











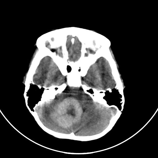
以下是引用zjzjr在2008-7-27 9:56:00的发言:[br]考虑髓母细胞瘤伴梗阻性脑积水.建议增强或mri
以下是引用zjzjr在2008-7-27 9:56:00的发言:[br]考虑髓母细胞瘤伴梗阻性脑积水.建议增强或mri
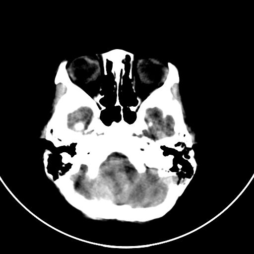
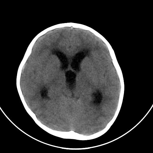
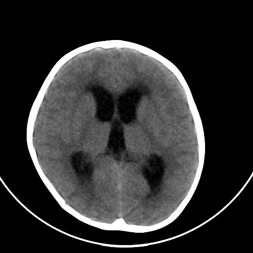
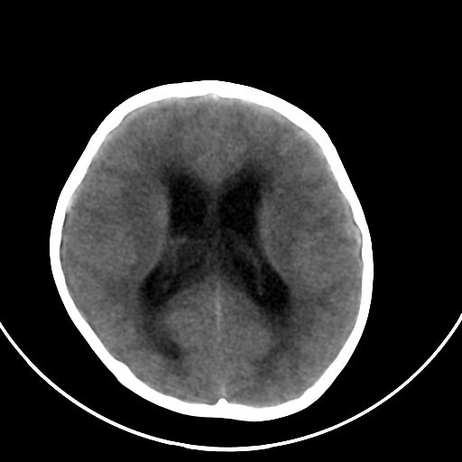
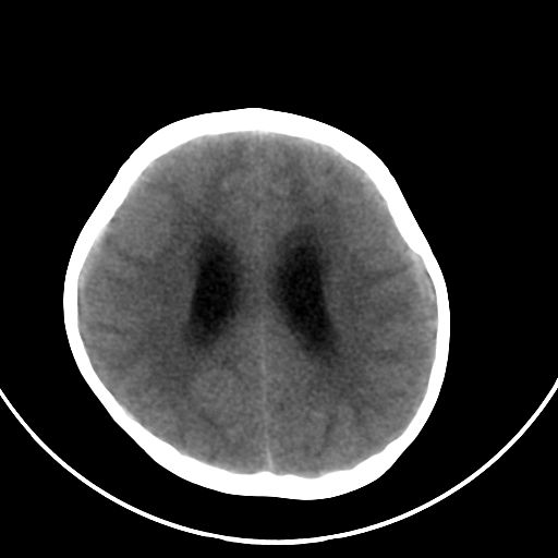
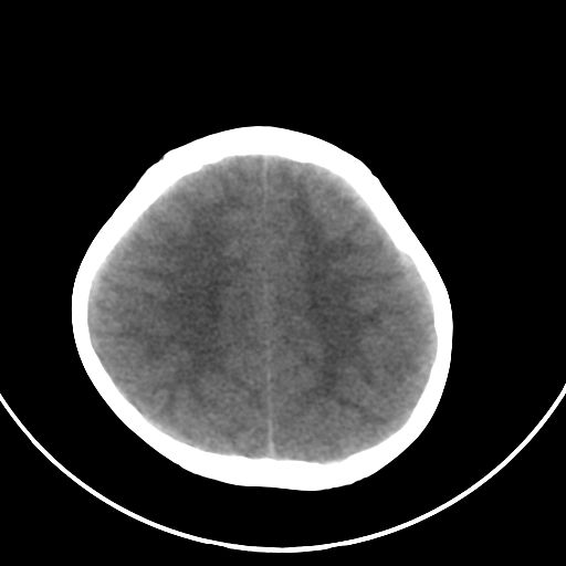
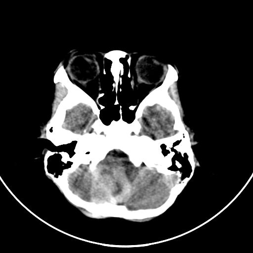
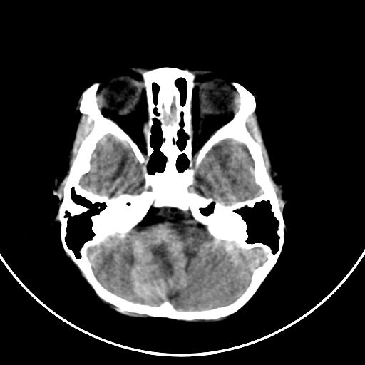
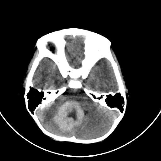
以下是引用子十在2008-7-27 9:53:00的发言:[br]考虑髓母细胞瘤
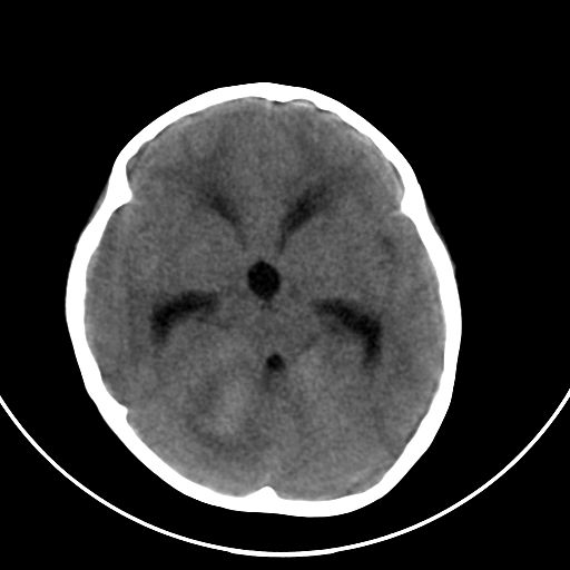
以下是引用zjzjr在2008-7-27 9:56:00的发言:[br]考虑髓母细胞瘤伴梗阻性脑积水.建议增强或mri
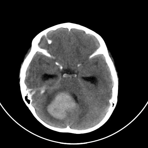
以下是引用zjzjr在2008-7-27 9:56:00的发言:[br]考虑髓母细胞瘤伴梗阻性脑积水.建议增强或mri
| 欢迎光临 医影在线 (http://bbs.radida.com/bbs/) | Powered by Discuz! X3.2 |