医影在线

标题: CT14758:M69Y,头晕头痛不适 [打印本页]

作者: wy232326    时间: 2008-7-22 22:56
标题: CT14758:M69Y,头晕头痛不适
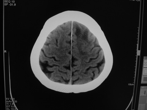
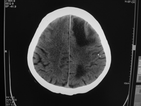
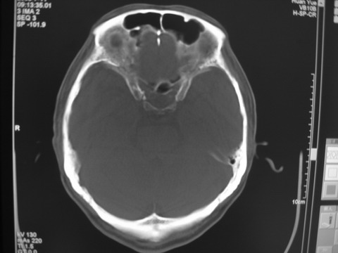
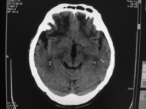
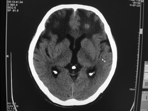
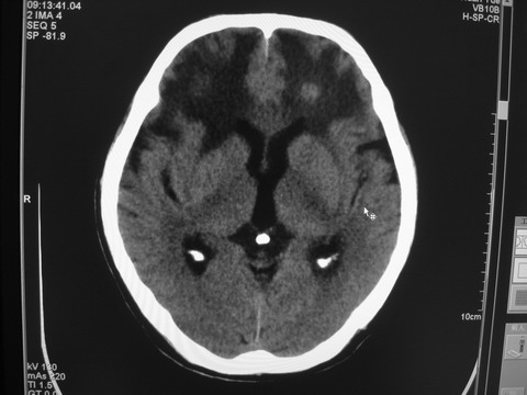
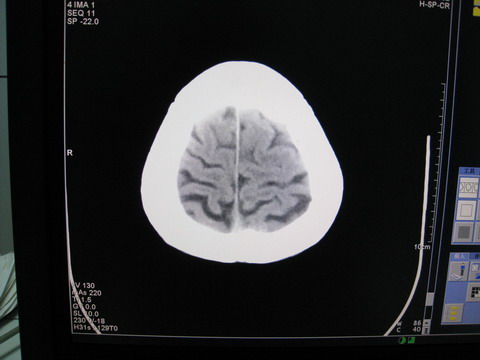
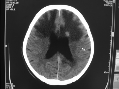
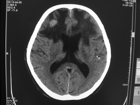
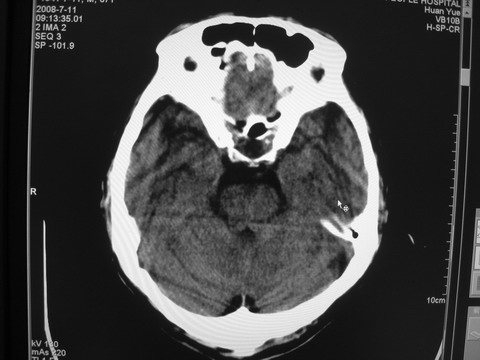
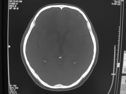
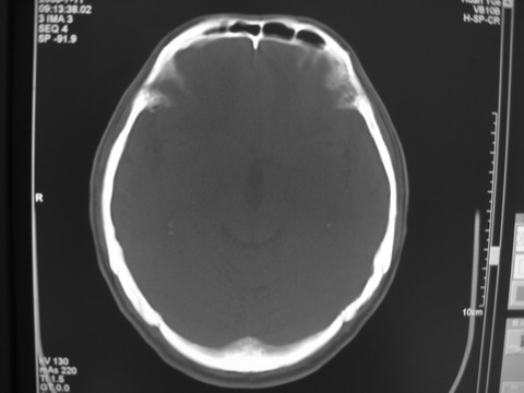
患者 男 69岁 头晕头痛不适
























[本贴已被 jiajie 于 2008-7-22 20:06:19 修改过]

作者: zsl6918    时间: 2008-7-22 22:59
多发病灶,指状水肿,首先诊断转移瘤。
作者: 光影相伴    时间: 2008-7-22 23:01
考虑:多发性转移瘤。
作者: icewen    时间: 2008-7-22 23:03
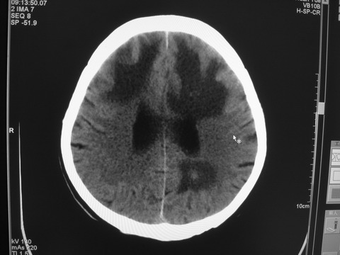
脑血管硬化脑软化
作者: lizhaofeng    时间: 2008-7-22 23:03
考虑:多发性转移瘤
作者: sdzyy    时间: 2008-7-23 00:23
多发性转移瘤
作者: zjzjr    时间: 2008-7-23 00:26
考虑:多发性转移瘤
作者: kongfanhui    时间: 2008-7-23 00:28
给位老师..此患者病变的占位效应没有呀 , 我个人还是支持脑软化的可能 不除外出血性梗塞。
作者: yangyudong333    时间: 2008-7-23 01:13
多发性转移瘤建议查原发灶
作者: 晓杰    时间: 2008-7-23 01:22
典型多发性转移瘤
作者: pujilgh    时间: 2008-7-23 01:27
多发性脑转移瘤。建议胸部检查。
作者: 谨言慎行    时间: 2008-7-23 01:31
脑软化
作者: 随光逐影    时间: 2008-7-23 01:36
考虑多发性脑转移瘤。
作者: 宇宙ct    时间: 2008-7-23 02:32
考虑:多发性转移瘤
作者: 杀毒软件    时间: 2008-7-23 02:33
支持多发性转移瘤建议查原发灶
作者: liangshusheng    时间: 2008-7-23 02:38
考虑:多发性转移瘤。
作者: 358450m    时间: 2008-7-23 02:39
标题: 回复:头晕头痛不适
以下是引用zsl6918在2008-7-22 14:59:00的发言:[br]多发病灶,指状水肿,首先诊断转移瘤。

作者: 吴承学    时间: 2008-7-23 02:44
多发转移瘤
作者: 光影★小胖    时间: 2008-7-23 03:46
考虑:多发性转移瘤。
作者: 同    时间: 2008-7-23 03:59
多发转移瘤.
作者: 求知若渴    时间: 2008-7-23 04:00
转移瘤
作者: hushengqi    时间: 2008-7-23 04:05
多发性转移瘤
作者: 王2008    时间: 2008-7-23 04:14
考虑:多发性转移瘤。
作者: xulianj    时间: 2008-7-23 04:53
考虑:多发性转移瘤。建议进一步检查。
作者: jinguoji    时间: 2008-7-23 05:05
考虑多发性脑转移瘤。
作者: yanfenglanzhou    时间: 2008-7-23 05:19
多个结节并周围大面积水肿区,多考虑多发性脑转移瘤
作者: 拾荒者    时间: 2008-7-23 05:32
小病灶、大水肿,病灶多发,首先考虑多发转移瘤;建议查原发灶。
作者: jsgdoctor    时间: 2008-7-23 05:37
考虑转移瘤,建议胸部检查
作者: wzr    时间: 2008-7-23 06:15
多发性转移瘤
作者: zjb    时间: 2008-7-23 06:23
额顶叶多发小病灶、大水肿,首先考虑多发转移瘤;建议查原发灶
作者: 百年合好    时间: 2008-7-23 08:22
标题: 回复:ct14758:m69y,头晕头痛不适
以下是引用拾荒者的发言:小病灶、大水肿,病灶多发,首先考虑多发转移瘤;建议查原发灶.
作者: YRJ0513    时间: 2008-7-23 17:42
考虑多发转移瘤
作者: 不过如此    时间: 2008-7-23 17:49
脑内多发病灶,小病灶,大水肿。
典型转移性肿瘤。
应进一步检查,查找原发病灶。
作者: zxczxc    时间: 2008-7-23 18:52
脑软化。
作者: wy232326    时间: 2008-7-27 18:22
结果 : 该患者结肠癌病史5年 考虑脑转移
作者: huangyinshan    时间: 2008-7-27 22:37
多发病灶,指状水肿,首先诊断转移瘤。
作者: arven    时间: 2008-7-28 04:00
额叶结节病灶,不规则水肿范围大,加上年龄,首选转移
作者: zhg2005    时间: 2008-7-28 04:46
转移瘤




欢迎光临 医影在线 (http://bbs.radida.com/bbs/) Powered by Discuz! X3.2