



















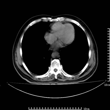
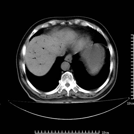
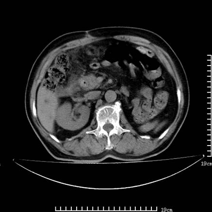
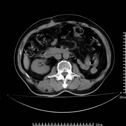
以下是引用zsl6918在2008-7-19 21:53:00的发言:[br]胆总管结石并胆系感染,胆囊切除术后改变。
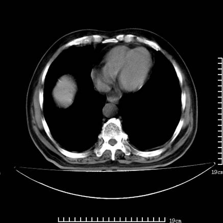
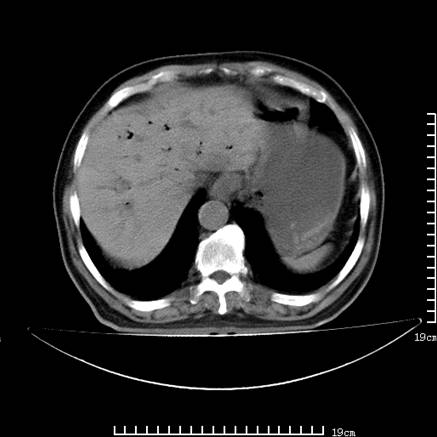
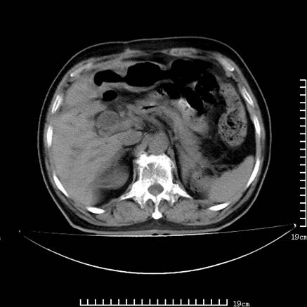
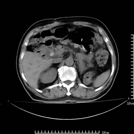
以下是引用lirenxiong在2008-7-19 22:01:00的发言:[br]胆总管结石并胆系感染,胆囊切除术后改变!左肾未见!左肾上腺增生肥大?请全腹扫描,增强!
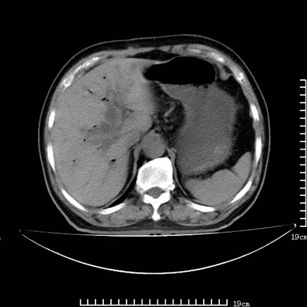
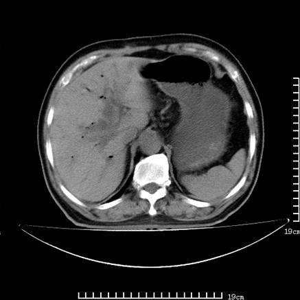
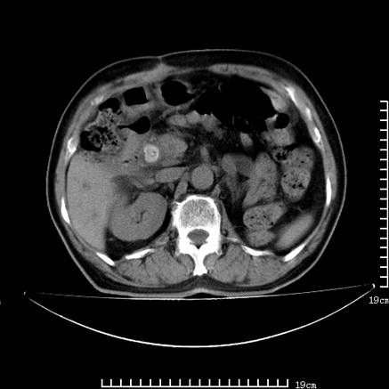
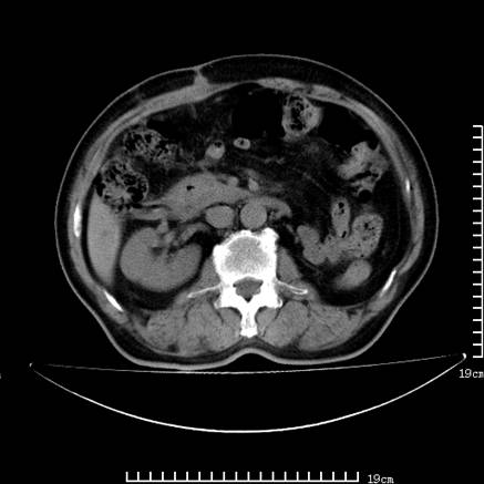
以下是引用sch2008在2008-7-19 22:03:00的发言:[br]肝内胆管及胆总管积气,并胆总管结石,考虑;胆囊切除术后,胆系感染
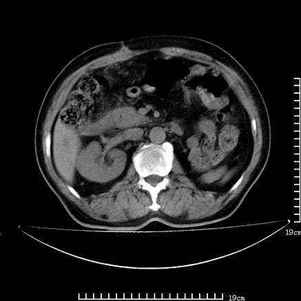
以下是引用lirenxiong在2008-7-19 22:01:00的发言:[br]胆总管结石并胆系感染,胆囊切除术后改变!左肾未见!左肾上腺增生肥大?请全腹扫描,增强!
以下是引用lirenxiong在2008-7-19 22:01:00的发言:[br]胆总管结石并胆系感染,胆囊切除术后改变!左肾未见!左肾上腺增生肥大?请全腹扫描,增强!
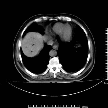
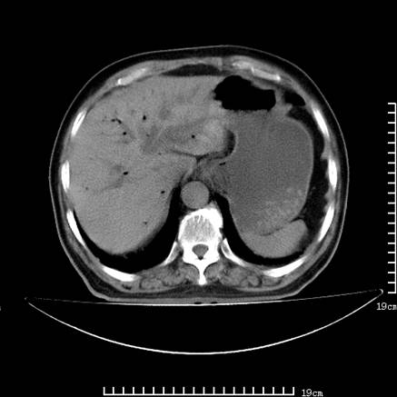
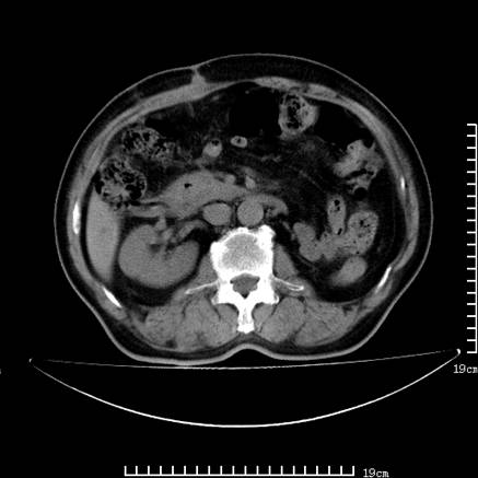
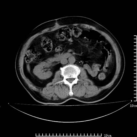
以下是引用zsl6918在2008-7-19 21:53:00的发言:[br]胆总管结石并胆系感染,胆囊切除术后改变。
以下是引用zsl6918在2008-7-19 21:53:00的发言:[br]胆总管结石并胆系感染,胆囊切除术后改变。
以下是引用xinliheng001在2008-7-19 21:59:00的发言:[br]胰头段胆管结石肝内外胆管扩张积气。
以下是引用liaoqiang在2008-7-19 22:26:00的发言:[br]胆总管结石伴胆系感染。
以下是引用lirenxiong在2008-7-19 22:01:00的发言:[br]胆总管结石并胆系感染,胆囊切除术后改变!左肾未见!左肾上腺增生肥大?增强!
以下是引用lirenxiong在2008-7-19 22:01:00的发言:[br]胆总管结石并胆系感染,胆囊切除术后改变!左肾未见!左肾上腺增生肥大?请全腹扫描,增强!
| 欢迎光临 医影在线 (http://bbs.radida.com/bbs/) | Powered by Discuz! X3.2 |