医影在线
标题: CT14708:上腹 [打印本页]
作者: yy杨洋 时间: 2008-7-20 04:29
标题: CT14708:上腹
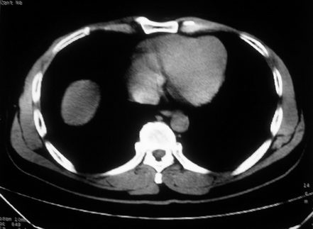
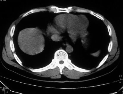
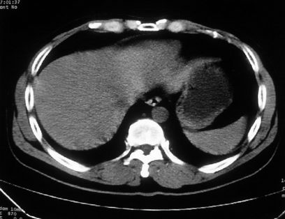
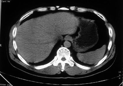
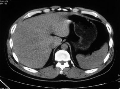
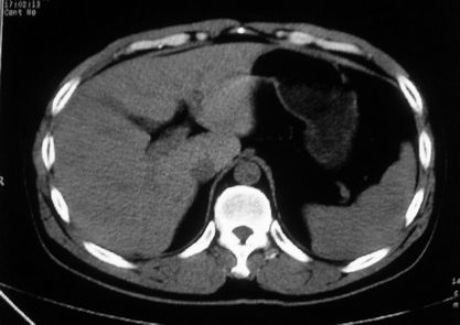
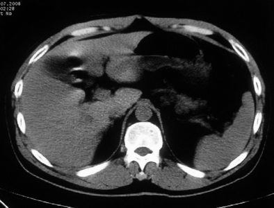
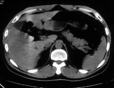
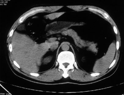
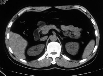
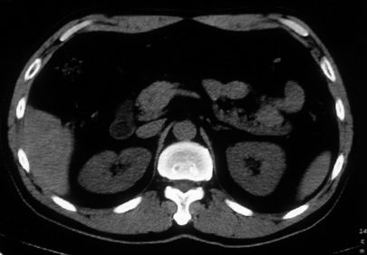
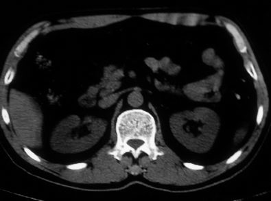
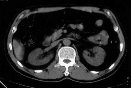
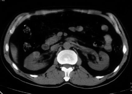
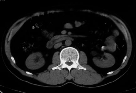
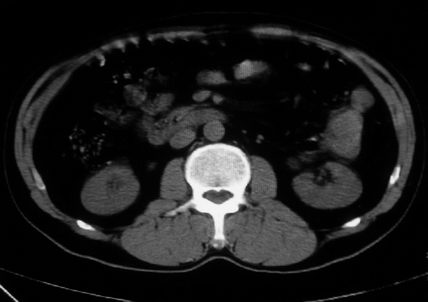
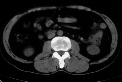
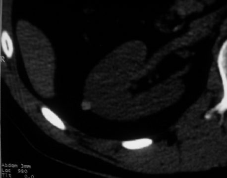
男,体查发现右肝低密度,右肾高密度结节影。高密度ct值92hu,囊肿?



























[本贴已被 yy杨洋 于 2008-7-19 20:29:44 修改过]
[本贴已被 翁志蓬 于 2008-7-20 0:01:47 修改过]
作者: gaoshengjiang 时间: 2008-7-20 04:35
肝右叶囊肿或血管瘤?右肾高密度囊肿。建议增强。
作者: 358450m 时间: 2008-7-20 04:49
标题: 回复:上腹
以下是引用gaoshengjiang在2008-7-19 20:35:00的发言:[br]肝右叶囊肿或血管瘤?右肾高密度囊肿。建议增强。
作者: huangyinshan 时间: 2008-7-20 04:53
肝右叶囊肿或血管瘤?右肾高密度囊肿。建议增强。
作者: zjzjr 时间: 2008-7-20 05:02
肝右叶囊肿,右肾高密度囊肿。建议增强。
作者: sch2008 时间: 2008-7-20 05:09
肝右叶圆形低密度灶,考虑囊肿或血管瘤,建议ct增强检查;右肾包膜下高密度圆形灶,考虑:囊肿并出血
作者: jsgdoctor 时间: 2008-7-20 05:52
肝右叶囊肿或血管瘤?右肾高密度囊肿。建议增强。
作者: zsl6918 时间: 2008-7-20 05:56
强化后再讨论
作者: dyqct 时间: 2008-7-20 06:00
标题: 回复:上腹
以下是引用zjzjr在2008-7-19 21:02:00的发言:[br]肝右叶囊肿,右肾高密度囊肿。建议增强。
支持!
作者: xinliheng001 时间: 2008-7-20 06:30
做增强后再看吧
作者: zhctwbh 时间: 2008-7-20 06:44
肝肾囊肿,不除外两肾积水
作者: 312nanyang 时间: 2008-7-20 07:14
标题: 回复:上腹
以下是引用xinliheng001在2008-7-19 22:30:00的发言:[br]做增强后再看吧
作者: qc80012345 时间: 2008-7-20 10:50
还是增强扫描好在议吧。
作者: yangyudong333 时间: 2008-7-20 14:52
肝右叶囊肿,右肾高密度囊肿。建议增强。
作者: 杀毒软件 时间: 2008-7-20 16:28
强化后再讨论
作者: 随光逐影 时间: 2008-7-20 17:21
考虑肝右叶囊肿,右肾高密度囊肿;建议行ct增强扫描检查。
作者: yangwq 时间: 2008-7-20 17:28
不强化不易猜
作者: 形影不离 时间: 2008-7-20 20:17
肝右叶囊肿,右肾高密度囊肿。建议增强。
作者: 晓杰 时间: 2008-7-20 20:43
支持:肝右叶囊肿或血管瘤?右肾高密度囊肿。建议增强。
作者: xulianj 时间: 2008-7-21 03:24
建议增强!
作者: 拾荒者 时间: 2008-7-21 03:56
还是增强后在对比观察较好。
作者: jinguoji 时间: 2008-7-21 06:19
肝右叶囊肿,右肾高密度囊肿。建议增强。
作者: 黑白光影 时间: 2008-7-21 17:35
肝右叶囊肿或血管瘤?右肾高密度囊肿。还是增强后在对比观察较好,建议增强。
| 欢迎光临 医影在线 (http://bbs.radida.com/bbs/) |
Powered by Discuz! X3.2 |