑强脊
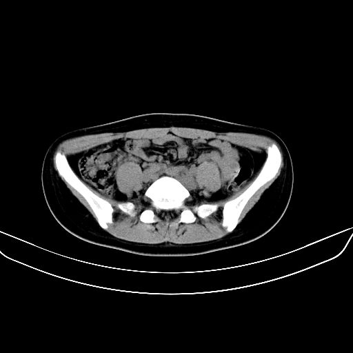
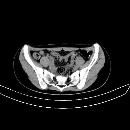
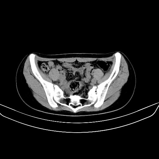
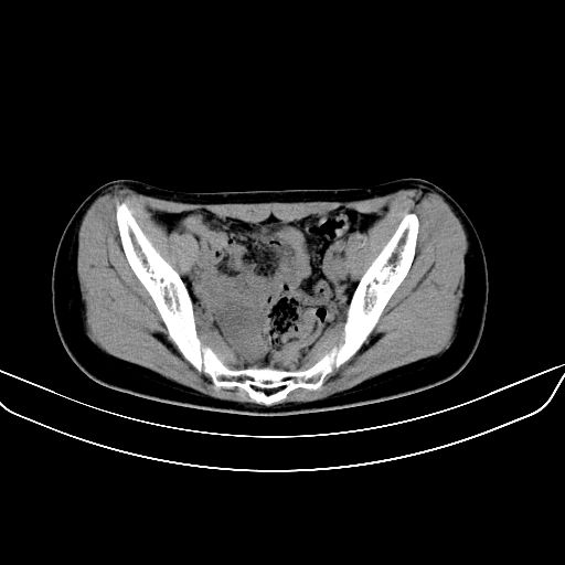
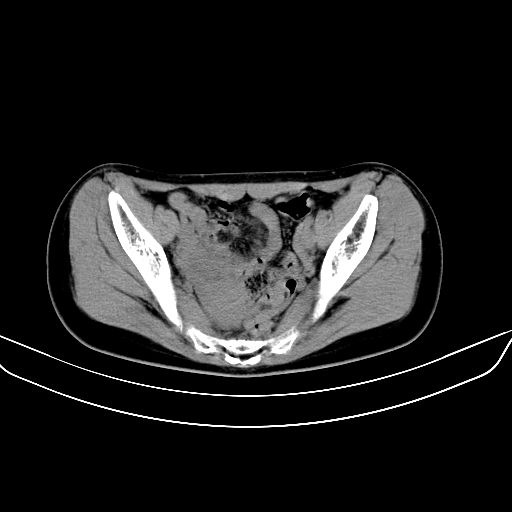
以下是引用zsl6918在2008-7-11 21:40:00的发言:[br]双侧骶髂关节骨质破坏以下三分之一为主,符合强直性脊柱炎表现
以下是引用zhangzhongshou在2008-7-11 21:41:00的发言:[br]患者是女性,hla-b27抗原(—),首先不太考虑强直性脊柱炎,建议查类风湿因子,骶髂关节改变考虑类风湿性关节炎可能性大,建议进一步检查。
| 欢迎光临 医影在线 (http://bbs.radida.com/bbs/) | Powered by Discuz! X3.2 |