









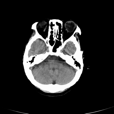
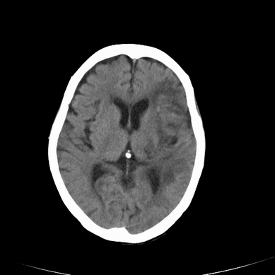
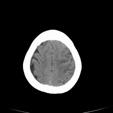
以下是引用jsgdoctor在2008-7-16 23:11:00的发言:[br]左侧大脑中动脉供血区脑梗塞
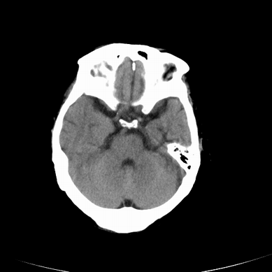
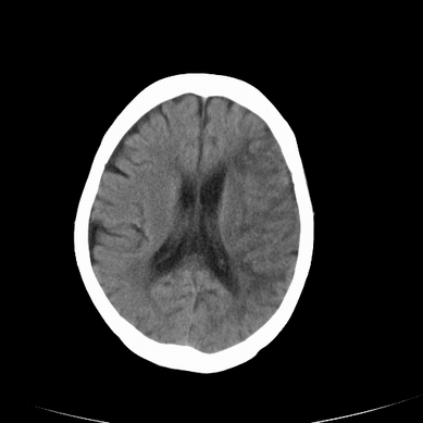
以下是引用jsgdoctor在2008-7-16 23:11:00的发言:[br]左侧大脑中动脉供血区脑梗塞
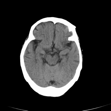
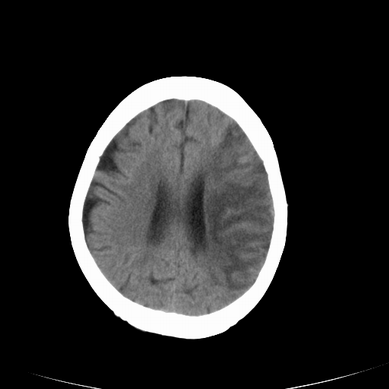
以下是引用jsgdoctor在2008-7-16 23:11:00的发言:[br]左侧大脑中动脉供血区脑梗塞
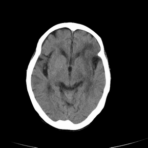
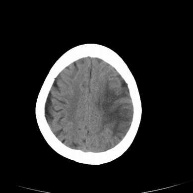
以下是引用jsgdoctor在2008-7-16 23:11:00的发言:[br]左侧大脑中动脉供血区脑梗塞
| 欢迎光临 医影在线 (http://bbs.radida.com/bbs/) | Powered by Discuz! X3.2 |