























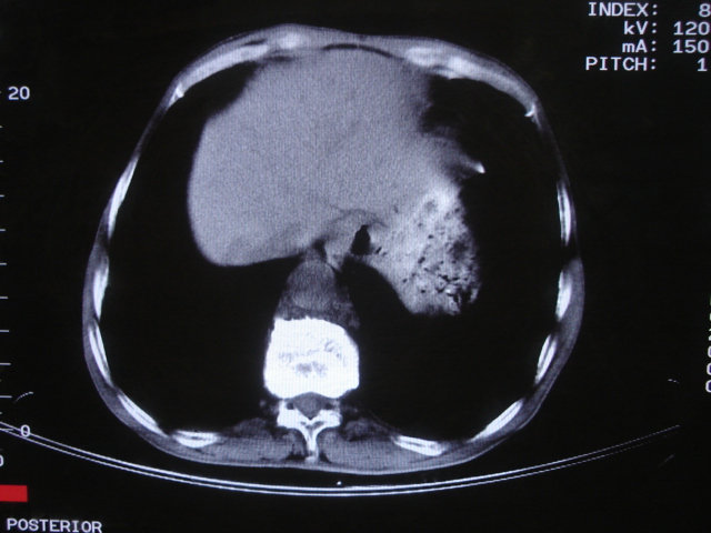
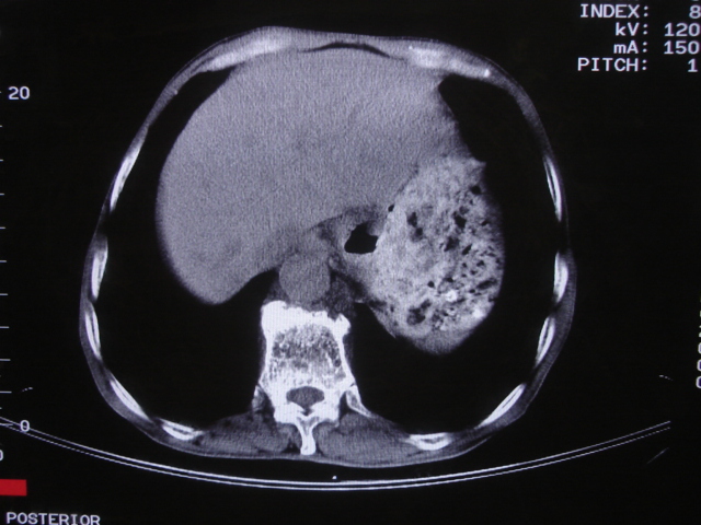
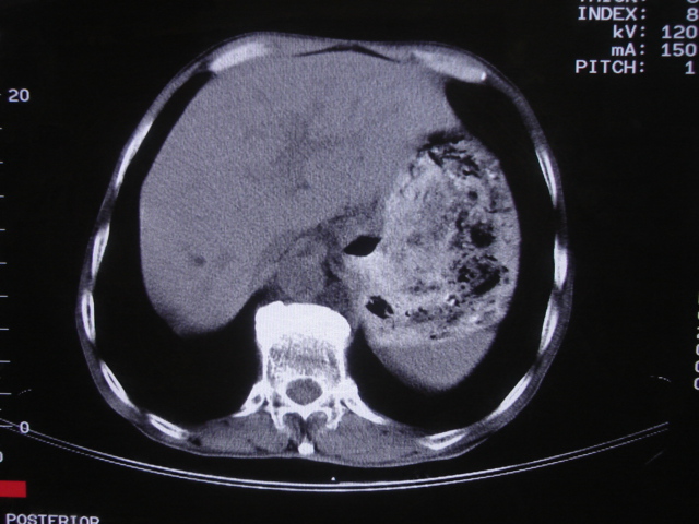
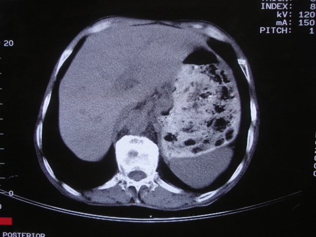
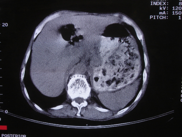
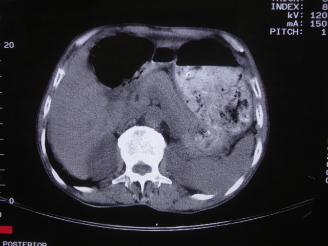
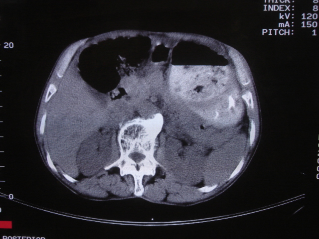
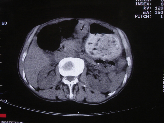
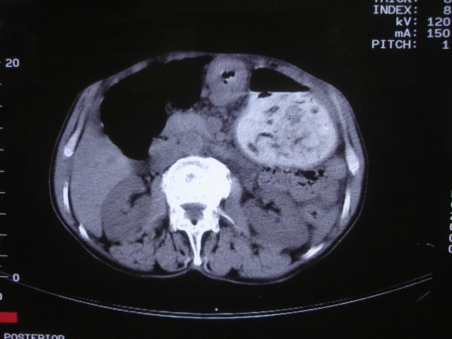
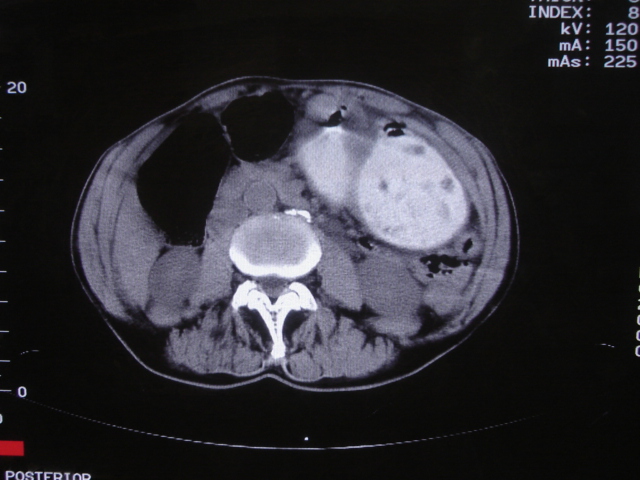
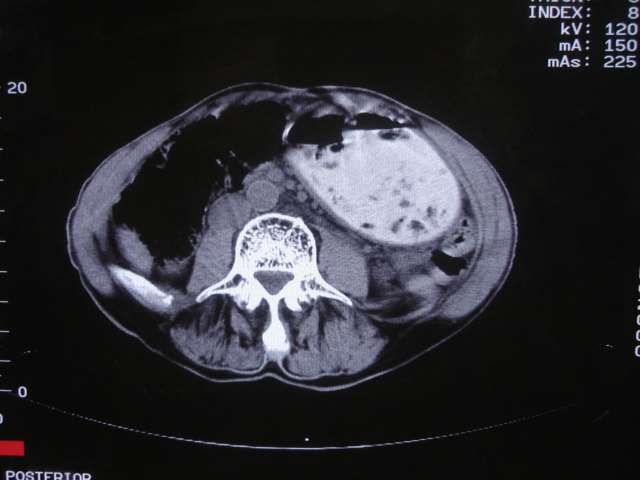
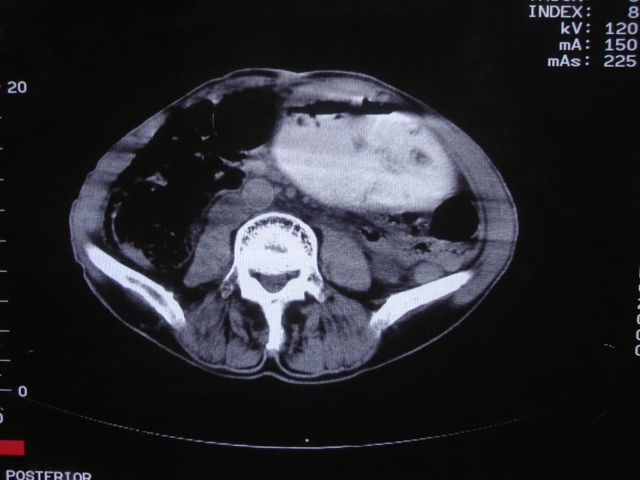
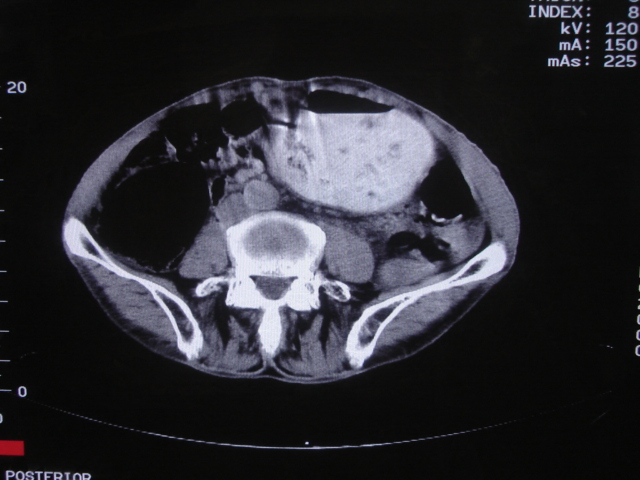
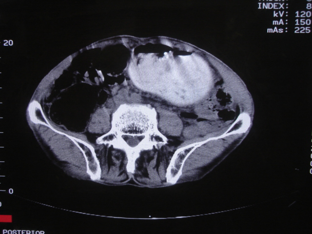
以下是引用深泽交通医院在2008-7-17 12:39:00的发言:[br]胃下垂;胃窦占位
以下是引用前行在2008-7-17 12:57:00的发言:[br]建议胃镱检查
以下是引用杀毒软件在2008-7-17 16:45:00的发言:[br][br] 建议胃镱检查!考虑胃窦部占位
以下是引用深泽交通医院在2008-7-17 12:39:00的发言:[br]胃下垂;胃窦占位
| 欢迎光临 医影在线 (http://bbs.radida.com/bbs/) | Powered by Discuz! X3.2 |