医影在线

标题: PED0930:M,9岁,常感头疼有时有恶心。 [打印本页]

作者: ydx_74    时间: 2008-7-25 06:23
标题: PED0930:M,9岁,常感头疼有时有恶心。




[本贴已被 jiajie 于 2008-7-24 22:56:52 修改过]

作者: 新手88    时间: 2008-7-25 06:40
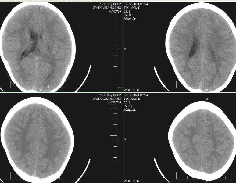
透明隔移位伴右侧侧脑室扩张
作者: 鲁巨CT    时间: 2008-7-25 06:43
建议增强再讨论。
作者: 358450m    时间: 2008-7-25 06:47
标题: 回复:m,9岁,常感头疼有时有恶心。
以下是引用新手88在2008-7-24 22:40:00的发言:[br]透明隔移位伴右侧侧脑室扩张

作者: 飞鹰    时间: 2008-7-25 15:40
透明隔居中,左侧脑室受压,建议增强或mri检查
作者: gaoshengjiang    时间: 2008-7-25 16:25
右侧侧脑室扩张,透明隔稍左移,建议mri检查。
作者: 黑白光影    时间: 2008-7-25 17:30
建议mri检查。
作者: 卜一    时间: 2008-7-25 17:37
不排除占位,建议mri检查。
作者: LIAIZHI    时间: 2008-7-25 19:12
左侧侧脑室发育异常.(灰白质无移位.)
作者: 随光逐影    时间: 2008-7-26 01:04
考虑先天性透明隔移位伴右侧侧脑室扩大。
作者: 杀毒软件    时间: 2008-7-26 01:54
建议mri检查
作者: dyqct    时间: 2008-7-26 05:13
变异。
作者: 22222222    时间: 2008-7-26 05:43
左侧侧脑室发育异常.(灰白质无移位.)
作者: liuyue    时间: 2008-7-27 00:54
建议mri检查
作者: 同    时间: 2008-7-27 05:03
标题: 回复:ped0930:m,9岁,常感头疼有时有恶心。
以下是引用随光逐影在2008-7-25 17:04:00的发言:[br]考虑先天性透明隔移位伴右侧侧脑室扩大。

作者: 影象小泰斗    时间: 2008-7-27 06:16
左侧脑室较对侧小,考虑发育异常!!
作者: yangyudong333    时间: 2008-7-27 14:54
左侧脑室较对侧小,考虑发育异常!!
作者: jinguoji    时间: 2008-8-1 07:42
建议mri检查。
作者: 光影相伴    时间: 2008-8-3 03:44
标题: 回复:ped0930:m,9岁,常感头疼有时有恶心。
以下是引用随光逐影在2008-7-25 17:04:00的发言:[br]考虑先天性透明隔移位伴右侧侧脑室扩大。

作者: yy杨洋    时间: 2008-8-3 08:15
建议mri检查。
作者: 形影不离    时间: 2008-8-3 19:08
右侧侧脑室扩大,考虑发育异常,建议mri检查。




欢迎光临 医影在线 (http://bbs.radida.com/bbs/) Powered by Discuz! X3.2