









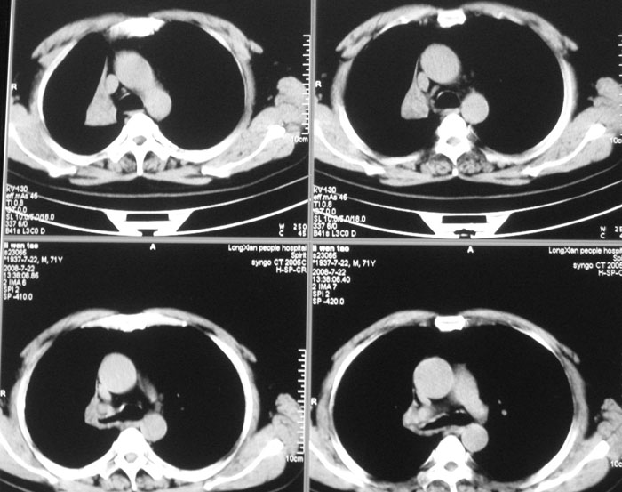
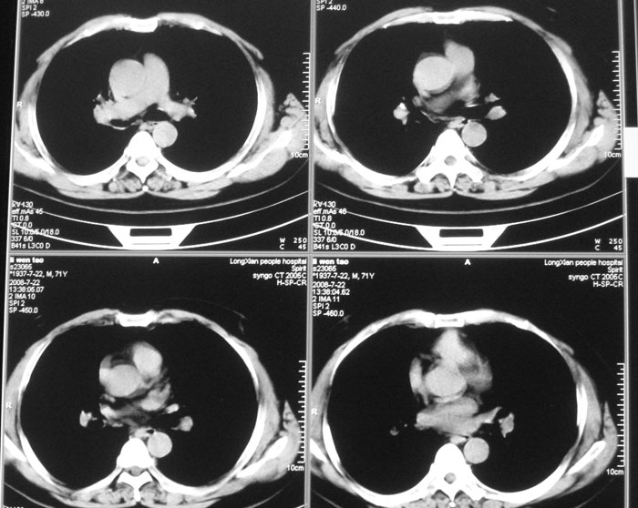
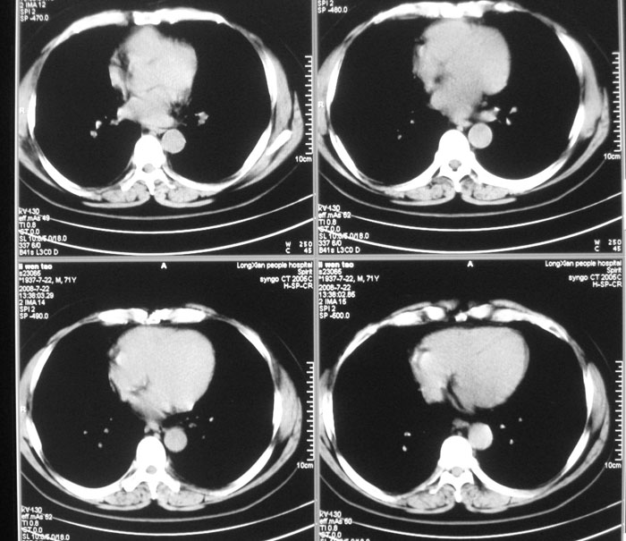
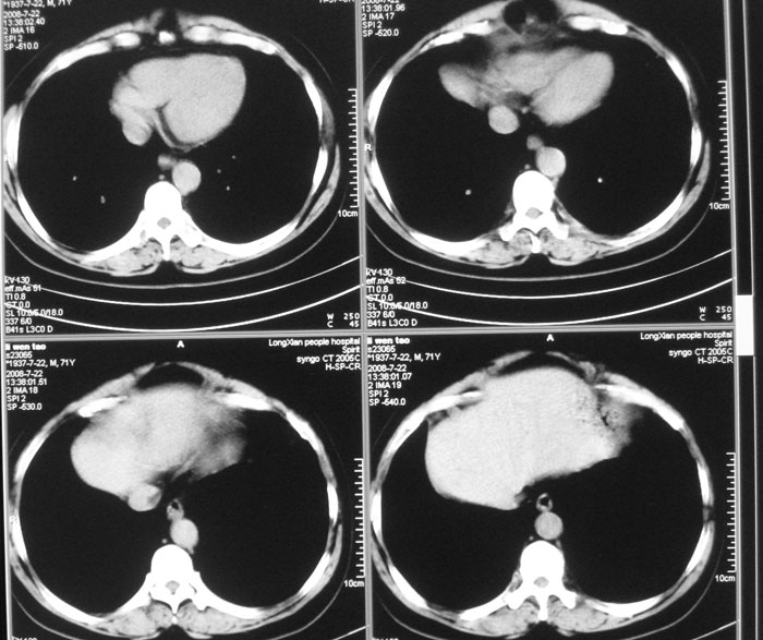
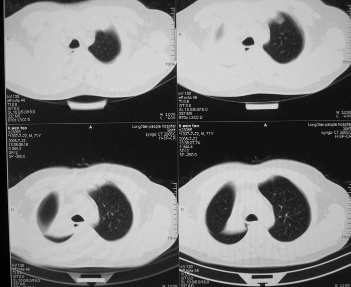
以下是引用wwwwtyy在2008-7-27 17:46:00的发言:[br]中心型肺癌不除外
以下是引用子十在2008-7-27 17:49:00的发言:[br]考虑中心性肺癌
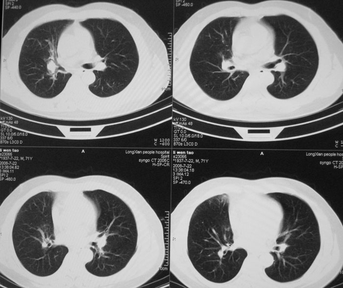
以下是引用光影★笑子在2008-7-27 19:39:00的发言:[br]建议:行支气管镜检查排除肺癌。
以下是引用晓杰在2008-7-27 19:20:00的发言:[br]支持楼主意见;中心型肺癌不除外。
以下是引用zhangjixiang在2008-8-6 20:02:00的发言:[br]右主支气管明显变窄伴右上叶尖段不张,结合年龄,考虑右侧中央型肺癌可能性大,纤支镜检可确诊.
| 欢迎光临 医影在线 (http://bbs.radida.com/bbs/) | Powered by Discuz! X3.2 |