








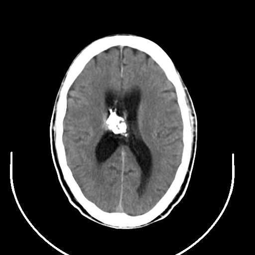
以下是引用zjzjr在2008-7-26 10:37:00的发言:[br]钙化性脑膜瘤
以下是引用朱亮在2008-7-26 10:32:00的发言:[br]钙化性脑膜瘤
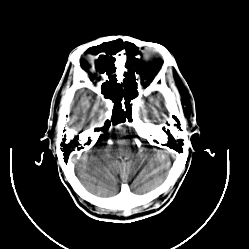
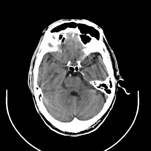
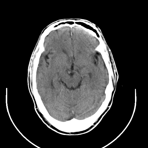
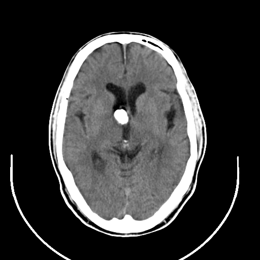
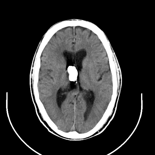
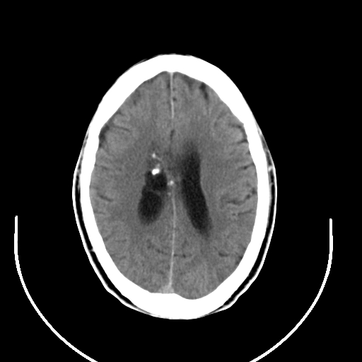
以下是引用拾荒者在2008-7-26 15:36:00的发言:[br]侧脑室内高密度钙化影,未见软组织结构,侧脑室未见增大,考虑良性钙化性改变(钙化型脑膜瘤可能)。
以下是引用宇宙ct在2008-7-26 13:43:00的发言:[br]支持:钙化性脑膜瘤。 不排除脉络膜瘤 [br] [br]
| 欢迎光临 医影在线 (http://bbs.radida.com/bbs/) | Powered by Discuz! X3.2 |