医影在线

标题: CT14654:男 50岁 近来胸痛 [打印本页]

作者: zjb    时间: 2008-7-17 05:51
标题: CT14654:男 50岁 近来胸痛











































[本贴已被 jiajie 于 2008-7-16 23:02:28 修改过]

作者: zzzzhhhhaaaannn    时间: 2008-7-17 05:55
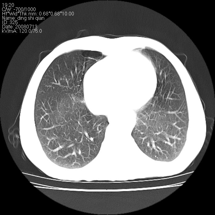
周围性肺ca
作者: 晓杰    时间: 2008-7-17 06:00
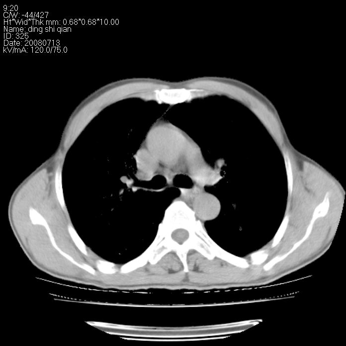
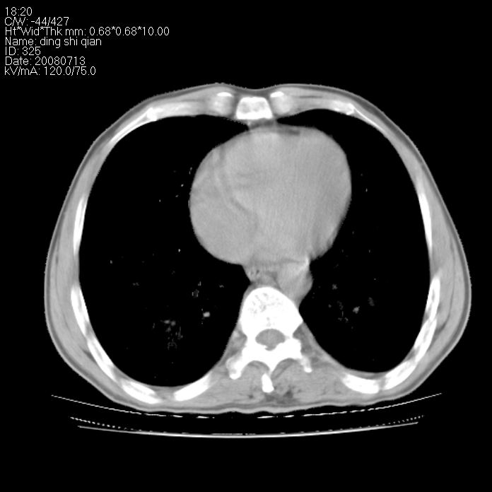
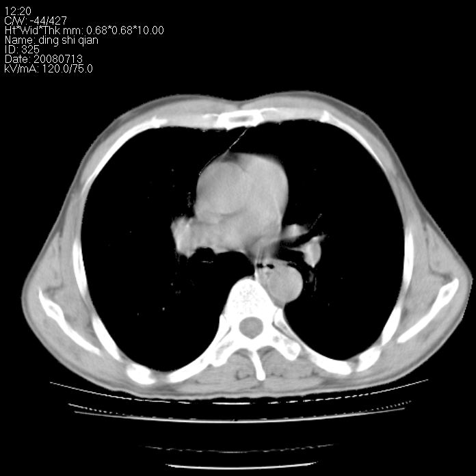
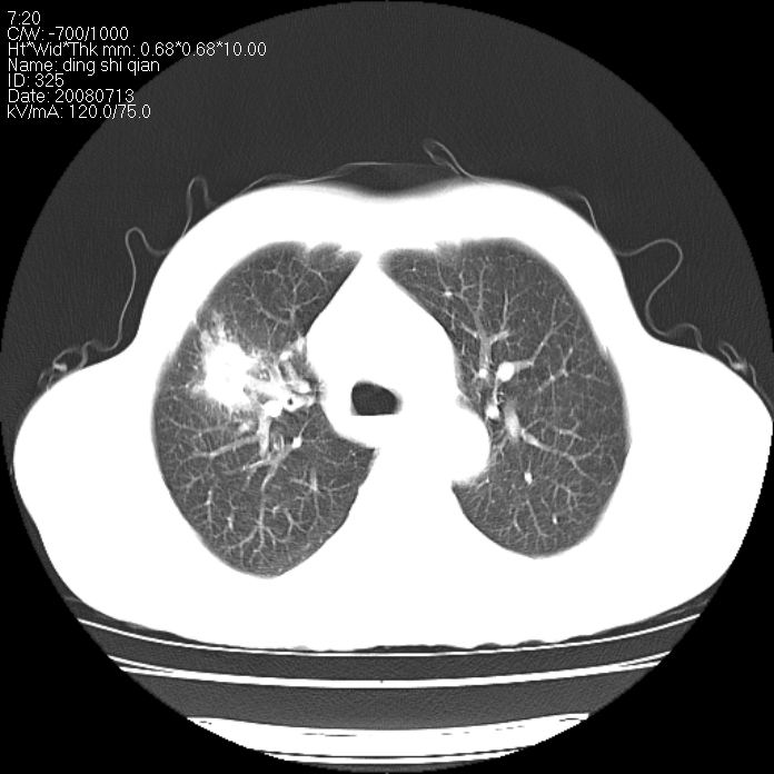
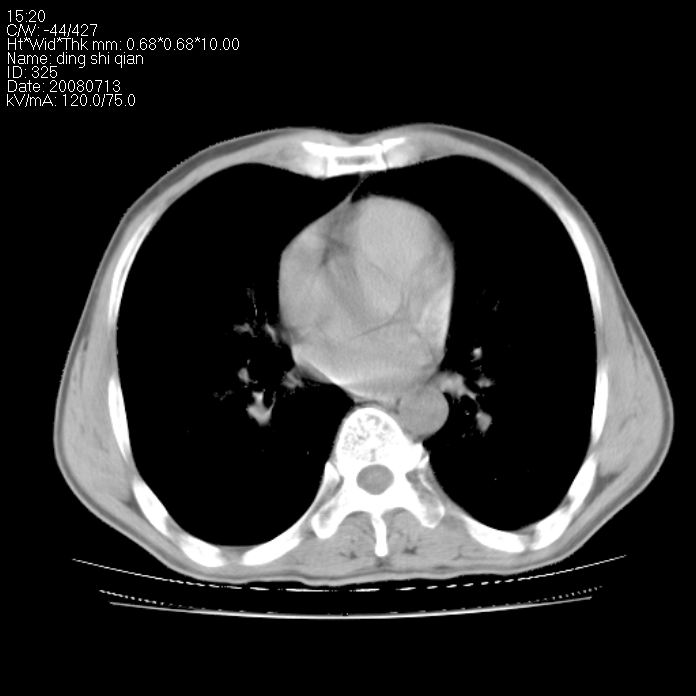
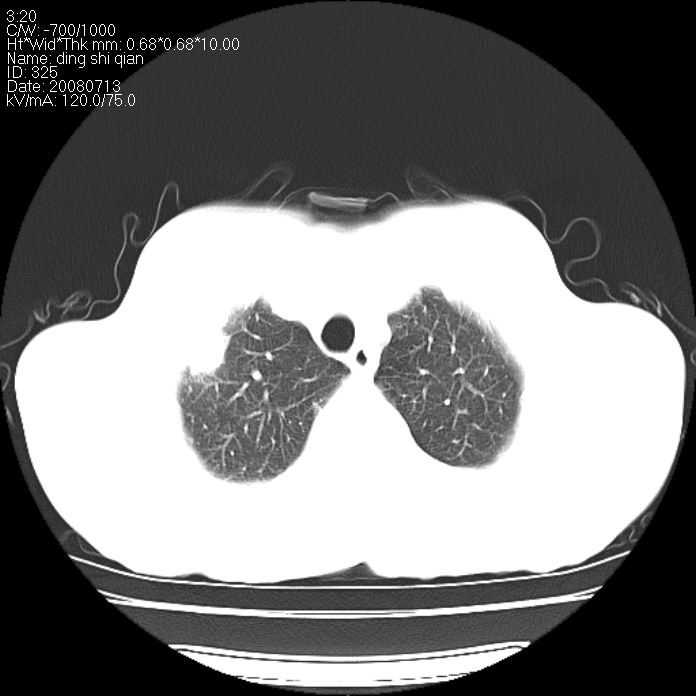
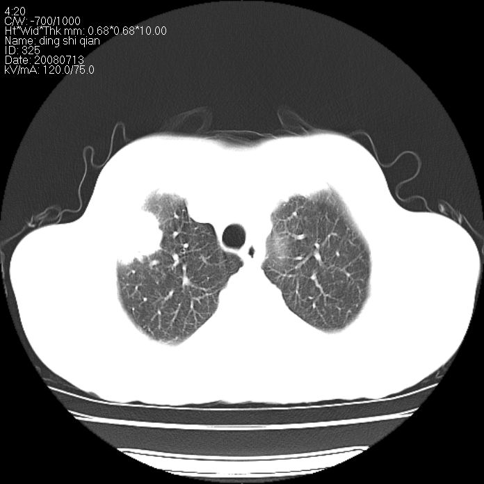
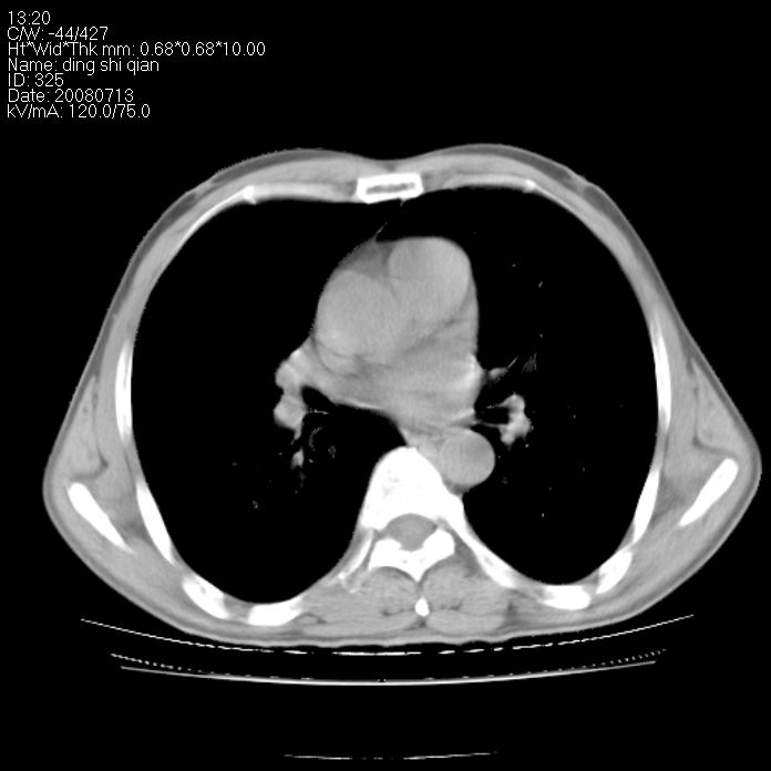
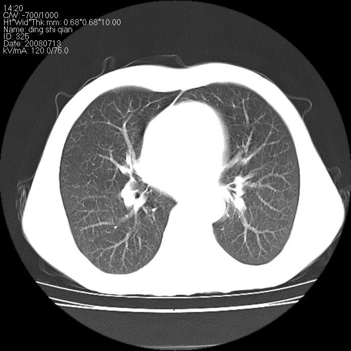
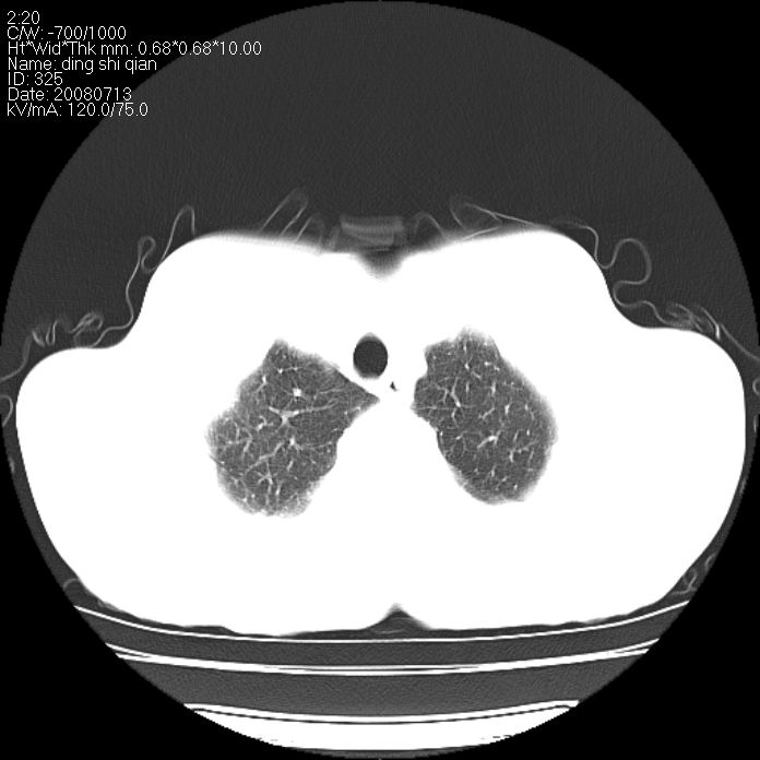
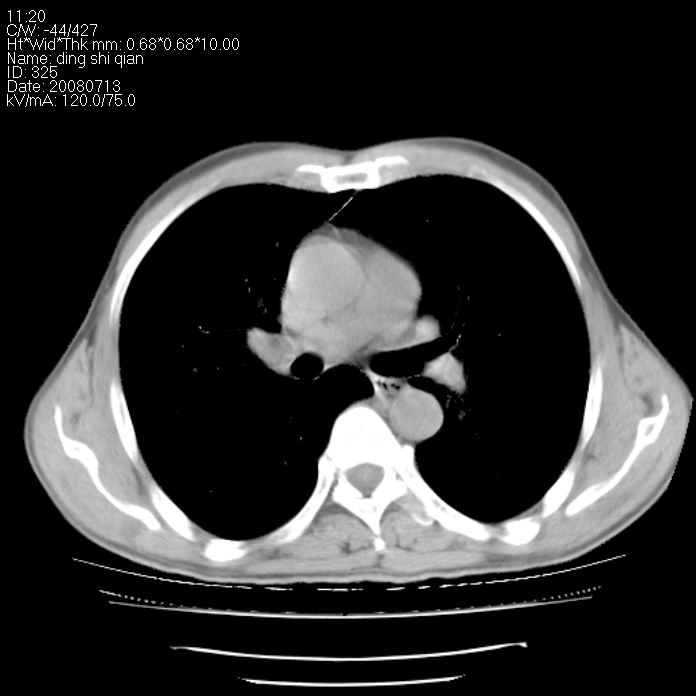
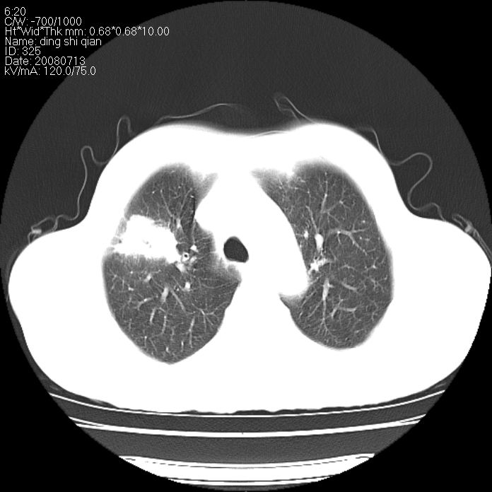
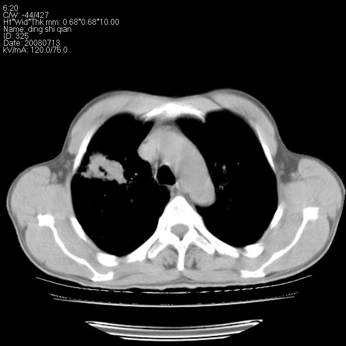
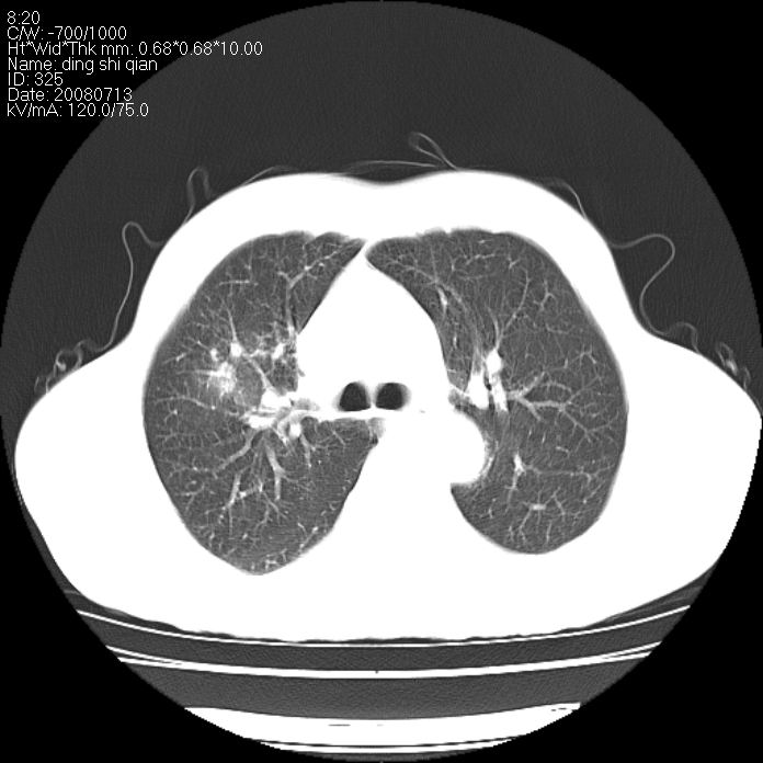
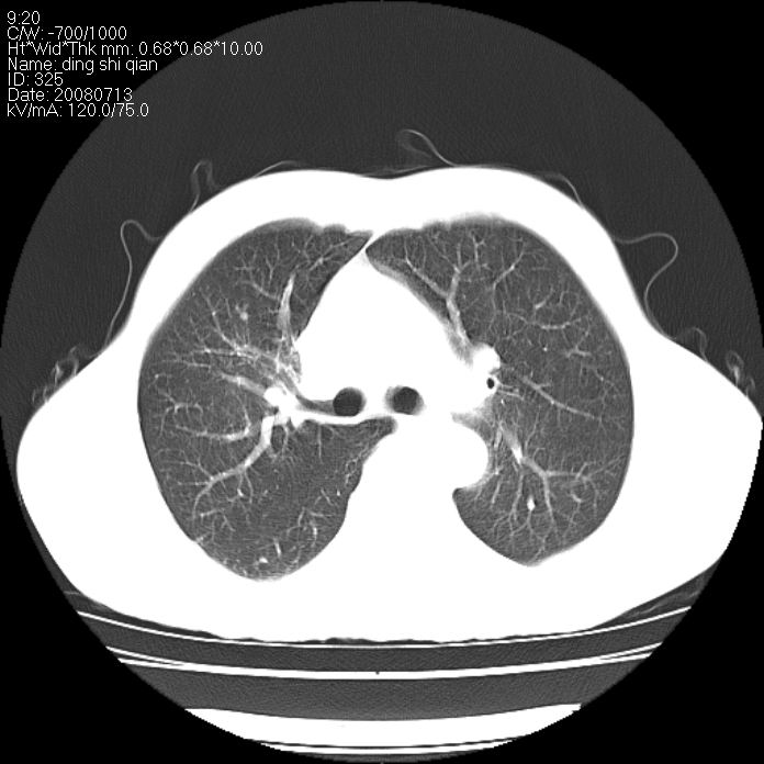
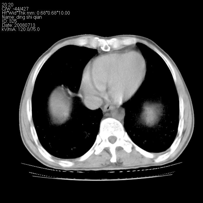
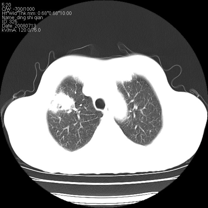
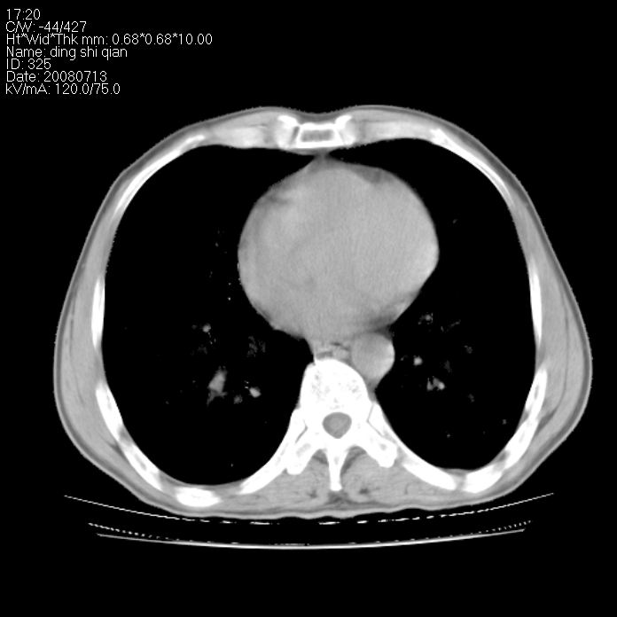
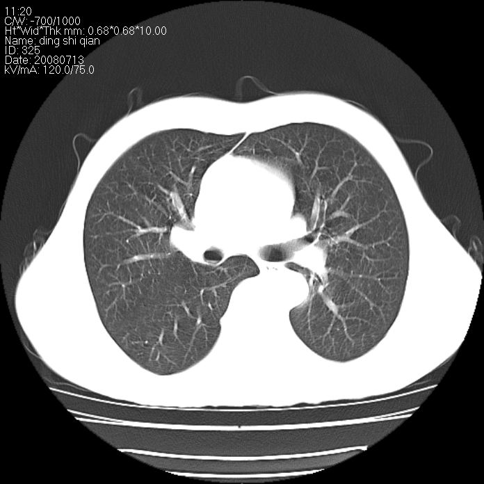
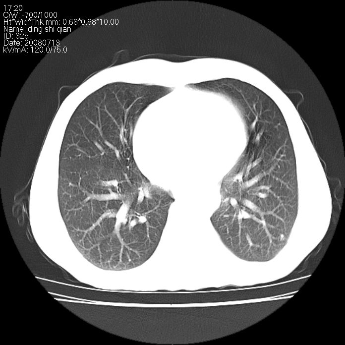
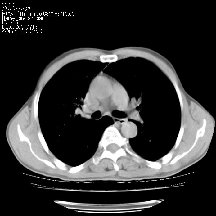
右侧上肺块状软组织影,浅分叶,边缘毛刺证,与胸膜粘连,考虑:周围性肺癌
作者: ydx_74    时间: 2008-7-17 06:01
非常残酷:肺癌!
作者: 随光逐影    时间: 2008-7-17 06:03
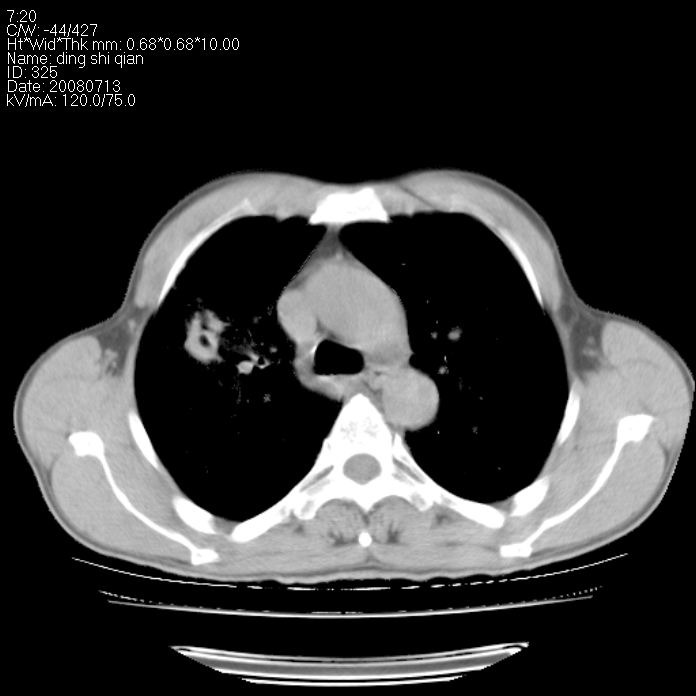
右肺上叶周围型肺癌可能性大。
作者: 军哥聊靓    时间: 2008-7-17 06:08
右上肺ca
作者: 影像孺子牛    时间: 2008-7-17 06:49
周围型肺癌。
作者: jsgdoctor    时间: 2008-7-17 06:55
右侧上肺块状软组织影,浅分叶,边缘毛刺证,与胸膜粘连,考虑:周围性肺癌
作者: 宇宙ct    时间: 2008-7-17 07:34
右肺上叶周围型肺癌可能性大。
作者: guanaishengming    时间: 2008-7-17 07:48
肺癌
作者: aosangwa    时间: 2008-7-17 12:27
支持大家的意见
作者: 卜一    时间: 2008-7-17 13:59
右侧上肺块状软组织影,浅分叶,边缘毛刺证,与胸膜粘连,考虑:周围性肺癌!支持!
作者: qingjing    时间: 2008-7-17 15:29
典型右肺周围型肺癌
作者: zsl6918    时间: 2008-7-17 15:51
首先考虑周围性肺癌,建议强化或穿刺明确
作者: 杀毒软件    时间: 2008-7-17 16:22
右肺上叶周围型肺癌可能性大
作者: dyqct    时间: 2008-7-17 16:30
标题: 回复:ct14654:男 50岁 近来胸痛
以下是引用晓杰在2008-7-16 22:00:00的发言:[br]右侧上肺块状软组织影,浅分叶,边缘毛刺证,与胸膜粘连,考虑:周围性肺癌

支持!
作者: 白莲    时间: 2008-7-17 17:12
周围性肺癌
作者: chunjun_lin    时间: 2008-7-17 18:09
支持大家意见:肺癌
作者: 沙漠骆驼    时间: 2008-7-17 18:28
考虑: 右肺上叶周围型肺癌可能性大.
作者: 文莱    时间: 2008-7-17 18:49
周围性肺癌
作者: huqi8888    时间: 2008-7-17 19:22
肺癌
作者: yangyudong333    时间: 2008-7-17 20:05
右肺上叶周围型肺癌可能性大。
作者: 358450m    时间: 2008-7-17 21:38
标题: 回复:ct14654:男 50岁 近来胸痛
以下是引用晓杰在2008-7-16 22:00:00的发言:[br]右侧上肺块状软组织影,浅分叶,边缘毛刺证,与胸膜粘连,考虑:周围性肺癌

作者: xulianj    时间: 2008-7-18 04:51
考虑:周围性肺癌
作者: 拾荒者    时间: 2008-7-18 07:02
右肺上叶周围型肺癌。
作者: jinguoji    时间: 2008-7-22 06:34
右肺上叶周围型肺癌可能性大。




欢迎光临 医影在线 (http://bbs.radida.com/bbs/) Powered by Discuz! X3.2