医影在线

标题: CT14534B:补全图像,对不起,麻烦站长了。图像不全确实看 [打印本页]

作者: 37度    时间: 2008-7-20 03:54
标题: CT14534B:补全图像,对不起,麻烦站长了。图像不全确实看
点击阅读ct14534:http://www.radida.com/bbs/forum.php?mod=viewthread&tid=41784)












































[本贴已被 翁志蓬 于 2008-7-19 23:59:00 修改过]

作者: 358450m    时间: 2008-7-20 04:38
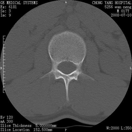
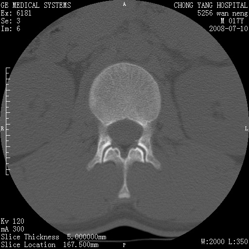
骨囊肿?
作者: chenln9860    时间: 2008-7-20 05:46
腰3、4椎弓崩裂
作者: zxczxc    时间: 2008-7-20 05:51
腰3、4椎弓不连
作者: dyqct    时间: 2008-7-20 05:56
支持:腰3、4椎弓峡部崩裂。
作者: zsl6918    时间: 2008-7-20 06:03
标题: 回复:补充ct14534的,对不起,麻烦站长了。图像不全确实
腰3、4椎弓峡部不连
作者: 影像迷    时间: 2008-7-20 06:09
支持:腰3、4椎弓峡部崩解。
作者: zhctwbh    时间: 2008-7-20 06:55
腰3、4,如受过外伤则为陈旧骨折,否则为骨质不连
作者: qc80012345    时间: 2008-7-20 11:03
软组织内骨化灶/mri检查。
作者: zhuming943066    时间: 2008-7-20 15:58
图片漂亮,目前也只能看到腰3、4骨质不连
作者: 杀毒软件    时间: 2008-7-20 16:33
腰3、4椎弓峡部不连
作者: 随光逐影    时间: 2008-7-20 17:56
腰3、4椎弓峡部裂。
作者: 形影不离    时间: 2008-7-20 20:21
腰3、4椎弓峡部裂。
作者: xulianj    时间: 2008-7-21 03:22
腰3、4椎弓峡部裂。支持
作者: 拾荒者    时间: 2008-7-21 04:15
重建图像见多个椎弓峡部不连(不足为据),平扫未见异常。
作者: jinguoji    时间: 2008-7-21 06:17
支持腰3、4椎弓峡部崩裂。
作者: 黑白光影    时间: 2008-7-21 17:37
支持:腰3、4椎弓峡部崩裂。




欢迎光临 医影在线 (http://bbs.radida.com/bbs/) Powered by Discuz! X3.2