医影在线

标题: PED0927:男 10y 胸廓隆起 近10天感觉有点疼 [打印本页]

作者: hswey    时间: 2008-7-24 20:27
标题: PED0927:男 10y 胸廓隆起 近10天感觉有点疼
追问无其他病史




[本贴已被 jiajie 于 2008-7-24 12:43:27 修改过]

作者: 358450m    时间: 2008-7-24 20:45
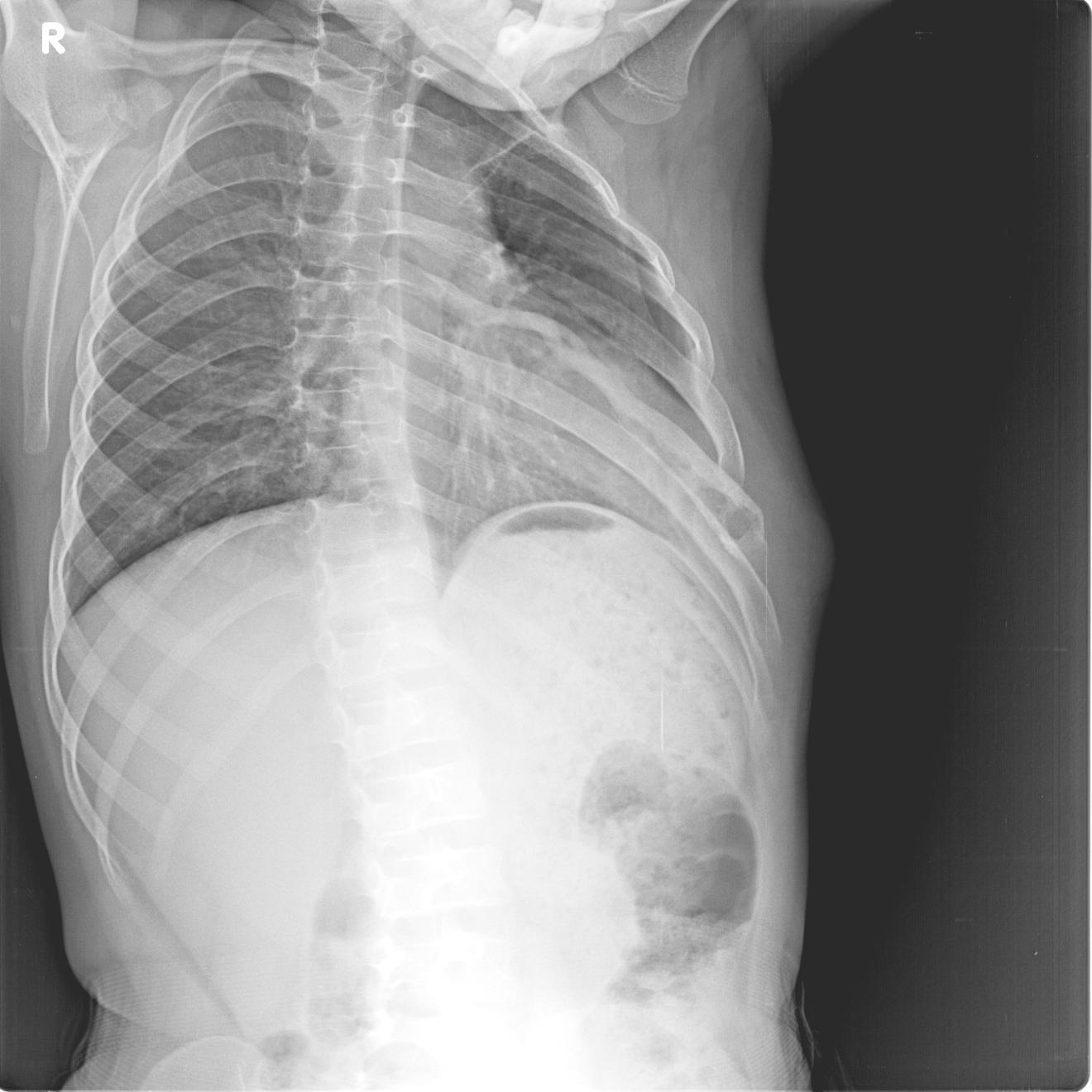
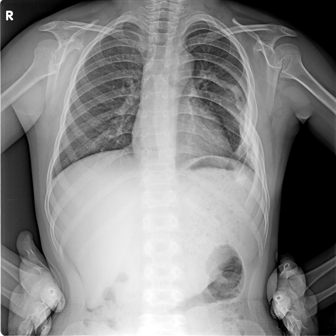
左侧第6后肋tb
作者: 杀毒软件    时间: 2008-7-25 01:40
术后改变或骨纤
作者: 卜一    时间: 2008-7-25 17:48
左侧第6后肋骨骨结核可能性大!
作者: LIAIZHI    时间: 2008-7-25 19:32
考虑左侧第6肋肋腋骨质呈膨胀性破坏.后缘骨皮质破坏,髓腔变窄.左外胸壁软组织肿胀.考虑结核可能性大.骨肿瘤不除.
作者: ZHANGZHONGSHOU    时间: 2008-7-26 03:29
标题: 回复:ped0927:男 10y 胸廓隆起 近10天感觉有点疼
以下是引用卜一在2008-7-25 9:48:00的发言:[br]左侧第6后肋骨骨结核可能性大!

作者: dyqct    时间: 2008-7-26 05:08
标题: 回复:ped0927:男 10y 胸廓隆起 近10天感觉有点疼
以下是引用卜一在2008-7-25 9:48:00的发言:[br]左侧第6后肋骨骨结核可能性大!

其它肋骨还有骨膜炎。
作者: jinguoji    时间: 2008-8-1 07:36
骨纤可能性大。




欢迎光临 医影在线 (http://bbs.radida.com/bbs/) Powered by Discuz! X3.2