医影在线

标题: CT14653:M18Y,腰腿痛一年 [打印本页]

作者: 影像孺子牛    时间: 2008-7-17 04:55
标题: CT14653:M18Y,腰腿痛一年
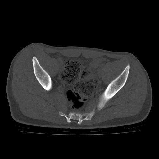
患者男性,18岁 腰腿痛1年  骶髂关节改变本人考虑强直性脊柱炎。

















[本贴已被 jiajie 于 2008-7-16 22:53:39 修改过]

作者: 同    时间: 2008-7-17 05:12
强直性脊柱炎,支持楼主.
作者: 731208    时间: 2008-7-17 05:20
符合强直性脊柱炎骶髂关节改变
作者: 随光逐影    时间: 2008-7-17 05:27
支持楼主意见。
作者: zzzzhhhhaaaannn    时间: 2008-7-17 05:40
标题: 回复:腰腿痛一年

作者: ydx_74    时间: 2008-7-17 05:41
iv期了。晚期了
作者: 晓杰    时间: 2008-7-17 05:43
两侧骶髂关节骨质破坏,关节面毛糙,符合强直性脊柱炎骶髂关节改变。
作者: 影像迷    时间: 2008-7-17 06:15
符合强直性脊柱炎,虫蚀样骨质破坏。
作者: 摘星空竹子    时间: 2008-7-17 06:28
支持楼主意见。
作者: wxq2008    时间: 2008-7-17 06:29
两侧骶髂关节骨质破坏,关节面呈锯齿样改变关节间隙变窄,考虑强真性脊柱炎
作者: jsgdoctor    时间: 2008-7-17 06:39
符合强直性脊柱炎骶髂关节改变
作者: 影象小泰斗    时间: 2008-7-17 06:54
双侧骶髂关节关节间隙变窄,边缘毛糙,关节面硬化,可见囊变!符合强直变现!
作者: 胖姐    时间: 2008-7-17 07:07
两侧骶髂关节骨质破坏,关节面呈锯齿样改变关节间隙变窄,考虑强真性脊柱炎
作者: 宇宙ct    时间: 2008-7-17 07:25
符合强直性脊柱炎,虫蚀样骨质破坏
作者: guanaishengming    时间: 2008-7-17 07:49
支持楼主
作者: 卜一    时间: 2008-7-17 14:00
强直性脊柱炎,支持楼主!
作者: zsl6918    时间: 2008-7-17 16:03
典型强脊表现
作者: 杀毒软件    时间: 2008-7-17 16:23
支持楼主意见
作者: dyqct    时间: 2008-7-17 16:27
标题: 回复:ct14653:m18y,腰腿痛一年
以下是引用wxq2008在2008-7-16 22:29:00的发言:[br]两侧骶髂关节骨质破坏,关节面呈锯齿样改变关节间隙变窄,考虑强真性脊柱炎

典型!
作者: qiuleiyu    时间: 2008-7-17 17:59
支持;楼主诊断!建议实验室进一步检查。
作者: chunjun_lin    时间: 2008-7-17 18:11
强直性脊柱炎
作者: 文莱    时间: 2008-7-17 18:44
两侧骶髂关节骨质破坏,关节面呈锯齿样改变关节间隙变窄,考虑强真性脊柱炎
作者: huqi8888    时间: 2008-7-17 19:03
支持楼主意见。
作者: yangyudong333    时间: 2008-7-17 20:12
支持楼主意见。
作者: 358450m    时间: 2008-7-17 21:34
标题: 回复:ct14653:m18y,腰腿痛一年
以下是引用文莱在2008-7-17 10:44:00的发言:[br]两侧骶髂关节骨质破坏,关节面呈锯齿样改变关节间隙变窄,考虑强真性脊柱炎

作者: xulianj    时间: 2008-7-18 04:49
强直性脊柱炎
作者: 拾荒者    时间: 2008-7-18 06:59
两侧骶髂关节骨质破坏,关节面呈锯齿样改变关节间隙变窄,考虑强真性脊柱炎。
支持!
作者: YRJ0513    时间: 2008-7-18 09:11
两侧骶髂关节骨质破坏以髂骨为主,间隙变窄,强直性脊柱炎
作者: zjb    时间: 2008-7-18 14:58
两侧骶髂关节骨质破坏,关节面呈锯齿样改变关节间隙变窄,考虑强真性脊柱炎
作者: 光影相伴    时间: 2008-7-18 15:58
支持!
作者: jinguoji    时间: 2008-7-22 06:36
支持楼主。




欢迎光临 医影在线 (http://bbs.radida.com/bbs/) Powered by Discuz! X3.2