医影在线

标题: CT14702:52F,椎间盘。 [打印本页]

作者: lczeng    时间: 2008-7-20 02:14
标题: CT14702:52F,椎间盘。
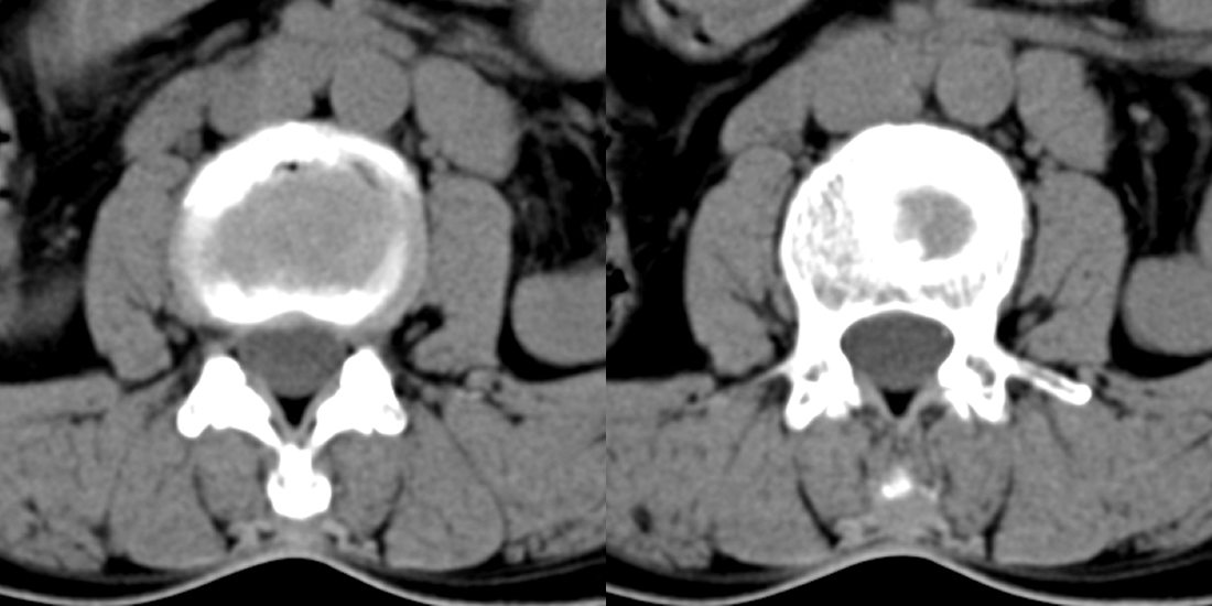
52岁女性,腰痛,活动守限,有腰部外伤史。请教各位战友,应该怎么报。
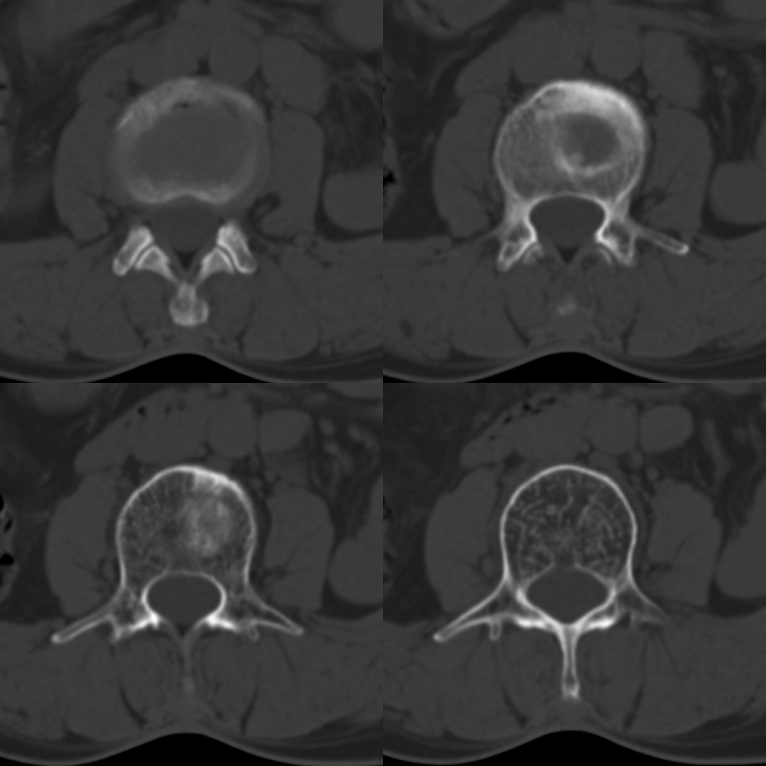
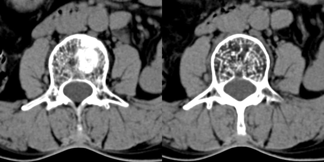
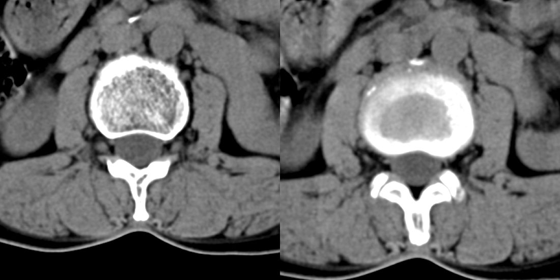
l2/3椎间隙




骨窗:



[本贴已被 翁志蓬 于 2008-7-19 23:50:41 修改过]

作者: arven    时间: 2008-7-20 02:21
没什么异常吧?有点增生。献丑了
作者: zsl6918    时间: 2008-7-20 02:30
许莫氏结节,退变。
作者: zxd95    时间: 2008-7-20 02:32
1、腰3椎体斯莫氏结节;
2、腰椎骨质增生。
作者: 杀毒软件    时间: 2008-7-20 02:39
支持许莫氏结节,退变
作者: zjzjr    时间: 2008-7-20 02:40
许莫氏结节,退变。
作者: 光影相伴    时间: 2008-7-20 02:49
腰3椎体许莫氏结节。
作者: 随光逐影    时间: 2008-7-20 02:53
1)l3椎体上缘许莫氏结节。2)腰椎退行性改变。
作者: 358450m    时间: 2008-7-20 03:00
标题: 回复:52f,椎间盘。
以下是引用zxd95在2008-7-19 18:32:00的发言:[br]1、腰3椎体斯莫氏结节;[br]2、腰椎骨质增生。

作者: qingjing    时间: 2008-7-20 04:34
许莫氏结节,退变。
作者: 岚儿    时间: 2008-7-20 04:42
许莫氏结节,退变.
作者: jsgdoctor    时间: 2008-7-20 04:57
1、腰3椎体斯莫氏结节;
2、腰椎骨质增生。
作者: zxczxc    时间: 2008-7-20 05:58
腰1椎压缩性骨折未除。
作者: 拾荒者    时间: 2008-7-21 03:18
许莫氏结节,退变.
作者: shijingcheng200    时间: 2008-7-21 03:31
1、腰3椎体斯莫氏结节;
2、腰椎骨质增生。
作者: jinguoji    时间: 2008-7-21 05:57
支持许莫氏结节,退变。
作者: zhangyang66    时间: 2008-7-21 06:01
支持许莫氏结节,退变未见外伤改变.
作者: 黑白光影    时间: 2008-7-21 17:39
1、腰3椎体斯莫氏结节;2、腰椎骨质增生。
作者: LIAOQIANG    时间: 2008-7-22 00:20
l3椎体上缘许莫氏结节。腰椎退变。




欢迎光临 医影在线 (http://bbs.radida.com/bbs/) Powered by Discuz! X3.2