医影在线
标题: CT14816:男性81岁 胸痛 咳嗽2月 2周前提示右下肺感染. [打印本页]
作者: syfszcw 时间: 2008-7-26 03:12
标题: CT14816:男性81岁 胸痛 咳嗽2月 2周前提示右下肺感染.
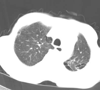
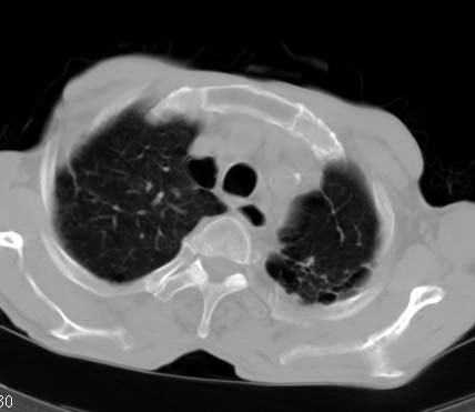
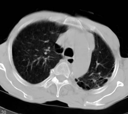
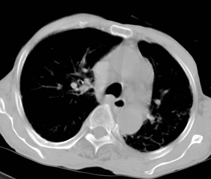
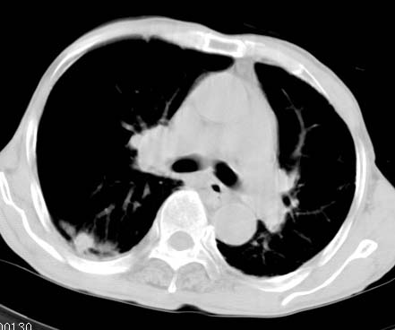
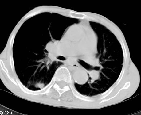
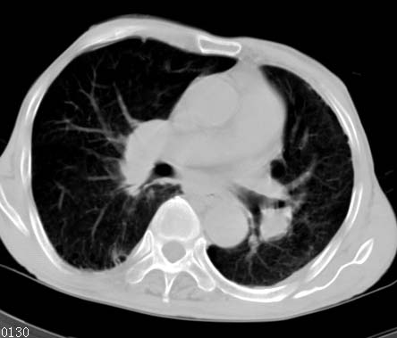
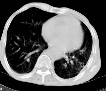
男性病人 81岁 胸痛 咳嗽2月 2周前提示右下肺感染.
今片ct示双肺多发结节影 可以这样诊断吗?1\双肺感染性病变 结核待排.
2\双肺纤维硬结灶,左肺肺气肿.
3\肺间质纤维化,胸膜肥厚粘连.
各位老师 请教下.我看到很多老师提到;陈旧性肺结核""陈旧性肺结核是彻底好了还是没有好.还需要吃 抗结核的药吗?很多教授说 很多教科书都没有陈旧性肺结核这个概念.
































[本贴已被 jiajie 于 2008-7-25 19:25:03 修改过]
[本贴已被 syfszcw 于 2008-7-25 20:43:33 修改过]
作者: 358450m 时间: 2008-7-26 03:19
1\\双肺感染性病变 结核待排.
2\\双肺纤维硬结灶,左肺肺气肿.
3\\肺间质纤维化,胸膜肥厚粘连.
作者: 子十 时间: 2008-7-26 03:20
可以
作者: dsl555 时间: 2008-7-26 03:22
支持
作者: aosangwa 时间: 2008-7-26 03:25
1\\陈旧性肺结核
2\\慢性支气管炎并肺气肿
3\\肺间质纤维化,胸膜肥厚粘连.
作者: liuyue 时间: 2008-7-26 03:54
双肺陈旧性肺结核灶。
肺间质纤维化、胸膜肥厚。
作者: 黑白光影 时间: 2008-7-26 04:19
1\\陈旧性肺结核2\\慢性支气管炎并肺气肿3\\肺间质纤维化,胸膜肥厚粘连.
作者: 杀毒软件 时间: 2008-7-26 04:55
标题: 回复:ct14816:男性81岁 胸痛 咳嗽2月 2周前提示右下肺感染.
以下是引用黑白光影在2008-7-25 20:19:00的发言:[br]1\\陈旧性肺结核2\\慢性支气管炎并肺气肿3\\肺间质纤维化,胸膜肥厚粘连.[br]
支持
作者: zjzjr 时间: 2008-7-26 04:56
1\\陈旧性肺结核
2\\慢性支气管炎并肺气肿
3\\肺间质纤维化,胸膜肥厚粘连.
作者: 吴承学 时间: 2008-7-26 05:10
标题: 回复:ct14816:男性81岁 胸痛 咳嗽2月 2周前提示右下肺感染.
以下是引用杀毒软件在2008-7-25 20:55:00的发言:[br][quote]以下是引用黑白光影在2008-7-25 20:19:00的发言:[br]1\\陈旧性肺结核2\\慢性支气管炎并肺气肿3\\肺间质纤维化,胸膜肥厚粘连.[br]
[br]支持[/quote]
作者: zsl6918 时间: 2008-7-26 05:15
慢性感染纤维化。
作者: hamagl 时间: 2008-7-26 05:28
纵隔左移双肺上叶纤维硬结,肺气肿,双侧斑痕肺大泡,双侧胸膜增厚并胸膜下陈旧性病灶,右肺下叶胸膜下小结节影,密度较淡,建议复查.
作者: dyqct 时间: 2008-7-26 05:44
标题: 回复:ct14816:男性81岁 胸痛 咳嗽2月 2周前提示右下肺感染.
以下是引用黑白光影在2008-7-25 20:19:00的发言:[br]1\\陈旧性肺结核2\\慢性支气管炎并肺气肿3\\肺间质纤维化,胸膜肥厚粘连.[br]
支持!
作者: xulianj 时间: 2008-7-26 06:07
支持
作者: dengjia155430 时间: 2008-7-26 06:17
陈旧性肺结核是指不活动的结核病灶,不需要服药.
作者: jsgdoctor 时间: 2008-7-26 06:23
可以,
现在没有陈旧性肺结核的说法
作者: 宝天曼 时间: 2008-7-26 07:09
双肺陈旧性肺结核灶。
肺间质纤维化、胸膜肥厚。
作者: 谨言慎行 时间: 2008-7-26 07:29
支持楼主诊断。肺结核除了分型外,使用“进展、吸收、稳定、愈合”。临床上有判断标准。单靠一次片子,其实很难确定是否为“陈旧”结核。个人觉得还是使用规范的术语好
作者: zjb 时间: 2008-7-26 14:40
1\\陈旧性肺结核2\\慢性支气管炎并肺气肿3\\肺间质纤维化,胸膜肥厚粘连.
作者: 卜一 时间: 2008-7-26 17:25
1\\陈旧性肺结核
2\\慢性支气管炎并肺气肿
3\\肺间质纤维化,胸膜肥厚粘连。
支持!
作者: lirenxiong 时间: 2008-7-26 18:37
\"陈旧\"意味着病史较长,影像上意味着多种趋于\"愈合\"的表现征象,是否用药有临床严格的标准!影象提供\"活动性\"\"钙化\"/纤维化等的表现就可以!
作者: 主力军 时间: 2008-7-26 18:54
两肺转移瘤可能性大
两非继发性肺结核纤维硬结型
两非慢性支气管炎非大炮
两非胸膜广泛肥厚
右侧胸腔极少量积液。
作者: qc80012345 时间: 2008-7-26 19:02
支持楼主诊断。
作者: 深泽交通 时间: 2008-7-26 19:25
标题: 回复:ct14816:男性81岁 胸痛 咳嗽2月 2周前提示右下肺感染.
以下是引用黑白光影在2008-7-25 20:19:00的发言:[br]1\\陈旧性肺结核2\\慢性支气管炎并肺气肿3\\肺间质纤维化,胸膜肥厚粘连.[br]
作者: 晓杰 时间: 2008-7-26 20:33
1、陈旧性肺结核
2、慢性支气管炎并肺气肿
3、肺间质纤维化,胸膜肥厚粘连.
支持:
作者: zhengfaming 时间: 2008-7-26 22:36
1\\陈旧性肺结核
2\\慢性支气管炎并肺气肿
3\\肺间质纤维化,胸膜肥厚粘连.
作者: 拾荒者 时间: 2008-7-26 23:44
支持楼主意见,因肺上部纤维硬化灶多为结核后遗改变,故而习惯称呼陈旧肺结核;也就是说病灶处于愈合后改变,应该不用用药;不过细究起来似有不妥。
作者: lyb999 时间: 2008-7-27 02:00
支持。从影像角度上讲没有陈旧结核这个术语。
作者: 深蓝一号 时间: 2008-7-27 19:11
支持
作者: 光影★笑子 时间: 2008-7-28 03:41
标题: 回复:ct14816:男性81岁 胸痛 咳嗽2月 2周前提示右下肺感染.
以下是引用黑白光影在2008-7-25 20:19:00的发言:[br]1\\陈旧性肺结核2\\慢性支气管炎并肺气肿3\\肺间质纤维化,胸膜肥厚粘连.[br]
支持
作者: zhg2005 时间: 2008-7-28 04:32
1:右肺外周多发小结节病灶,考虑转移性子瘤.
2;右上肺及左肺纤维结核灶,并斑痕性肺气肿.
3:慢支炎并肺气肿.伴胸膜肥厚钙化.
作者: wydlf_513 时间: 2008-7-28 06:27
copd伴感染,肺大泡形成。
作者: zhangyang66 时间: 2008-7-30 02:52
1:右肺外周多发小结节病灶,考虑转移性子瘤.因患者年龄较大,双肺多发结节在肺外带,转移性子瘤不能除外
2;右上肺及左肺纤维结核灶,并斑痕性肺气肿.
3:慢支炎并肺气肿.伴胸膜肥厚钙化.
作者: 边生丽 时间: 2008-7-31 05:11
支持
作者: yuan343343 时间: 2008-8-1 06:52
建议行增强ct,不能排除肺癌可能.
作者: 孙贝贝 时间: 2008-8-1 18:02
陈旧性肺结核
2\\慢性支气管炎并肺气肿
3\\肺间质纤维化,胸膜肥厚粘连。
支持!
作者: yunyangkm 时间: 2008-8-3 03:56
肺结核有无活动,应综合判断,包括临床表现、影像、空洞及痰菌等。对于初诊病人,仅凭影像有时难以明确活动情况,但如能肯定结核存在,在首次报告中提出有陈旧结核还是有必要的。
此病人,诊断如下:1、双肺陈旧结核,活动与否请结合临床及其它检查。2、慢支炎,肺气肿,并双肺
多发肺大泡。3,胸膜肥厚、粘连。4、右下肺多个小结节,转移瘤不能除外。
不支持肺间质纤维化。
作者: jw-830 时间: 2008-8-3 19:56
1\\陈旧性肺结核
2\\慢性支气管炎并肺气肿
3\\肺间质纤维化,胸膜肥厚粘连.
作者: 影像迷 时间: 2008-8-4 06:57
以下是引用黑白光影在2008-7-25 20:19:00的发言:
1\\陈旧性肺结核2\\慢性支气管炎并肺气肿3\\肺间质纤维化,胸膜肥厚粘连.
支持
作者: xsj 时间: 2008-8-6 21:47
1\\陈旧性肺结核2\\慢性支气管炎并肺气肿3\\肺间质纤维化,胸膜肥厚粘连.
作者: jw-830 时间: 2008-8-7 02:03
支持
作者: xinhengfu 时间: 2008-8-9 17:28
标题: 回复:ct14816:男性81岁 胸痛 咳嗽2月 2周前提示右下肺感染.
以下是引用zjzjr在2008-7-25 20:56:00的发言:[br]1\\陈旧性肺结核[br]2\\慢性支气管炎并肺气肿[br]3\\肺间质纤维化,胸膜肥厚粘连.[br]
作者: 7468307 时间: 2008-8-9 18:38
支持 1\\陈旧性肺结核
2\\慢性支气管炎并肺气肿
3\\肺间质纤维化,胸膜肥厚粘连.
作者: 312nanyang 时间: 2008-8-10 17:14
病人桶状胸,胸廓肌肉消瘦;两上肺均可见纤维条索灶,下肺外围胸膜下可见间质纤维化改变,右下肺沿肺纹理分部结节样病灶,边缘光滑,考虑1、慢支并局灶性间质纤维化、右下肺合并感染,2、两上肺为陈旧性肺结核灶并瘢痕旁型肺气肿3、右下肺转移瘤待排。
个人认为该病例很有代表性,临床工作中我也经常带有这样的病例,我的理解是这不是一种病能完全解释的,尽管临床上诊断提倡一元论的思维模式。
另支持18楼21楼27楼37楼几位老师关于陈旧性结核概念的解释
作者: fytian 时间: 2008-8-10 23:56
两肺上叶见多发索条状高密度影,右肺下叶见片状、结节状高密度影,两肺体积增大,胸膜下区见囊状低密度影、内有分隔结构。左肺下叶见网格影。两侧胸膜见增厚影。诊断:两肺继发性肺结核。慢性支气管炎合并感染。肺气肿。肺间质纤维化。胸膜增厚。
作者: ydx_74 时间: 2008-8-13 05:49
1\\陈旧性肺结核2\\慢性支气管炎并肺气肿3\\肺间质纤维化,胸膜肥厚粘连.
作者: hqr123 时间: 2008-8-13 09:13
1.两上肺纤维条状影、两肺多发粟粒结节状影多考虑为结核所致(陈旧性结核并血播?),不排除合并感染;
2.右下肺内结节不排除肺癌,建议进一步检查;
3.慢支肺气肿。
| 欢迎光临 医影在线 (http://bbs.radida.com/bbs/) |
Powered by Discuz! X3.2 |