





















































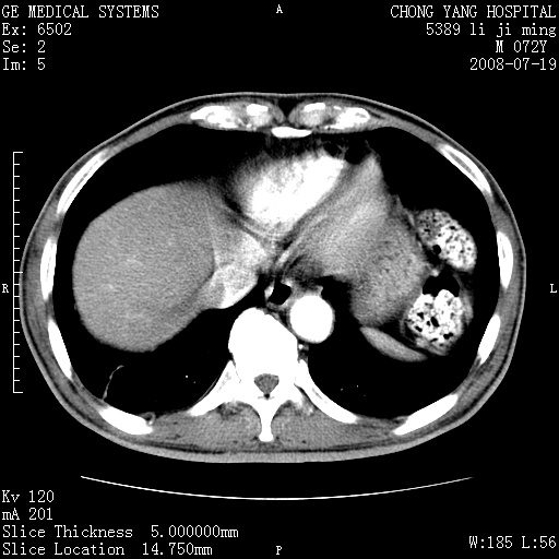
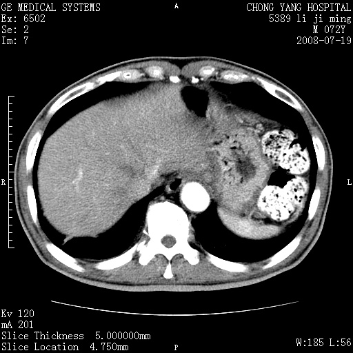
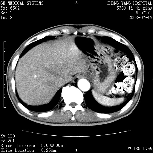
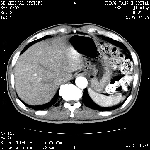
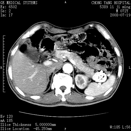
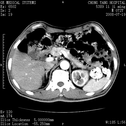
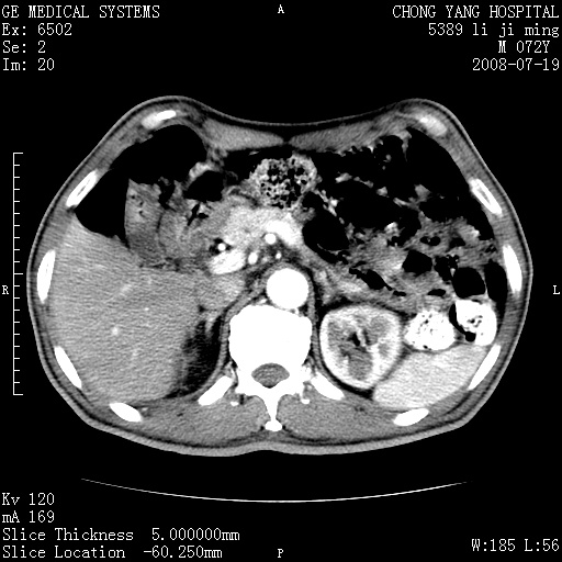
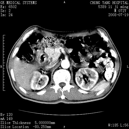
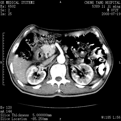
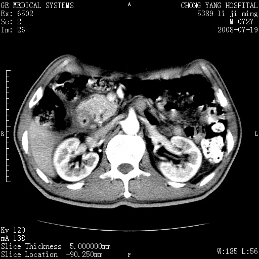
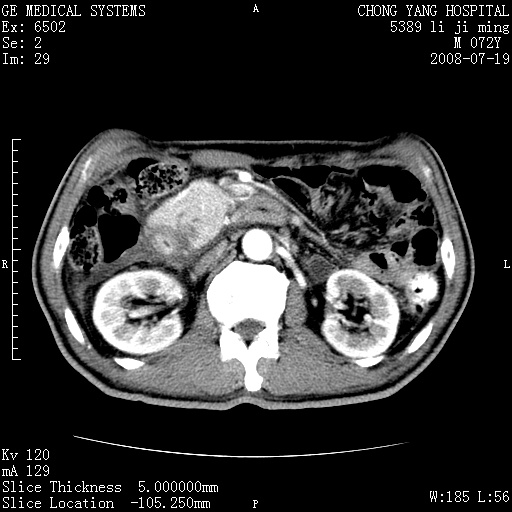
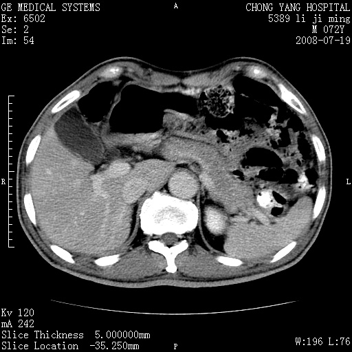
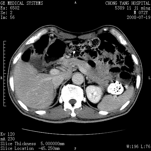
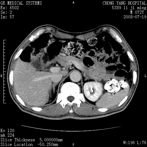
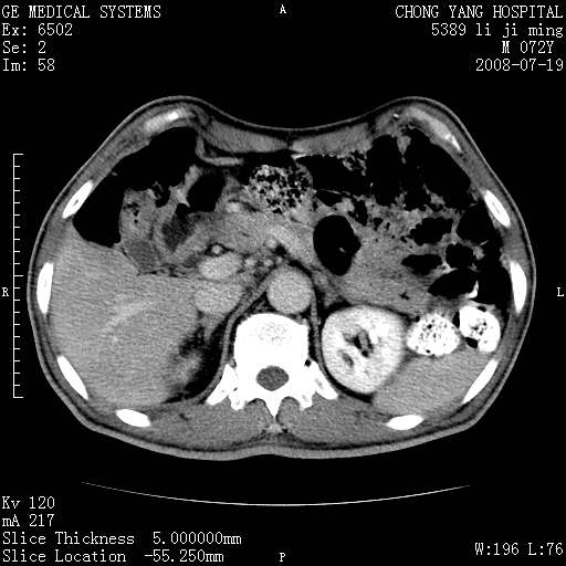
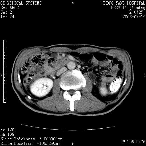
以下是引用zjzjr在2008-7-19 20:57:00的发言:[br]胰头增大,边缘模糊,周围可见渗出影,右侧肾前筋膜增厚.支持胰腺炎.
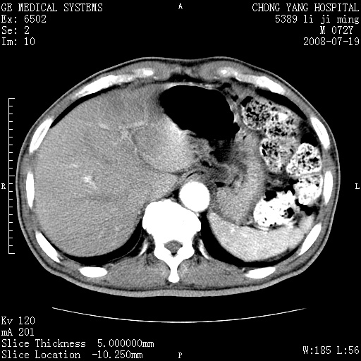
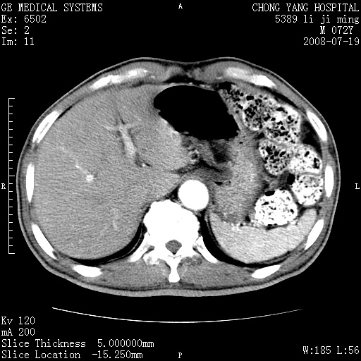
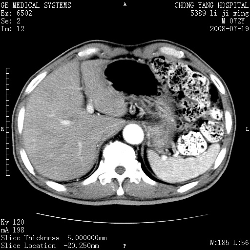
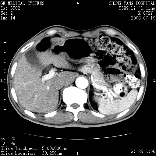
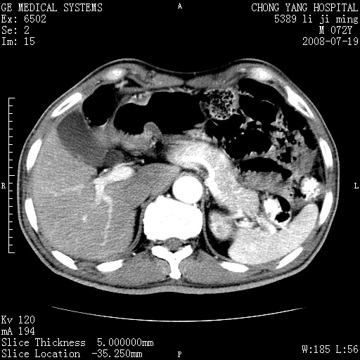
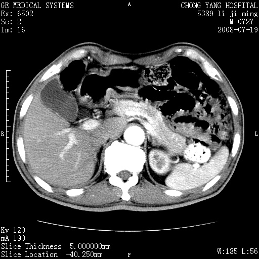
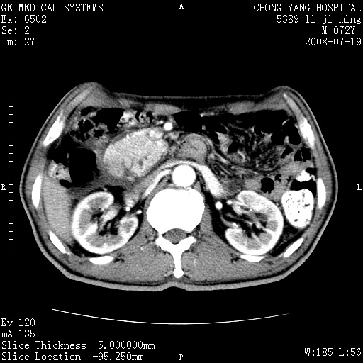
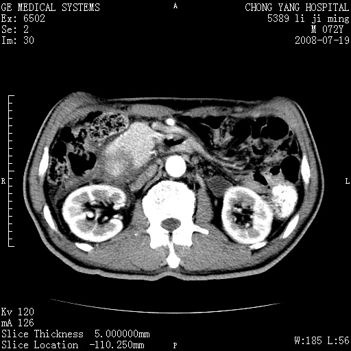
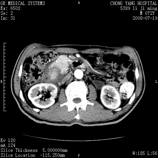
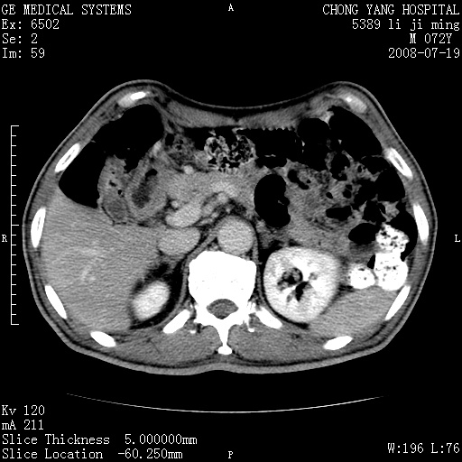
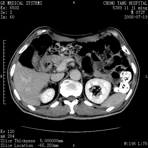
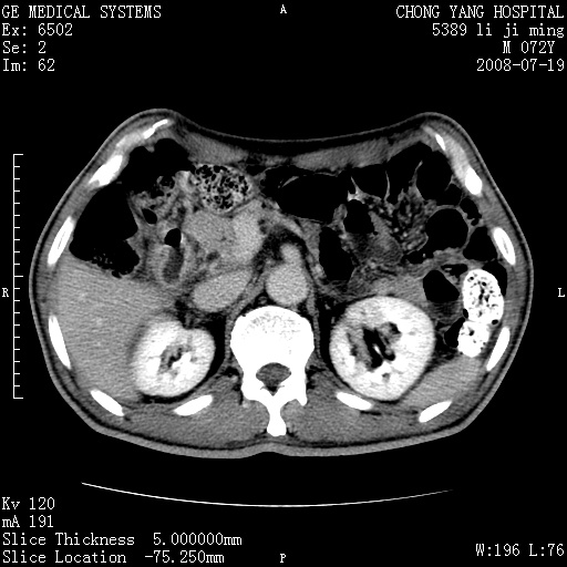
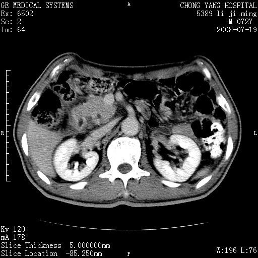
以下是引用yangyudong333在2008-7-20 6:56:00的发言:[br]胰腺增大尤以胰头明显,边缘模糊,周围可见渗出影,右侧肾前筋膜增厚,肠管於涨.支持胰腺炎
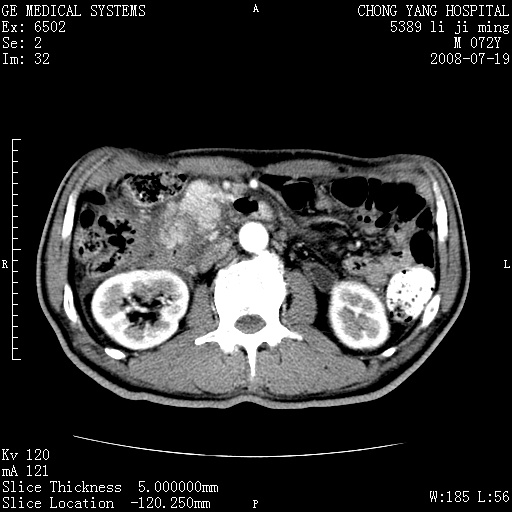
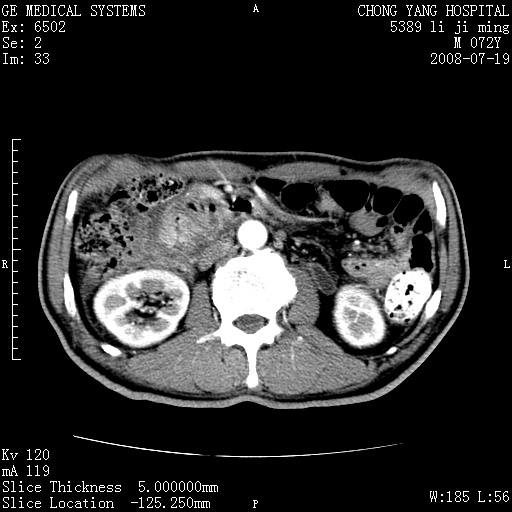
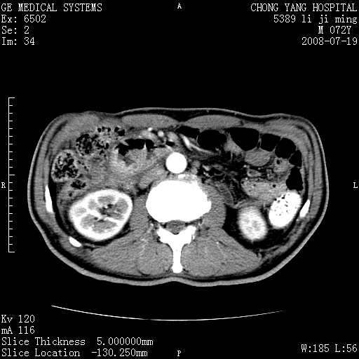
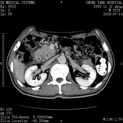
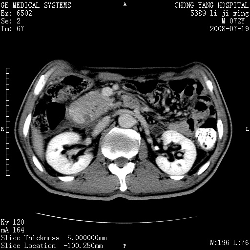
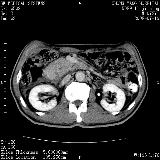
以下是引用不学无术在2008-7-19 23:15:00的发言:[br]胰腺增大尤以胰头明显,边缘模糊,周围可见渗出影,右侧肾前筋膜增厚,肠管於涨.支持胰腺炎
以下是引用zjzjr在2008-7-19 20:57:00的发言:[br]胰头增大,边缘模糊,周围可见渗出影,右侧肾前筋膜增厚.支持胰腺炎.
| 欢迎光临 医影在线 (http://bbs.radida.com/bbs/) | Powered by Discuz! X3.2 |