

















































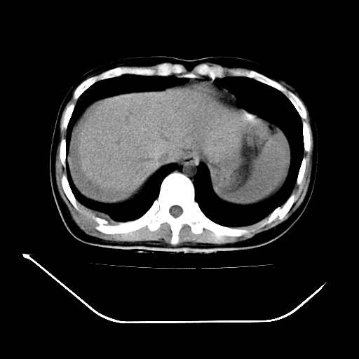
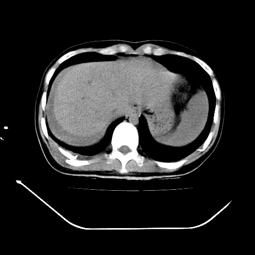
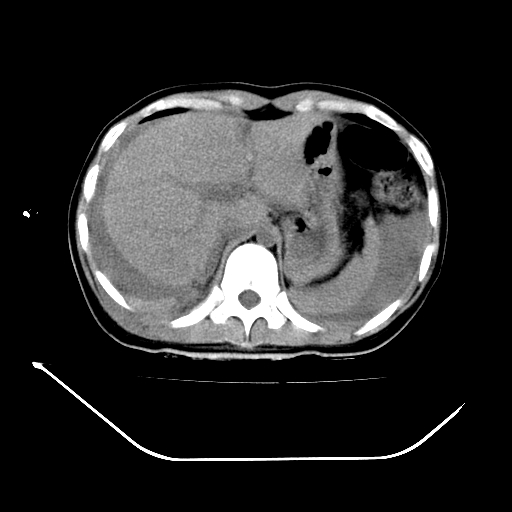
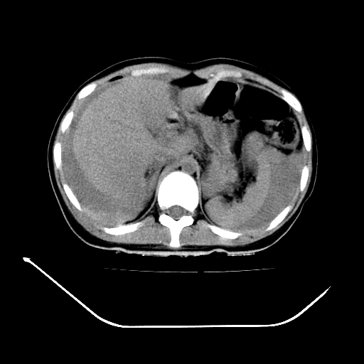
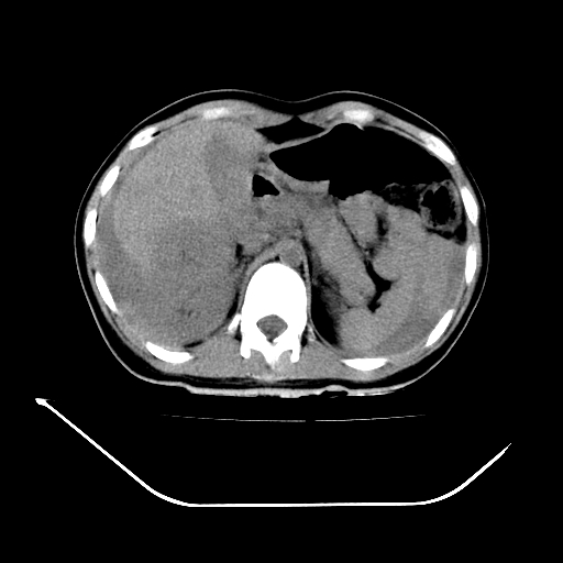
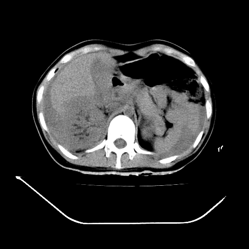
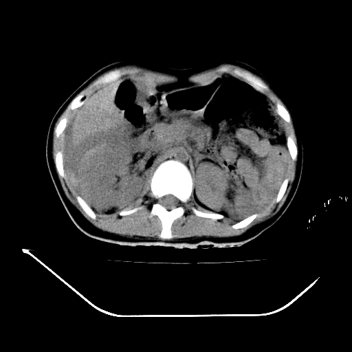
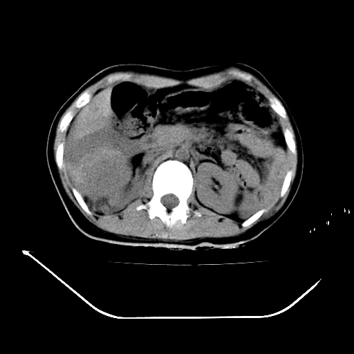
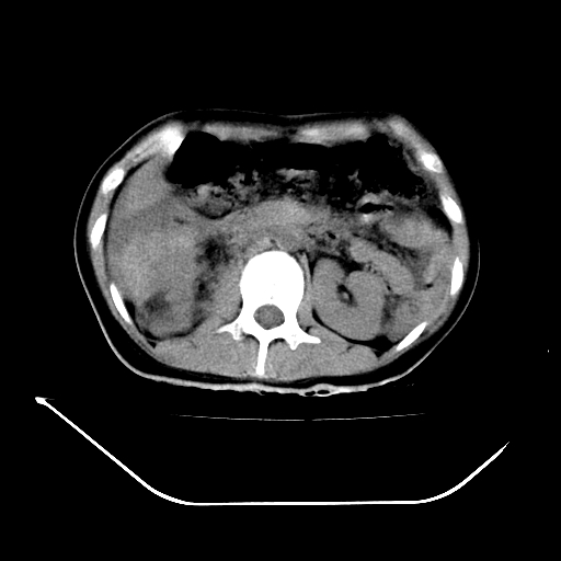
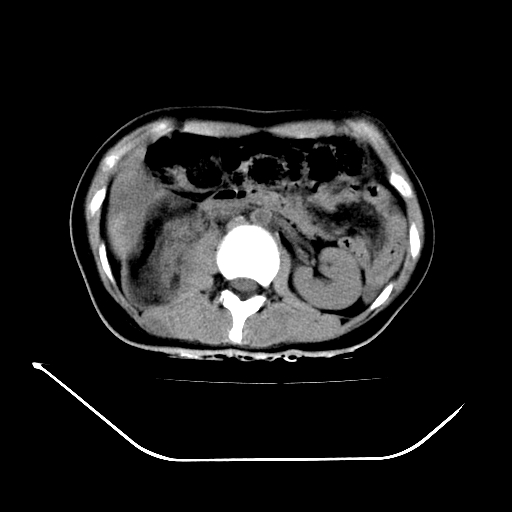
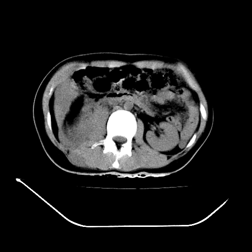
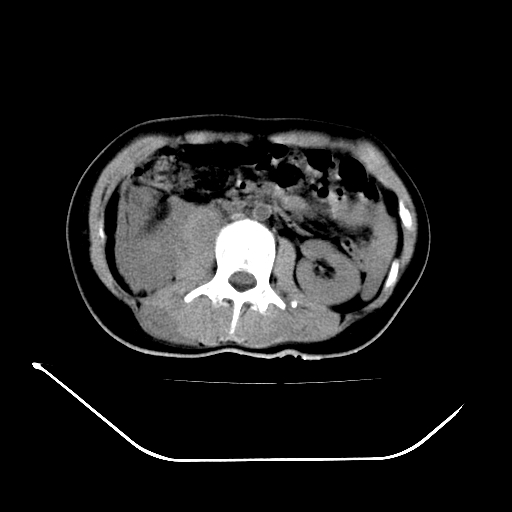
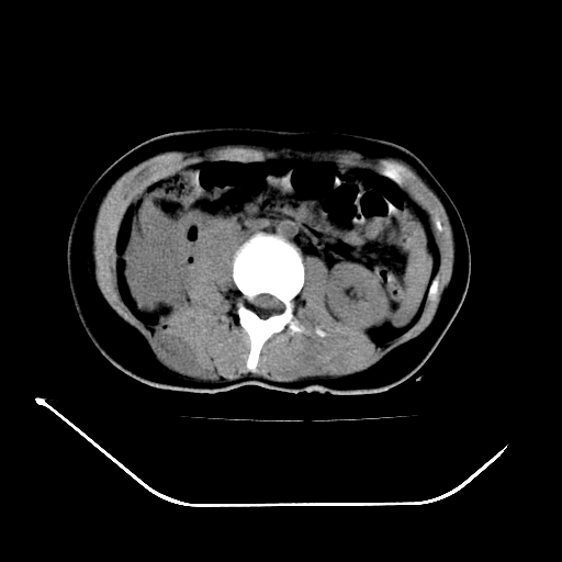
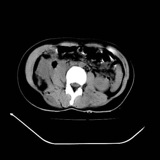
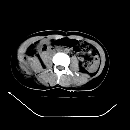
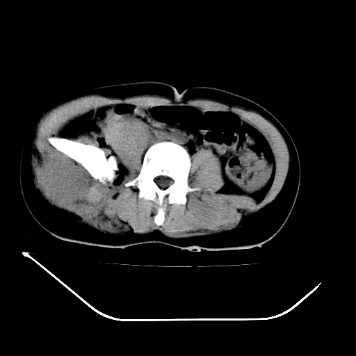
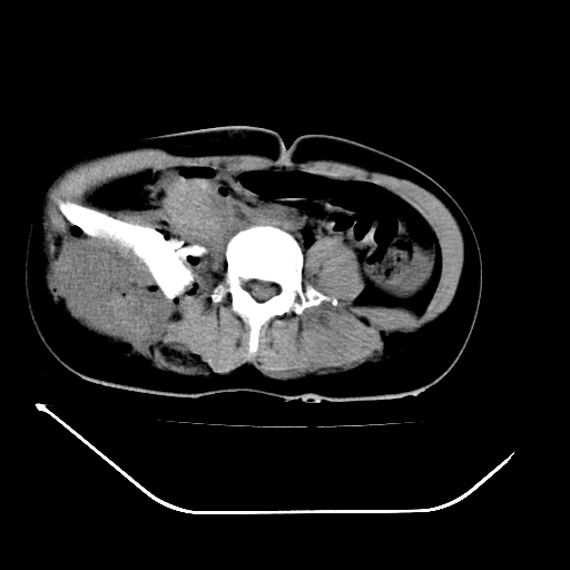
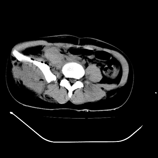
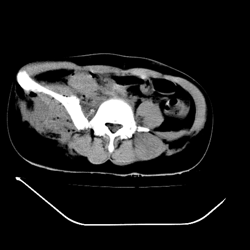
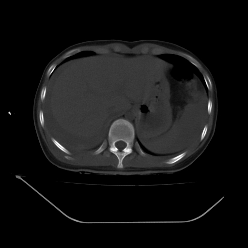
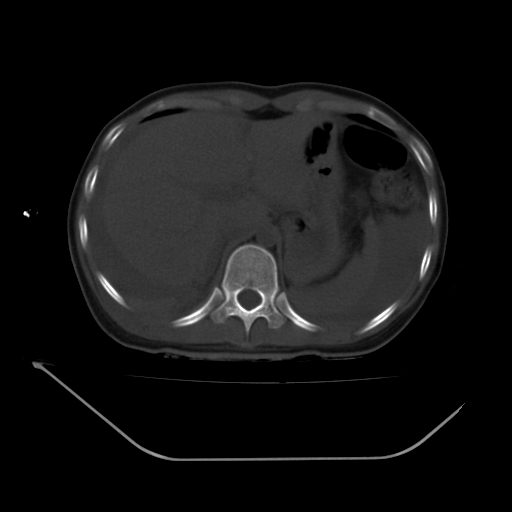
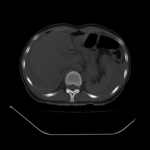
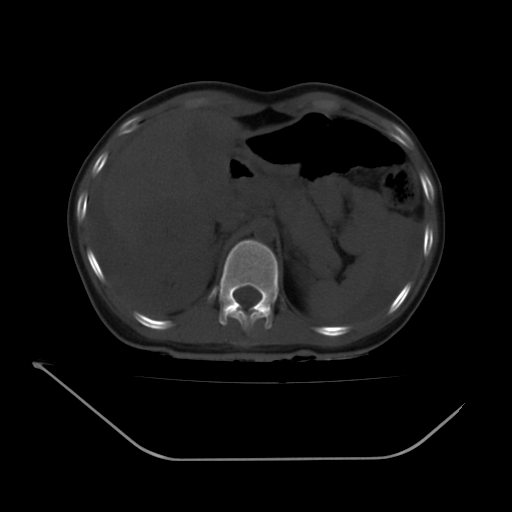
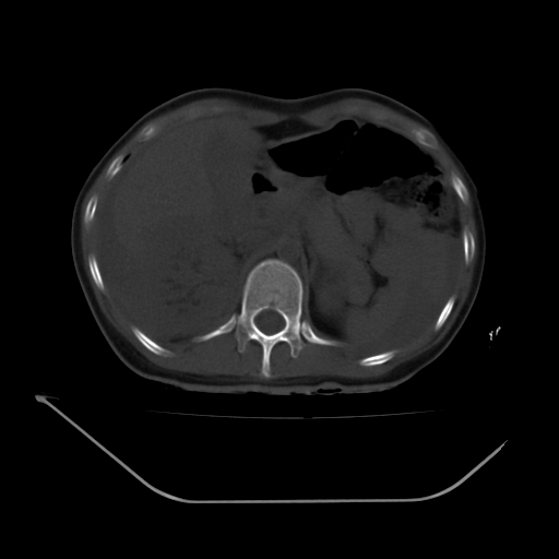
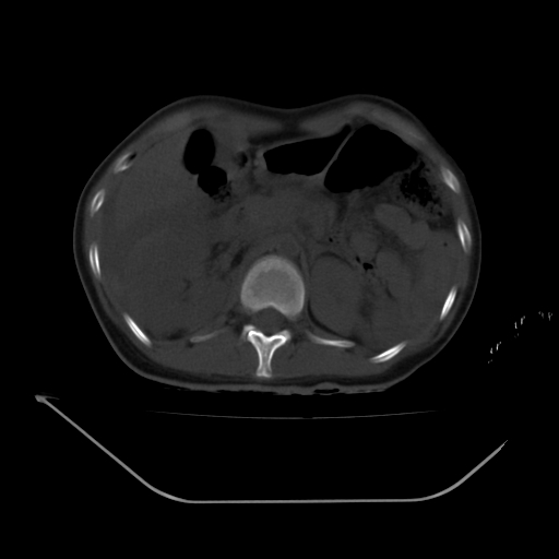
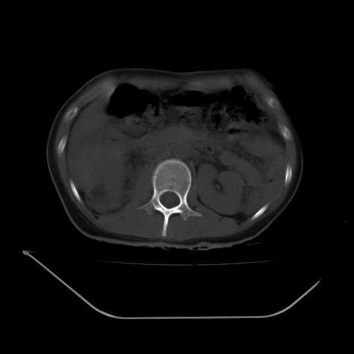
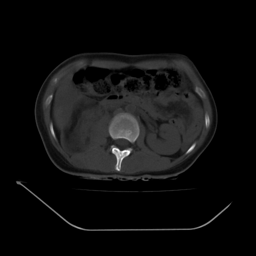
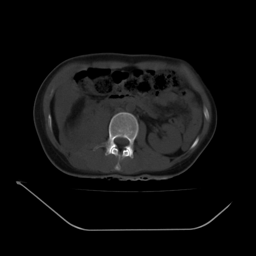
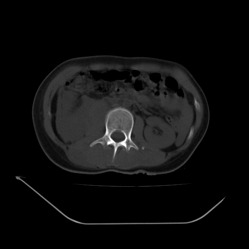
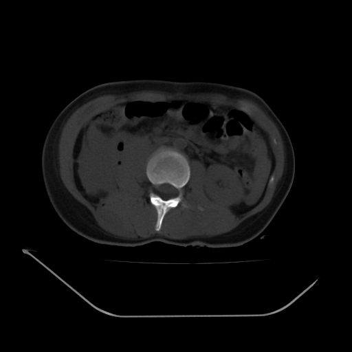
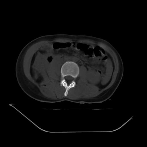
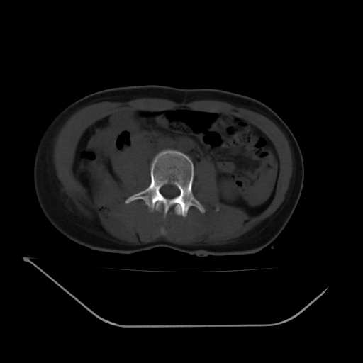
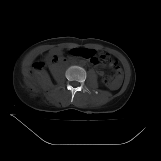
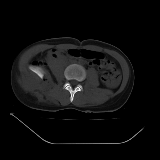
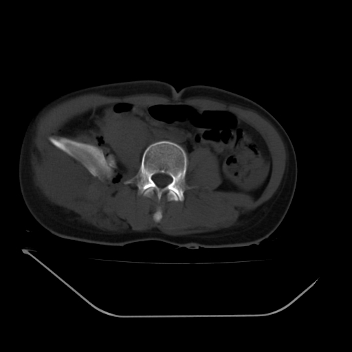
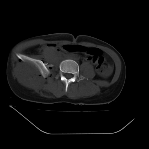
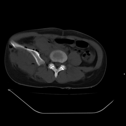
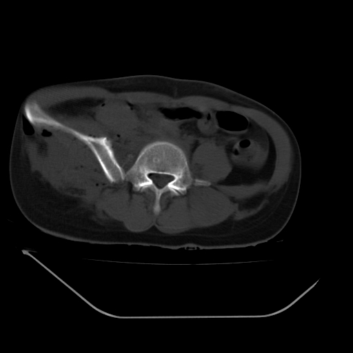
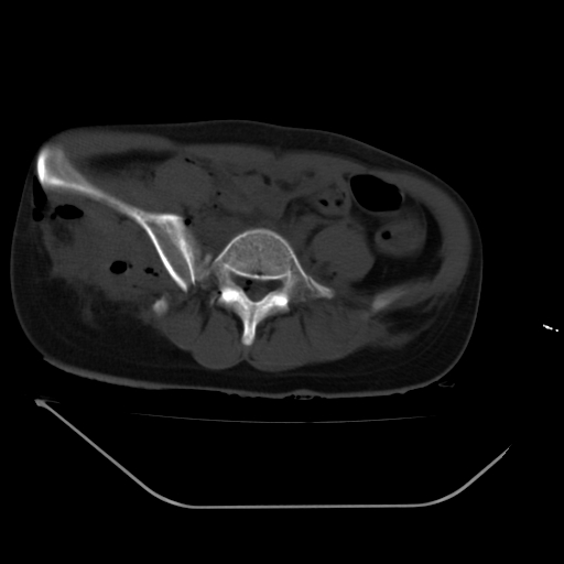
以下是引用liuyue在2008-7-19 13:02:00的发言:[br]1.肝右叶后下段及右肾挫裂伤伴腹腔积血。[br]2.右侧多发性肋骨骨折、横突骨折、右髂骨骨折伴周围软组织挫伤。[br]3.右侧腰大肌肿胀,并可见低密度影,如为气体,则肠道挫裂伤待除外。
以下是引用liuyue在2008-7-19 13:02:00的发言:[br]1.肝右叶后下段及右肾挫裂伤伴腹腔积血。[br]2.右侧多发性肋骨骨折、横突骨折、右髂骨骨折伴周围软组织挫伤。[br]3.右侧腰大肌肿胀,并可见低密度影,如为气体,则肠道挫裂伤待除外。
以下是引用liuyue在2008-7-19 13:02:00的发言:[br]1.肝右叶后下段及右肾挫裂伤伴腹腔积血。[br]2.右侧多发性肋骨骨折、横突骨折、右髂骨骨折伴周围软组织挫伤。[br]3.右侧腰大肌肿胀,并可见低密度影,如为气体,则肠道挫裂伤待除外。
以下是引用liuyue在2008-7-19 13:02:00的发言:[br]1.肝右叶后下段及右肾挫裂伤伴腹腔积血。[br]2.双侧多发性肋骨骨折、横突骨折、右髂骨骨折伴周围软组织挫伤。[br]3.右侧腰大肌肿胀,并可见低密度影,如为气体,则肠道挫裂伤待除外。
以下是引用zhengfaming在2008-7-19 14:42:00的发言:[br]1.肝右叶后下段及右肾挫裂伤伴腹腔积血。脾脏挫裂伤待排[br]2.右侧多发性肋骨骨折、横突骨折、右髂骨骨折伴周围软组织挫伤。[br]3.右侧腰大肌肿胀,并可见低密度影,如为气体,则肠道挫裂伤待除外
以下是引用liuyue在2008-7-19 13:02:00的发言:[br]1.肝右叶后下段及右肾挫裂伤伴腹腔积血。[br]2.右侧多发性肋骨骨折、横突骨折、右髂骨骨折伴周围软组织挫伤。[br]3.右侧腰大肌肿胀,并可见低密度影,如为气体,则肠道挫裂伤待除外。
以下是引用dyqct在2008-7-19 15:09:00的发言:[br][quote]以下是引用liuyue在2008-7-19 13:02:00的发言:[br]1.肝右叶后下段及右肾挫裂伤伴腹腔积血。[br]2.右侧多发性肋骨骨折、横突骨折、右髂骨骨折伴周围软组织挫伤。[br]3.右侧腰大肌肿胀,并可见低密度影,如为气体,则肠道挫裂伤待除外。
以下是引用道哥在2008-7-19 16:52:00的发言:[br]肝右叶后下段及右肾挫裂伤、脾破裂伴腹腔积血。[br]2.双侧多发性肋骨骨折、横突骨折、右髂骨骨折伴周围软组织挫伤。[br]3.右侧腰大肌肿胀,并可见低密度影,如为气体,则肠道挫裂伤待除外。
| 欢迎光临 医影在线 (http://bbs.radida.com/bbs/) | Powered by Discuz! X3.2 |