



















以下是引用深泽交通医院在2008-7-15 10:37:00的发言:[br]支持楼主
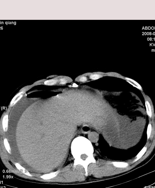
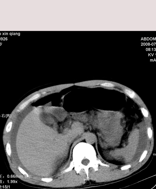
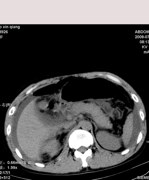
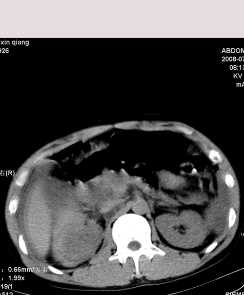
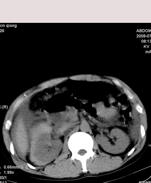
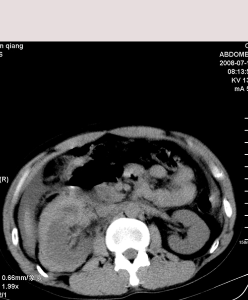
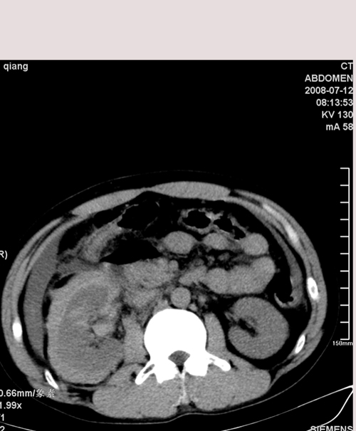
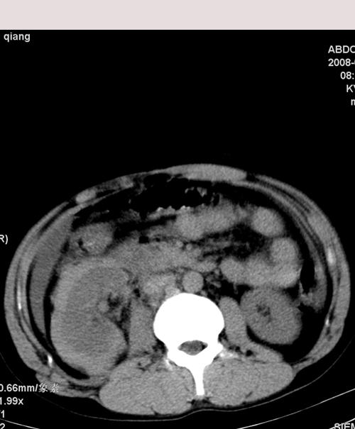
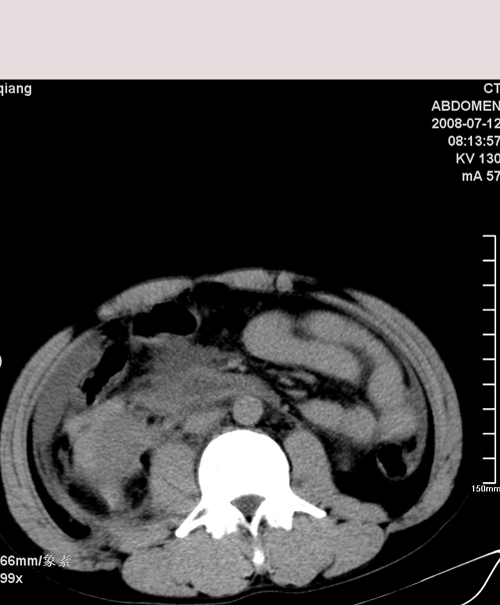
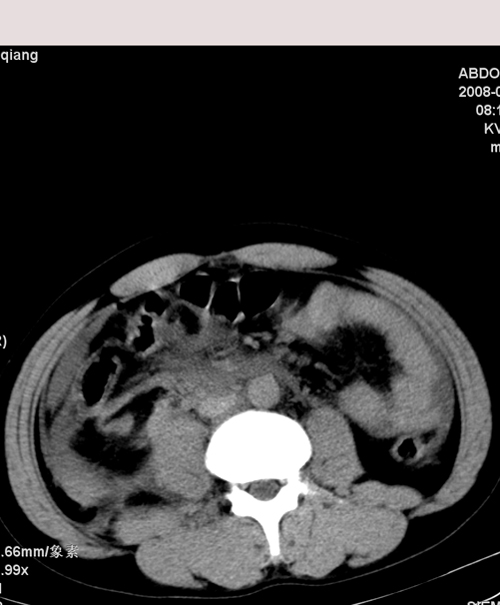
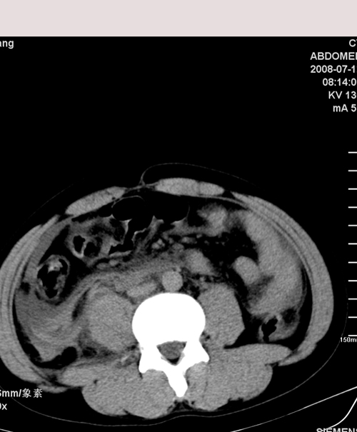
以下是引用随光逐影在2008-7-15 11:18:00的发言:[br]考虑为:1)腹部空腔脏器穿孔。2)右肾破裂并肾包膜下血肿,肾盂积血。3)腹水(血)。
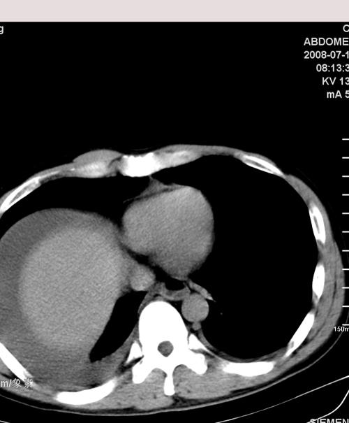
以下是引用muzi888在2008-7-15 10:45:00的发言:[br]大量腹腔积液,气腹,肾皮质弧形高密度影,诊断;1 空腔脏器穿孔 2 右肾包膜下血肿
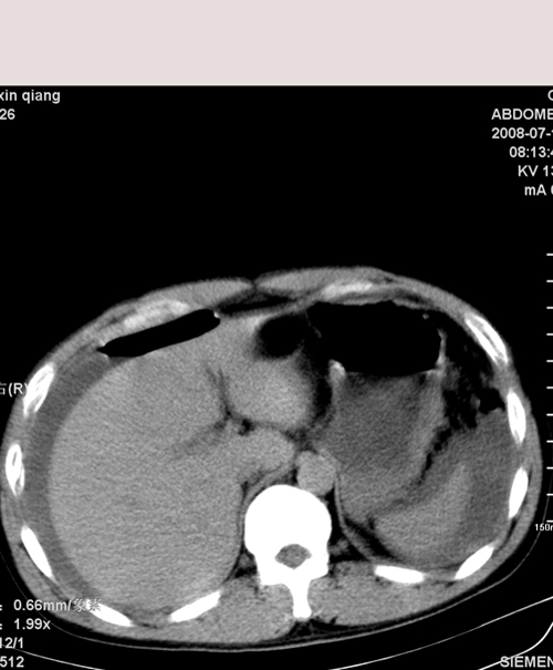
以下是引用随光逐影在2008-7-15 11:18:00的发言:[br]考虑为:1)腹部空腔脏器穿孔。2)右肾破裂并肾包膜下血肿,肾盂积血。3)腹水(血)。
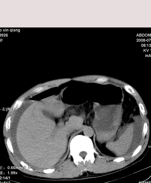
以下是引用yangyudong333在2008-7-15 12:06:00的发言:[br]考虑为:1)腹部空腔脏器穿孔。2)右肾破裂并肾包膜下血肿,肾盂积血。3)腹水(血)。
以下是引用随光逐影在2008-7-15 11:18:00的发言:[br]考虑为:1)腹部空腔脏器穿孔。2)右肾破裂并肾包膜下血肿,肾盂积血。3)腹水(血)。
| 欢迎光临 医影在线 (http://bbs.radida.com/bbs/) | Powered by Discuz! X3.2 |