医影在线

标题: X4596:左肩肿物。 [打印本页]

作者: 杏林古木    时间: 2008-7-24 05:34
标题: X4596:左肩肿物。
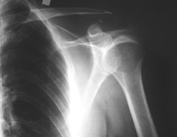
男47,左肩疼痛月余,无红肿,无活动障碍,局部有压痛。



[本贴已被 cefcmj 于 2008-7-23 22:46:29 修改过]

作者: 前行    时间: 2008-7-24 05:47
骨囊肿?建议ct或mr检查
作者: wangjie    时间: 2008-7-24 05:49
考虑骨囊肿可能,建议ct
作者: 358450m    时间: 2008-7-24 05:52
骨囊肿
作者: 金叶秋风    时间: 2008-7-24 05:56
骨囊肿
作者: ml2007    时间: 2008-7-24 06:02
骨囊肿
作者: 影像迷    时间: 2008-7-24 06:06
考虑骨囊肿。
作者: zhangsb    时间: 2008-7-24 07:04
一般骨囊肿沿骨髓纵向生长,而本例似有横向生长趋势,建议mr或ct检查
作者: qc80012345    时间: 2008-7-24 08:59
支持;骨囊肿诊断。
作者: zjb    时间: 2008-7-24 14:14
考虑骨囊肿
作者: yangyudong333    时间: 2008-7-24 14:42
考虑动脉瘤样骨囊肿
作者: 随光逐影    时间: 2008-7-24 16:19
考虑骨囊肿。
作者: 黑白光影    时间: 2008-7-24 17:07
考虑骨囊肿可能性大。
作者: fgp198    时间: 2008-7-24 18:24
考虑骨囊肿
作者: libing120    时间: 2008-7-24 18:47
支持;骨囊肿诊断。。。
作者: LIAOQIANG    时间: 2008-7-24 22:01
考虑骨巨细胞瘤,骨囊肿待排。
作者: jinguoji    时间: 2008-7-24 22:05
考虑骨囊肿可能。
作者: 李衡钧    时间: 2008-7-24 22:34
正常变异。
作者: zhangkening    时间: 2008-7-25 00:24
首先考虑骨囊肿吧.
作者: 宇宙Ct    时间: 2008-7-25 01:15
骨囊肿
作者: 杀毒软件    时间: 2008-7-25 01:26
考虑骨囊肿可能性大
作者: zhengfaming    时间: 2008-7-25 02:38
支持骨囊肿
作者: lishibao    时间: 2008-7-25 02:42
支持骨囊肿。建议ct或mri。
作者: 王2008    时间: 2008-7-25 03:50
考虑:骨囊肿可能性大。
作者: zy_zj    时间: 2008-7-25 03:59
考虑骨囊肿  ,刚开始合计体位的关系呢,手心没向前。
作者: wansheng    时间: 2008-7-25 04:59
考虑骨囊肿,建议ct检查。
作者: dsl555    时间: 2008-7-25 05:15
投照位置不好!不是正位
作者: dsl555    时间: 2008-7-25 05:27
位置不正!可能是假影
作者: dsl555    时间: 2008-7-25 05:34
位置不正确!可能是假影
作者: hkdy1029    时间: 2008-7-25 05:39
考虑骨囊肿。
作者: zdgds    时间: 2008-7-25 06:01
考虑骨囊肿
作者: 远征    时间: 2008-7-25 06:20
考虑:骨囊肿.建议ct检查
作者: GANENG.2008    时间: 2008-7-25 06:38
考虑骨囊肿可能性大
作者: 木子    时间: 2008-7-25 15:23
支持骨囊肿诊断。
作者: dr.yang    时间: 2008-7-25 17:43
骨囊肿
作者: hexue    时间: 2008-7-26 01:50
考虑骨囊肿。
作者: dyqct    时间: 2008-7-26 04:36
请标准位再照或ct进一步检查。
作者: dsl555    时间: 2008-8-2 06:37
标题: 回复:x4596:左肩肿物。
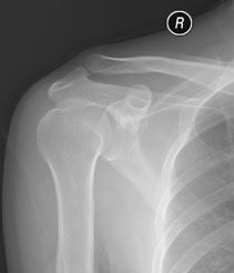
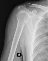
[face=黑体]请大家看看位置不一样的结果[/face]
作者: dsl555    时间: 2008-8-2 06:53
标题: 回复:x4596:左肩肿物。
请大家看看位置不一样的结果

作者: chuanghua004    时间: 2008-8-2 18:52
考虑骨囊肿
作者: hulei666    时间: 2009-3-6 05:39
骨囊肿
作者: 天亮时晚安    时间: 2009-3-6 05:40
骨囊肿
作者: china    时间: 2009-3-10 06:53
横向膨胀,在骨端,年龄47岁,考虑骨巨细胞瘤
作者: 左击手    时间: 2009-3-11 02:42
支持
作者: shulongd    时间: 2009-3-12 23:31
位置不正,可能是假像,再拍一张或ct。
作者: 513ytb    时间: 2009-6-26 15:08
位置不正,可能是假像,再拍一张或ct。
作者: shibing    时间: 2014-7-14 14:49
建议ct




欢迎光临 医影在线 (http://bbs.radida.com/bbs/) Powered by Discuz! X3.2