




































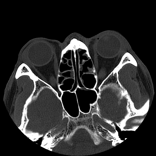
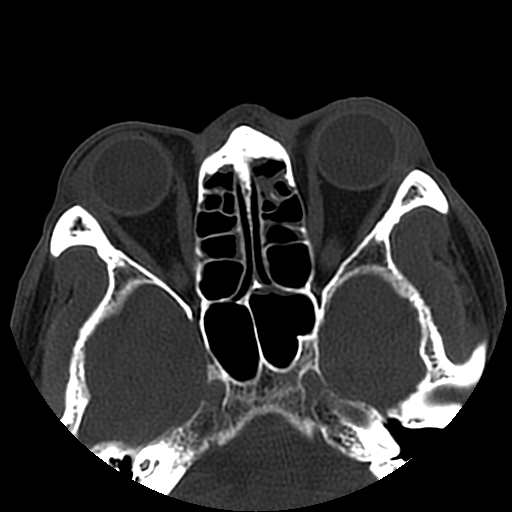
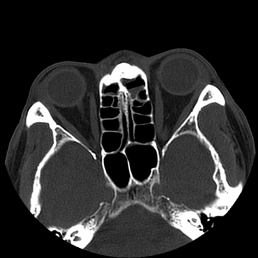
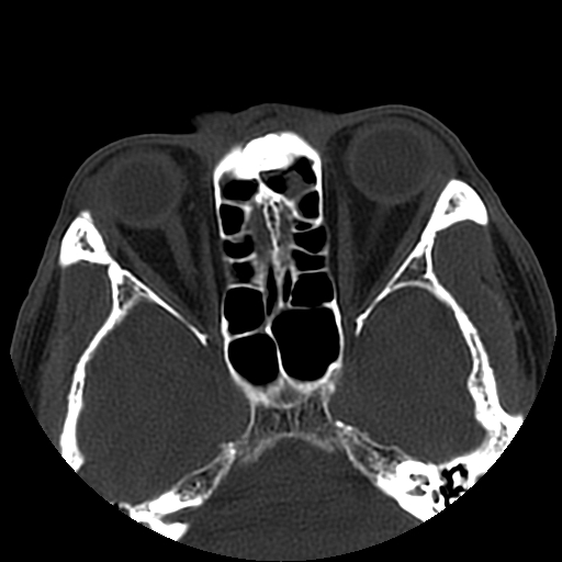
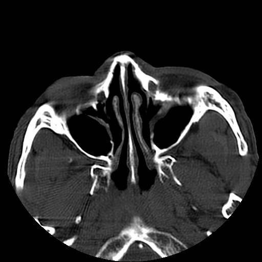
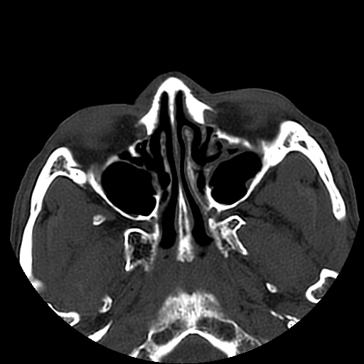
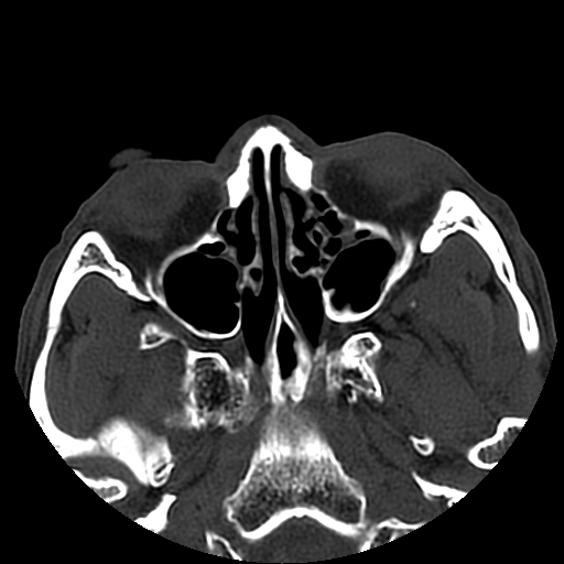
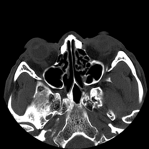
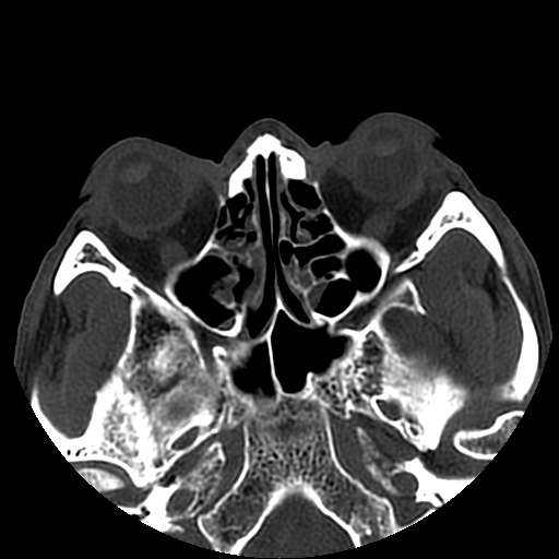
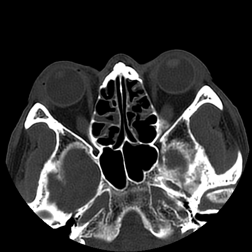
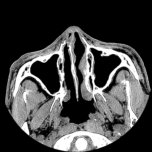
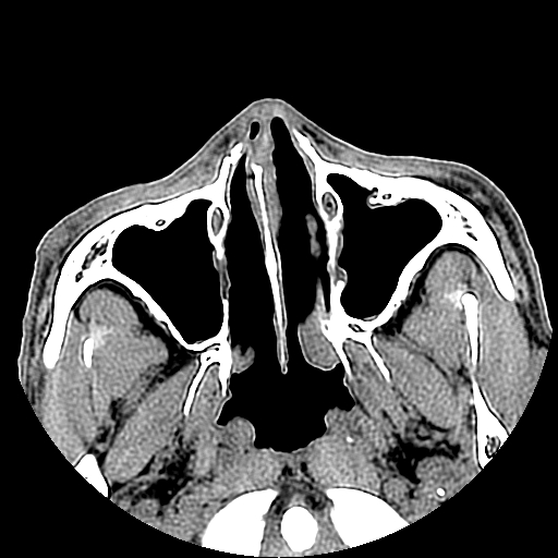
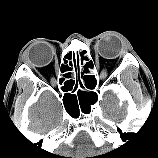
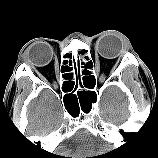
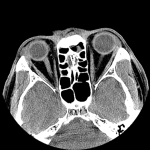
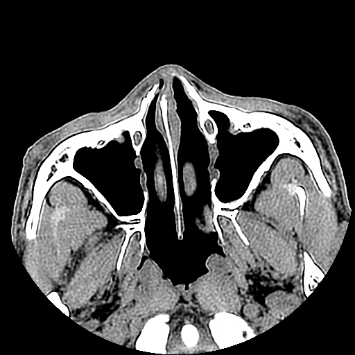
以下是引用liaoqiang在2008-7-16 21:15:00的发言:[br]右侧鼻骨骨折
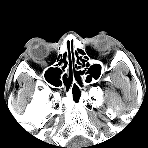
以下是引用zxd95在2008-7-16 21:39:00的发言:[br]右侧上颌骨额突骨折。[br][br][br][br]
[本贴已被 zxd95 于 2008-7-16 21:51:19 修改过]
以下是引用zxd95在2008-7-16 21:39:00的发言:[br]右侧上颌骨额突骨折。[br][br][br][br]
[本贴已被 zxd95 于 2008-7-16 21:51:19 修改过]
| 欢迎光临 医影在线 (http://bbs.radida.com/bbs/) | Powered by Discuz! X3.2 |