医影在线

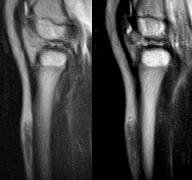
标题: PED0931:男,5岁,发现双小腿软组织肿块1年,质地中等,无 [打印本页]

作者: 李章宇    时间: 2008-7-25 20:54
标题: PED0931:男,5岁,发现双小腿软组织肿块1年,质地中等,无

















[本贴已被 jiajie 于 2008-7-25 13:10:12 修改过]

作者: 358450m    时间: 2008-7-25 21:05
纤维瘤
作者: 杀毒软件    时间: 2008-7-26 02:02
先考虑纤维瘤可能
作者: ZHANGZHONGSHOU    时间: 2008-7-26 03:28
多发性神经纤维瘤?
作者: dyqct    时间: 2008-7-26 05:14
标题: 回复:ped0931:男,5岁,发现双小腿软组织肿块1年,质地中
以下是引用zhangzhongshou在2008-7-25 19:28:00的发言:[br]多发性神经纤维瘤?

支持!
作者: liuyue    时间: 2008-7-27 00:51
以下是引用zhangzhongshou在2008-7-25 19:28:00的发言:
多发性神经纤维瘤?


支持!
作者: 黑白光影    时间: 2008-7-27 04:18
标题: 回复:ped0931:男,5岁,发现双小腿软组织肿块1年,质地中
以下是引用杀毒软件在2008-7-25 18:02:00的发言:[br]先考虑纤维瘤可能

作者: 同    时间: 2008-7-27 05:02
考虑多发性神经纤维瘤.
作者: hexue    时间: 2008-7-28 01:27
考虑多发性神经纤维瘤.支持
作者: gaoshengjiang    时间: 2008-7-28 17:25
考虑多发性神经纤维瘤.支持
作者: 随光逐影    时间: 2008-7-29 19:24
多发性神经纤维瘤可能。
作者: jinguoji    时间: 2008-8-1 07:45
标题: 回复:ped0931:男,5岁,发现双小腿软组织肿块1年,质地中
以下是引用zhangzhongshou在2008-7-25 19:28:00的发言:[br]多发性神经纤维瘤?

作者: 光影相伴    时间: 2008-8-3 03:43
支持:多发性神经纤维瘤。




欢迎光临 医影在线 (http://bbs.radida.com/bbs/) Powered by Discuz! X3.2