




























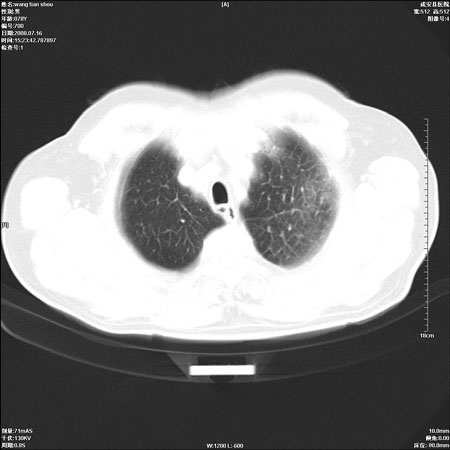
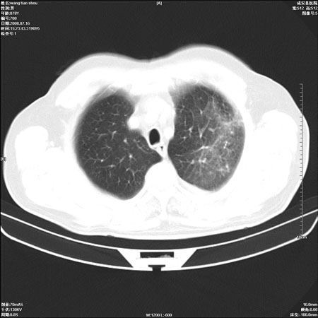
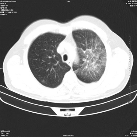
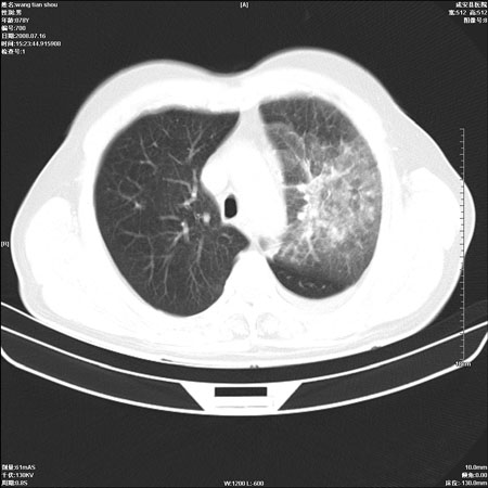
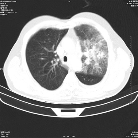
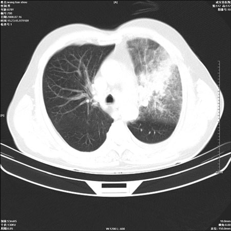
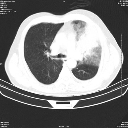
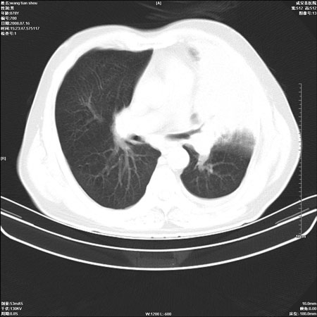
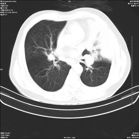
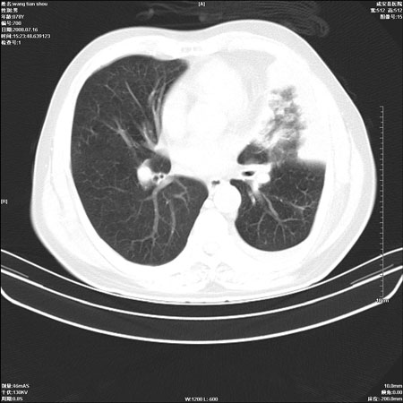
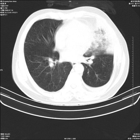
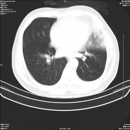
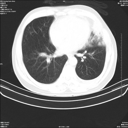
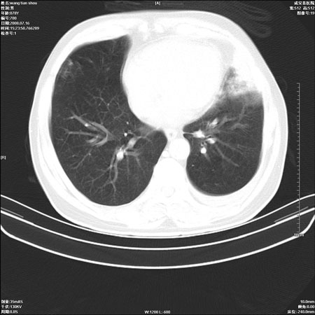
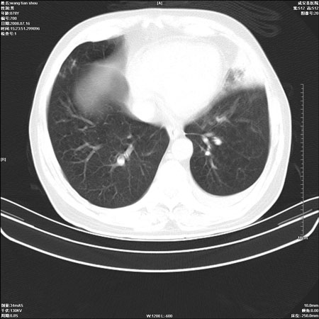
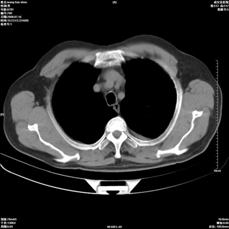
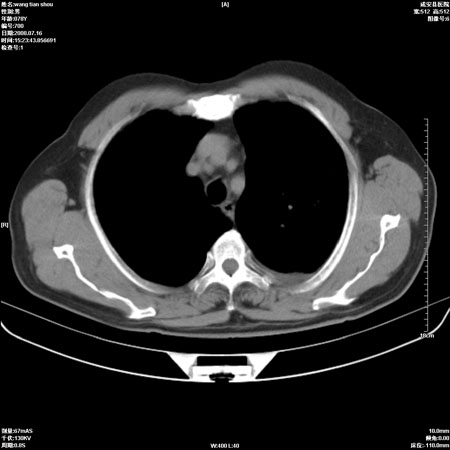
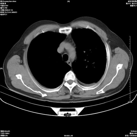
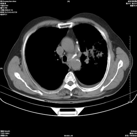
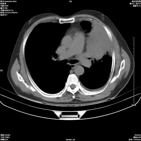
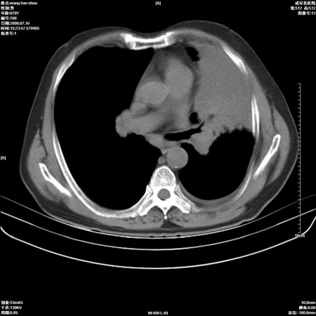
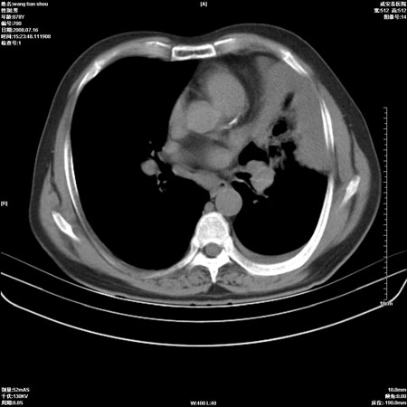
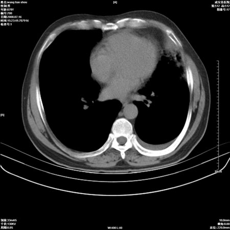
以下是引用qingjing在2008-7-16 19:55:00的发言:[br]1、左上肺不张并堵塞性炎症,建议支气管镜详查;[br]2、左侧胸腔少量积液。
以下是引用zsl6918在2008-7-17 8:09:00的发言:[br]肺炎胸膜炎可能性大,建议抗炎治疗后复查
以下是引用wzr在2008-7-16 20:26:00的发言:[br]左肺肺不张伴阻塞性肺炎!另:左侧胸腔少量积液。建议纤支镜检查!
| 欢迎光临 医影在线 (http://bbs.radida.com/bbs/) | Powered by Discuz! X3.2 |