医影在线

标题: X4564:右位心可能吗 [打印本页]

作者: 孤家寡人    时间: 2008-7-17 17:57
标题: X4564:右位心可能吗
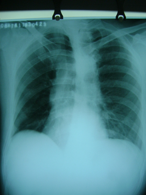
m47y外伤发现



脊柱侧玩畸形,同事怀疑,本人不支持

[本贴已被 jiajie 于 2008-7-17 13:10:03 修改过]

作者: fgp198    时间: 2008-7-17 18:08
看起不像哦,脊柱侧弯畸形重叠引起,主动脉弓影在左侧。
作者: taky    时间: 2008-7-17 18:44
位置问题
作者: dyqct    时间: 2008-7-17 18:54
可以透视一下不就解决了,不要忘记最传统的方法。
作者: qsbaomingcheng    时间: 2008-7-17 19:30
不支持右位心,结合透视可以明确
作者: 358450m    时间: 2008-7-17 20:04
标题: 回复:右位心可能吗
以下是引用taky在2008-7-17 10:44:00的发言:[br]位置问题

作者: yangyudong333    时间: 2008-7-17 20:24
位置问题
作者: zy_zj    时间: 2008-7-17 20:34
看起不像哦,脊柱侧弯畸形重叠引起,主动脉弓影在左侧。  结合透视可以明确
作者: 黑白光影    时间: 2008-7-17 22:01
标题: 回复:x4564:右位心可能吗
胸片类似斜位,心影右旋,应该可否定右位心吧。

作者: jian-5587    时间: 2008-7-17 22:51
透视 一下就 解决了
作者: 杀毒软件    时间: 2008-7-18 00:31
位置不正
作者: 宇宙ct    时间: 2008-7-18 01:36
不支持右位心,结合透视可以明确
作者: lishibao    时间: 2008-7-18 01:42
不像,位置旋转了。
作者: weiyuefang    时间: 2008-7-18 02:01
不是右位心
作者: zzhcd    时间: 2008-7-18 02:07
位置的问题
作者: jdbcj    时间: 2008-7-18 02:08
嘿嘿,15度左前斜位吧
作者: real520    时间: 2008-7-18 02:16
位置问题
作者: 晨星剑    时间: 2008-7-18 02:16
标题: 回复:x4564:右位心可能吗
以下是引用fgp198在2008-7-17 10:08:00的发言:[br]看起不像哦,脊柱侧弯畸形重叠引起,主动脉弓影在左侧。

作者: luoxinjun    时间: 2008-7-18 03:15
位置的问题
作者: ZHANGZHONGSHOU    时间: 2008-7-18 04:11
轻度左前斜位造成的假象。
作者: yangwq    时间: 2008-7-18 04:12
不是  位置不正
作者: jiangldong1976    时间: 2008-7-18 04:20
不可能为右位心,脊柱侧弯,胸廓畸形所致.
作者: ydx_74    时间: 2008-7-18 05:12
体位关系
作者: ml2007    时间: 2008-7-18 06:22
体位不正
作者: PANPAN    时间: 2008-7-18 07:15
标题: 回复:x4564:右位心可能吗
以下是引用fgp198在2008-7-17 10:08:00的发言:[br]看起不像哦,脊柱侧弯畸形重叠引起,主动脉弓影在左侧。

作者: lja2008    时间: 2008-7-18 08:19
不支持右位心,位置问题。
作者: qc80012345    时间: 2008-7-18 09:35
不知道是多重的病人,片子拍得这个样子,不好很不好。
作者: wangjj555    时间: 2008-7-18 16:40
投照体位的问题
作者: 石门之剑    时间: 2008-7-18 18:07
透视能解决问题,经济而且准确性较高。
作者: wy232326    时间: 2008-7-18 22:31
位置问题
作者: 彭    时间: 2008-7-19 00:01
胸廓不对称,脊柱侧弯,导致心脏位置改变,请注意主动脉结,心尖位置,肯定不是右位心.
作者: hexue    时间: 2008-7-19 07:26
不支持右位心
作者: jinguoji    时间: 2008-7-19 17:19
位置不正,结合透视可以明确。
作者: shibing    时间: 2014-2-25 08:07
位置问题




欢迎光临 医影在线 (http://bbs.radida.com/bbs/) Powered by Discuz! X3.2