












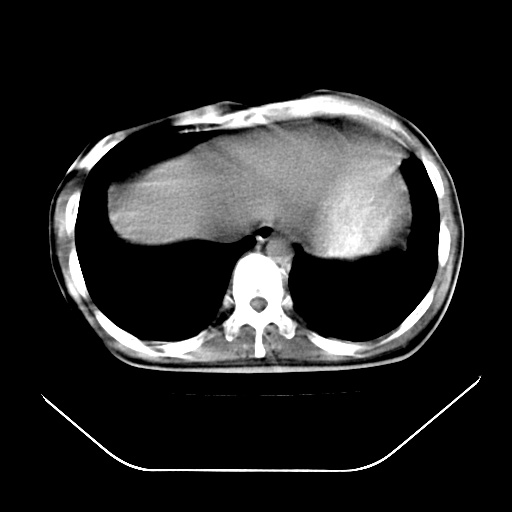
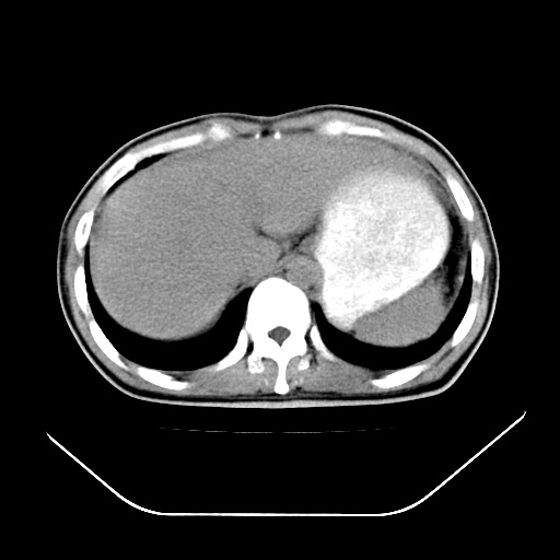
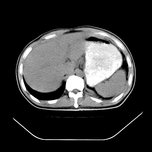
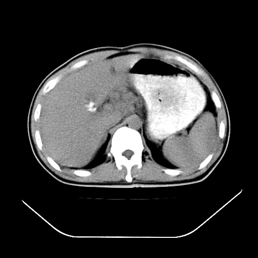
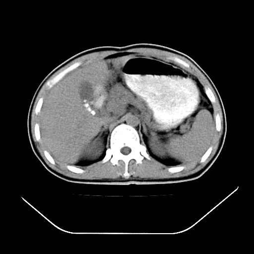
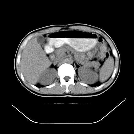
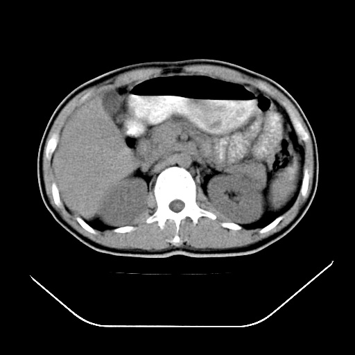
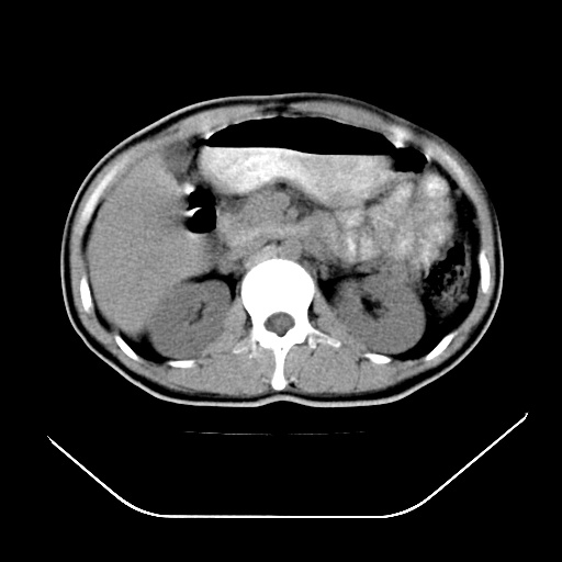
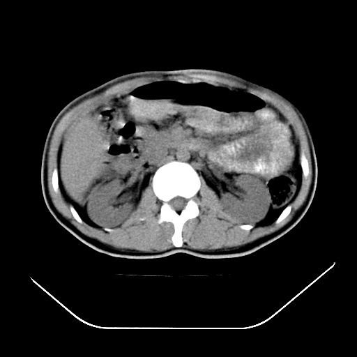
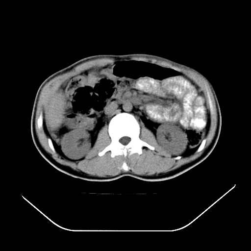
以下是引用深泽交通医院在2008-7-17 12:05:00的发言:[br]肝门淋巴结肿大;胆结石
以下是引用深泽交通医院在2008-7-17 12:05:00的发言:[br]肝门淋巴结肿大;胆结石
以下是引用文莱在2008-7-17 16:32:00的发言:[br]胆囊结石 余未见异常
以下是引用随光逐影在2008-7-17 17:52:00的发言:[br]1)胆囊结石。2)肝门及胰头区淋巴结肿大可能(原因不明);建议行进一步检查。
以下是引用卜一在2008-7-17 16:37:00的发言:[br]支持胆囊结石!!!至于胰头区病变——建议强化后再定论!
| 欢迎光临 医影在线 (http://bbs.radida.com/bbs/) | Powered by Discuz! X3.2 |