医影在线

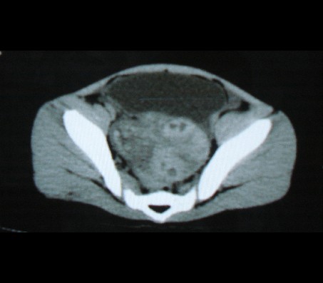
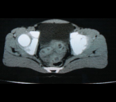
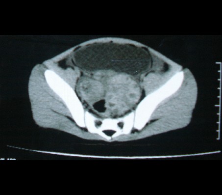
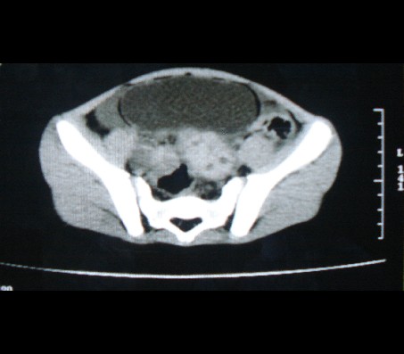
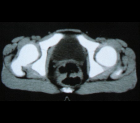
标题: PED0942:女性,8岁,B超提示盆腔病变,请会诊! [打印本页]

作者: 心愿    时间: 2008-7-30 20:57
标题: PED0942:女性,8岁,B超提示盆腔病变,请会诊!










[本贴已被 jiajie 于 2008-7-30 13:03:02 修改过]

作者: 358450m    时间: 2008-7-30 21:05
畸胎瘤
作者: lmldoc    时间: 2008-7-31 01:00
考虑畸胎瘤可能性大!
作者: jiangjing    时间: 2008-7-31 01:06
考虑畸胎瘤可能性大!
作者: dyqct    时间: 2008-7-31 01:06
建议增强进一步检查除外畸胎瘤。
作者: 杀毒软件    时间: 2008-7-31 01:52
支持
作者: 随光逐影    时间: 2008-7-31 02:07
考虑畸胎瘤可能。
作者: 沉默是金    时间: 2008-7-31 03:14
标题: 回复:ped0942:女性,8岁,b超提示盆腔病变,请会诊!
以下是引用随光逐影在2008-7-30 18:07:00的发言:[br]考虑畸胎瘤可能。

作者: 余辉    时间: 2008-7-31 03:17
考虑畸胎瘤可能
作者: 同    时间: 2008-7-31 04:14
考虑畸胎瘤可能性大.
作者: 黑白光影    时间: 2008-7-31 04:29
考虑畸胎瘤可能性大!
作者: hexue    时间: 2008-7-31 06:51
考虑畸胎瘤可能
作者: GANENG.2008    时间: 2008-7-31 07:30
考虑畸胎瘤可能
作者: 37度    时间: 2008-7-31 22:47
标题: 回复:ped0942:女性,8岁,b超提示盆腔病变,请会诊!
以下是引用黑白光影在2008-7-30 20:29:00的发言:[br]考虑畸胎瘤可能性大!

作者: jinguoji    时间: 2008-8-1 08:00
考虑畸胎瘤可能性大。
作者: guanaishengming    时间: 2008-8-1 08:35
考虑畸胎瘤可能性大!
作者: yangyudong333    时间: 2008-8-2 01:54
考虑畸胎瘤可能。
作者: LIAIZHI    时间: 2008-8-2 06:12
畸胎瘤可能性大。
作者: 光影相伴    时间: 2008-8-3 03:29
畸胎瘤可能性大!
作者: yy杨洋    时间: 2008-8-3 07:57
考虑畸胎瘤可能。
作者: 自由医者    时间: 2008-8-4 05:00
考虑畸胎瘤可能大,建议进一步检查。




欢迎光临 医影在线 (http://bbs.radida.com/bbs/) Powered by Discuz! X3.2