
















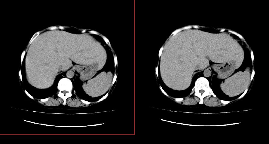
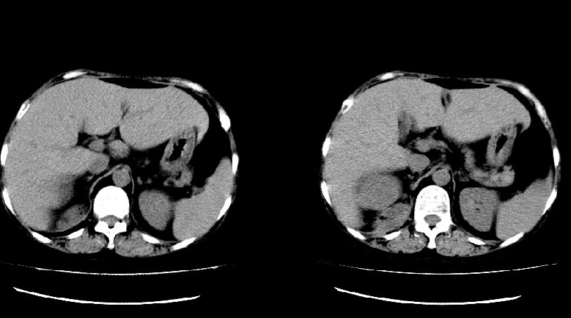
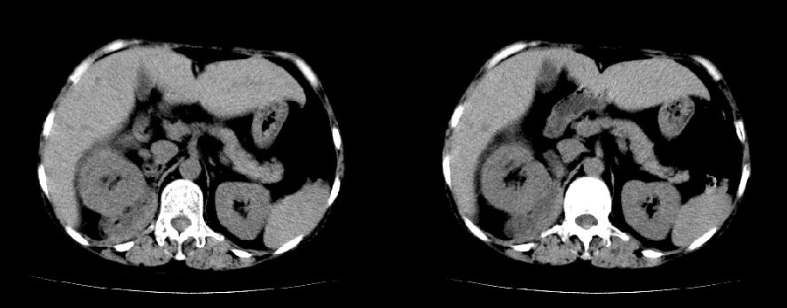
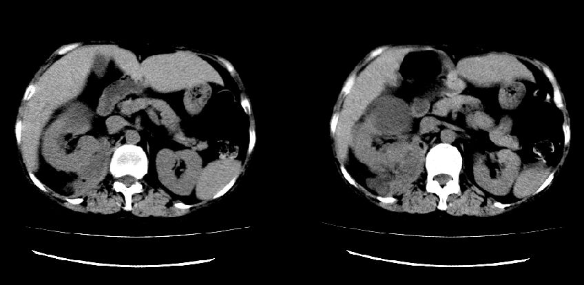
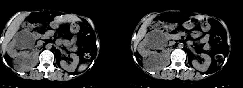
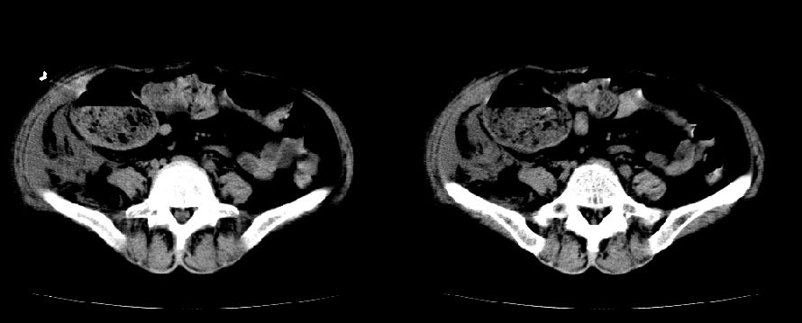
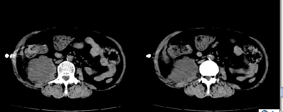
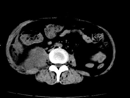
以下是引用liuyue在2008-7-19 10:17:00的发言:[br]考虑:1.肾周脓肿,肾实质、腰大肌及侧腹壁均受累及。 2.右肾囊肿。[br]建议:强化扫描,除外肾癌之可能。[br]
以下是引用zhengfaming在2008-7-19 14:48:00的发言:[br]右肾脓肿并感染可能性大,建议增强
以下是引用江广1996在2008-7-19 10:48:00的发言:[br]先考虑右侧肾周感染脓肿形成并累及腰大肌,右肾前侧有病灶考虑囊肿。
| 欢迎光临 医影在线 (http://bbs.radida.com/bbs/) | Powered by Discuz! X3.2 |