

































以下是引用zp17在2008-7-30 13:57:00的发言:[br]考虑ⅲ型肺结核可能性大。
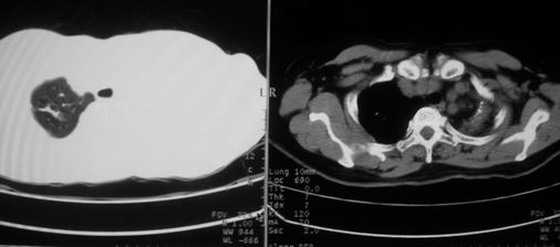
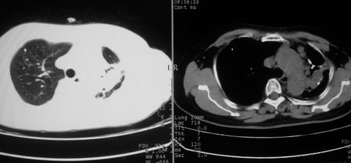
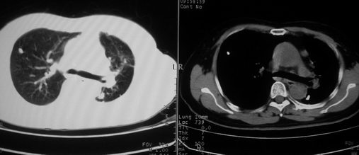
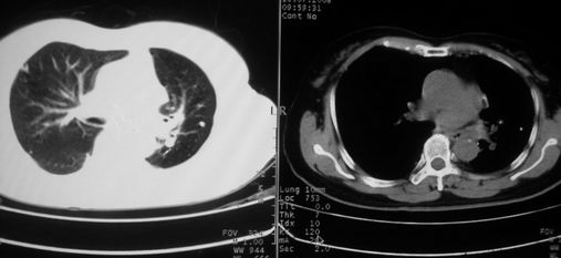
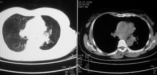
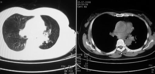
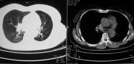
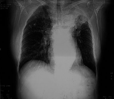
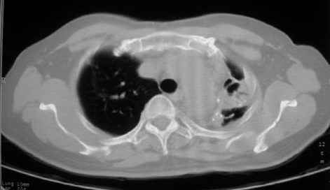
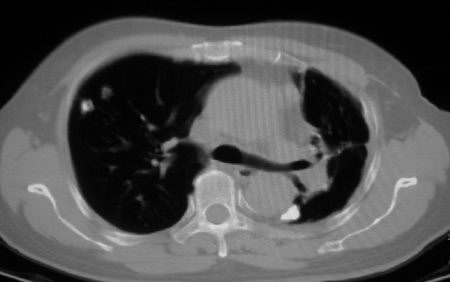
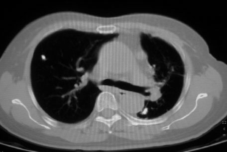
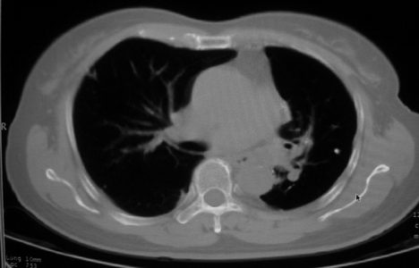
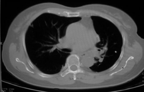
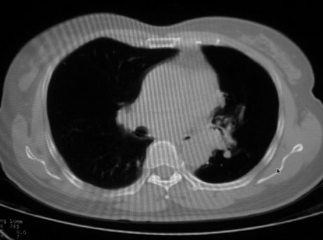
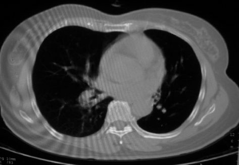
以下是引用李衡钧在2008-7-24 14:24:00的发言:[br]左侧胸廓变小,左肺上叶见大面积致密阴影,其内有空洞及不规则钙化。上纵隔略向左移位,上肺胸膜增厚。左肺门及纵隔淋巴结增大。右肺见散在的致密结节影。[br]印象:继发性肺结核。
以下是引用李衡钧在2008-7-24 14:24:00的发言:[br]左侧胸廓变小,左肺上叶见大面积致密阴影,其内有空洞及不规则钙化。上纵隔略向左移位,上肺胸膜增厚。左肺门及纵隔淋巴结增大。右肺见散在的致密结节影。[br]印象:继发性肺结核。
| 欢迎光临 医影在线 (http://bbs.radida.com/bbs/) | Powered by Discuz! X3.2 |