医影在线

标题: CT14605:反复咳嗽咳痰2年,请会诊! [打印本页]

作者: 岚儿    时间: 2008-7-15 02:43
标题: CT14605:反复咳嗽咳痰2年,请会诊!
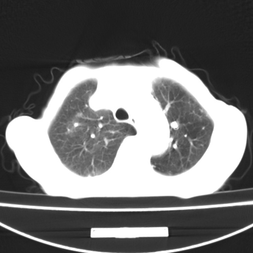
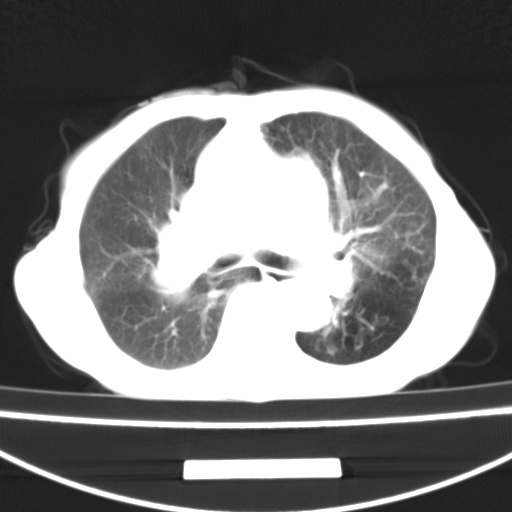
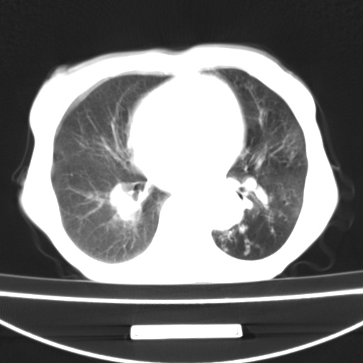
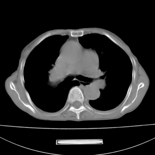
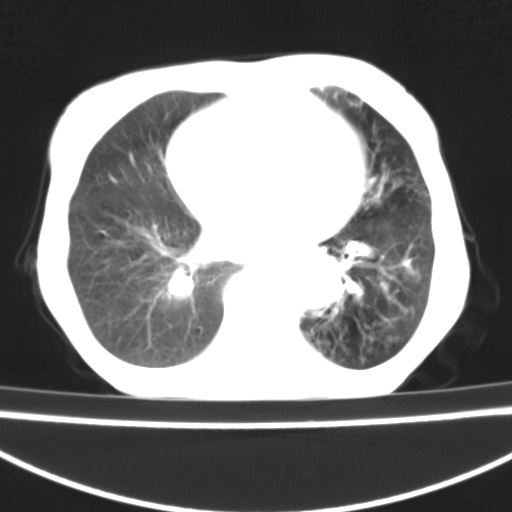
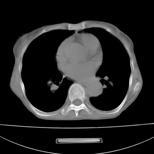
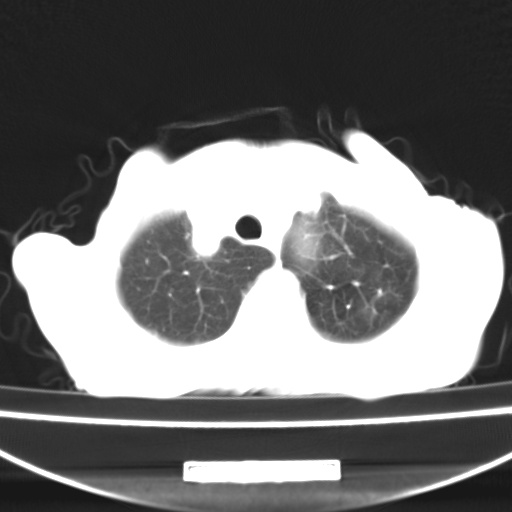
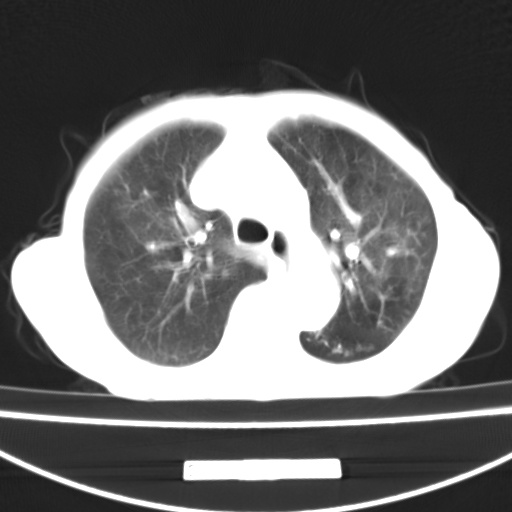
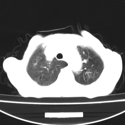
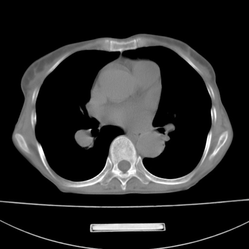
患者 女 67岁,反复咳嗽咳痰2年,加重伴喘及双下肢浮肿1月





























[本贴已被 jiajie 于 2008-7-14 19:32:57 修改过]

作者: xinliheng001    时间: 2008-7-15 03:04
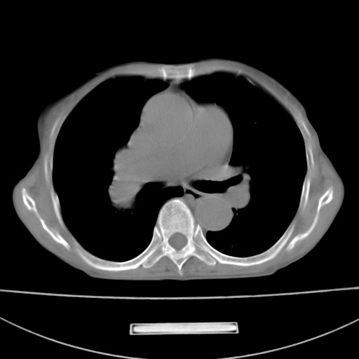
陈旧性肺结核、慢性支气管炎、支气管扩张症、肺心症、肺动脉高压。
作者: zhangyang66    时间: 2008-7-15 03:54
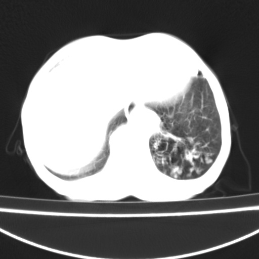
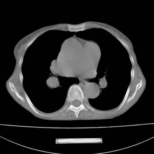
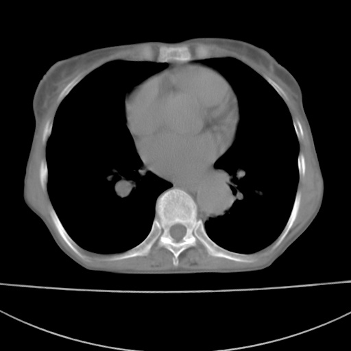
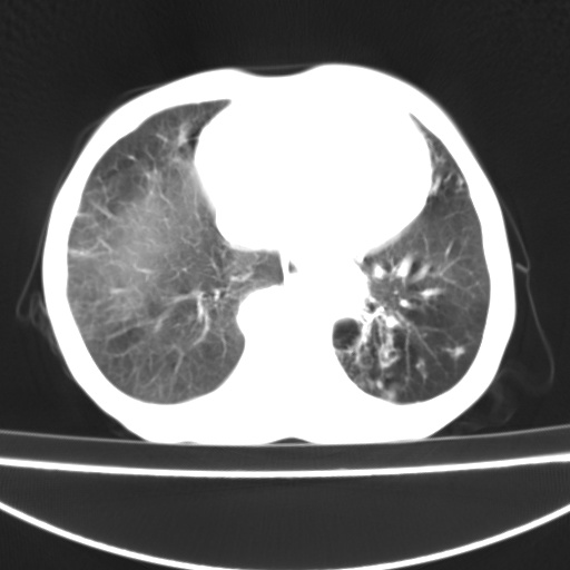
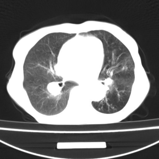
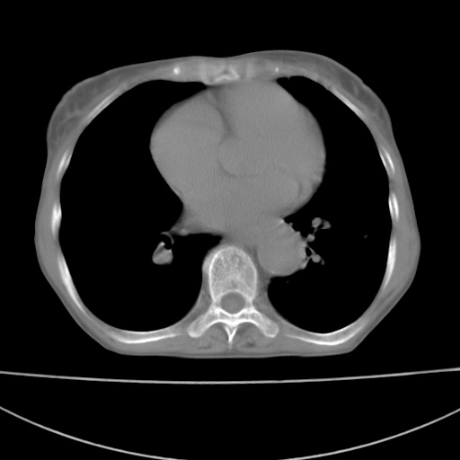
诸大血管及f肺门血管增粗迂曲.左下肺多发薄壁空腔影.部分非也透亮度增高.薄曾扫描可区分肺气肿类型.考虑1.慢性支气管炎 2.左下肺支气管扩张 3.肺气肿 4 肺动脉高压5.是否有先心病病史
作者: yangyudong333    时间: 2008-7-15 04:00
慢支并感染
作者: xulianj    时间: 2008-7-15 04:31
考虑1.慢性支气管炎 2.左下肺支气管扩张 3.肺气肿 4 肺动脉高压
作者: 同    时间: 2008-7-15 04:48
慢支伴感染,肺气肿.
作者: ydx_74    时间: 2008-7-15 04:55
慢支炎、肺气肿、双肺感染、左下囊状支扩。
作者: 358450m    时间: 2008-7-15 05:01
标题: 回复:ct14605:反复咳嗽咳痰2年,请会诊!
以下是引用xulianj在2008-7-14 20:31:00的发言:[br]考虑1.慢性支气管炎 2.左下肺支气管扩张 3.肺气肿 4 肺动脉高压

作者: 宇宙ct    时间: 2008-7-15 05:40
考虑1.慢性支气管炎 2.左下肺支气管扩张 3.肺气肿 4 肺动脉高压
作者: LLXXLL    时间: 2008-7-15 05:51
虑1.慢性支气管炎 2.左下肺支气管扩张 3.肺气肿 4 肺动脉高压
作者: zsl6918    时间: 2008-7-15 05:53
支扩,肺动脉高压
作者: 卜一    时间: 2008-7-15 06:57
考虑1.慢性支气管炎 2.左下肺支气管扩张 3.肺气肿 4 肺动脉高压

支持!
作者: dyqct    时间: 2008-7-15 14:57
标题: 回复:ct14605:反复咳嗽咳痰2年,请会诊!
以下是引用宇宙ct在2008-7-14 21:40:00的发言:[br]考虑1.慢性支气管炎 2.左下肺支气管扩张 3.肺气肿 4 肺动脉高压 [br][br]

支持!
作者: 拾荒者    时间: 2008-7-16 04:14
慢支、肺气肿、肺动脉高压;左下肺囊状支扩并粘液栓形成。
作者: jinguoji    时间: 2008-7-22 08:38
支持考虑1.慢性支气管炎 2.左下肺支气管扩张 3.肺气肿 4 肺动脉高压.




欢迎光临 医影在线 (http://bbs.radida.com/bbs/) Powered by Discuz! X3.2