











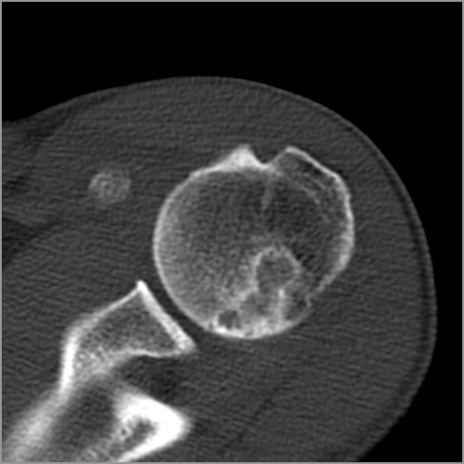
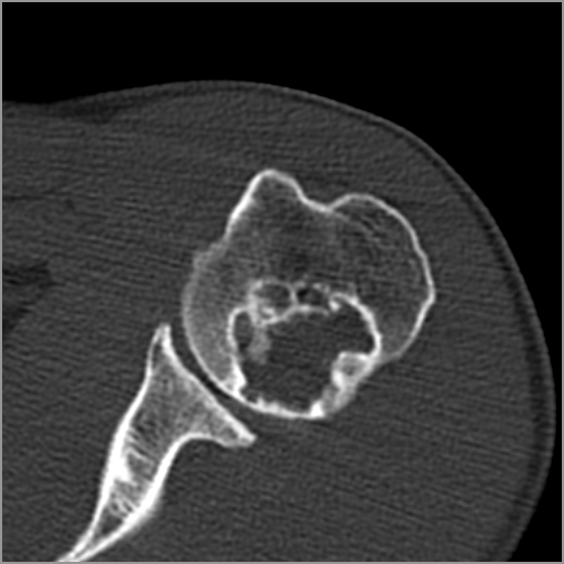
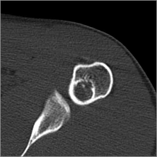
以下是引用zxd95在2008-7-19 18:45:00的发言:[br]囊性病灶边缘硬化、皮质变薄但连续——提示生长时间长、良性病变——考虑左肱骨头骨囊肿。[br]
以下是引用zxd95在2008-7-19 18:45:00的发言:[br]囊性病灶边缘硬化、皮质变薄但连续——提示生长时间长、良性病变——考虑左肱骨头骨囊肿。[br]
以下是引用杀毒软件在2008-7-19 18:55:00的发言:[br]考虑:骨巨细胞瘤可能性大
| 欢迎光临 医影在线 (http://bbs.radida.com/bbs/) | Powered by Discuz! X3.2 |